验证数据展示
经过测试的应用
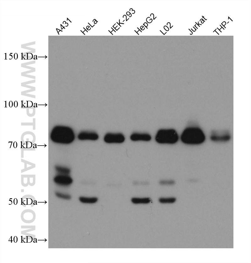
| Positive WB detected in | A431 cells, HeLa cells, HepG2 cells, Jurkat cells, L02 cells, HEK-293 cells, THP-1cells | 
| Positive IHC detected in | human liver cancer tissue Note: suggested antigen retrieval with TE buffer pH 9.0; (*) Alternatively, antigen retrieval may be performed with citrate buffer pH 6.0 | 
推荐稀释比
| 应用 | 推荐稀释比 | 
|---|---|
| Western Blot (WB) | WB : 1:5000-1:50000 | 
| Immunohistochemistry (IHC) | IHC : 1:550-1:2200 | 
| It is recommended that this reagent should be titrated in each testing system to obtain optimal results. | |
| Sample-dependent, Check data in validation data gallery. | |
产品信息
66911-1-Ig targets MAVS; VISA in WB, IHC, IF, IP, CoIP, ELISA applications and shows reactivity with human samples.
| 经测试应用 | WB, IHC, ELISA Application Description | 
| 文献引用应用 | WB, IF, IP, CoIP | 
| 经测试反应性 | human | 
| 文献引用反应性 | human, mouse, pig, monkey | 
| 免疫原 | CatNo: Ag5949 Product name: Recombinant human MAVS; VISA protein Source: e coli.-derived, PET28a Tag: 6*His Domain: 1-347 aa of BC044952 Sequence: MPFAEDKTYKYICRNFSNFCNVDVVEILPYLPCLTARDQDRLRATCTLSGNRDTLWHLFNTLQRRPGWVEYFIAALRGCELVDLADEVASVYESYQPRTSDRPPDPLEPPSLPAERPGPPTPAAAHSIPYNSCREKEPSYPMPVQETQAPESPGENSEQALQTLSPRAIPRNPDGGPLESSSDLAALSPLTSSGHQEKDTELGSTHTAGATSSLTPSRGPVSPSVSFQPLARSTPRASRLPGPTGSVVSTGTSFSSSSPGLASAGAAEGKQGAESDQAEPIICSSGAEAPANSLPSKVPTTLMPVNTVALKVPANPASVSTVPSKLPTSSKPPGAVPSNALTNPAPS种属同源性预测 | 
| 宿主/亚型 | Mouse / IgG1 | 
| 抗体类别 | Monoclonal | 
| 产品类型 | Antibody | 
| 全称 | mitochondrial antiviral signaling protein | 
| 别名 | MAVS, 1A8E9, Cardif, IPS 1, IPS1 | 
| 计算分子量 | 57 kDa | 
| 观测分子量 | 50-55 kDa, 70-75 kDa | 
| GenBank蛋白编号 | BC044952 | 
| 基因名称 | MAVS | 
| Gene ID (NCBI) | 57506 | 
| RRID | AB_2882238 | 
| 偶联类型 | Unconjugated | 
| 形式 | Liquid | 
| 纯化方式 | Protein G purification | 
| UNIPROT ID | Q7Z434 | 
| 储存缓冲液 | PBS with 0.02% sodium azide and 50% glycerol, pH 7.3. | 
| 储存条件 | Store at -20°C. Stable for one year after shipment. Aliquoting is unnecessary for -20oC storage. | 
背景介绍
Mitochondrial antiviral-signaling protein (MAVS) is also known as virus-induced-signaling adapter (VISA) or IFN beta promoter stimulator protein 1 (IPS-1), it is widely involved and required for innate immune defense against viruses. MAVS, present in T cells, monocytes, epithelial cells and hepatocytes, contains CARD and transmembrane domains which are essential for antiviral functions. MAVS is able to interact with various cellular proteins including DDX58/RIG-I, IFIH1/MDA5, TRAF2, TRAF6, TMEM173/MITA, IFIT3 and etc. It can undergoe phosphorylation on multiple sites and ubiquitination, which may together cause the molecular weight migrate to about 70 kDa despite the predicated 57 kDa.
实验方案
| Product Specific Protocols | |
|---|---|
| IHC protocol for MAVS; VISA antibody 66911-1-Ig | Download protocol | 
| WB protocol for MAVS; VISA antibody 66911-1-Ig | Download protocol | 
| Standard Protocols | |
|---|---|
| Click here to view our Standard Protocols | 
发表文章
| Species | Application | Title | 
|---|---|---|
| Mol Cell An Epstein-Barr virus protein interaction map reveals NLRP3 inflammasome evasion via MAVS UFMylation | ||
| J Immunother Cancer Targeting KDM4C enhances CD8+ T cell mediated antitumor immunity by activating chemokine CXCL10 transcription in lung cancer. | ||
| Front Immunol Swine Acute Diarrhea Syndrome Coronavirus Nucleocapsid Protein Antagonizes Interferon-β Production via Blocking the Interaction Between TRAF3 and TBK1. | ||
| J Virol Encephalomyocarditis virus abrogates the IFN-β signaling pathway via its structural protein VP2. | ||
| Vet Microbiol DDX56 antagonizes IFN-β production to enhance EMCV replication by inhibiting IRF3 nuclear translocation | ||
| Virus Res Host protein, HSP90β, antagonizes IFN-β signaling pathway and facilitates the proliferation of encephalomyocarditis virus in vitro. | 









