验证数据展示
经过测试的应用
| Positive WB detected in | Jurkat cells, human brain tissue, mouse lung tissue, mouse brain tissue, rat brain tissue |
| Positive IP detected in | Jurkat cells |
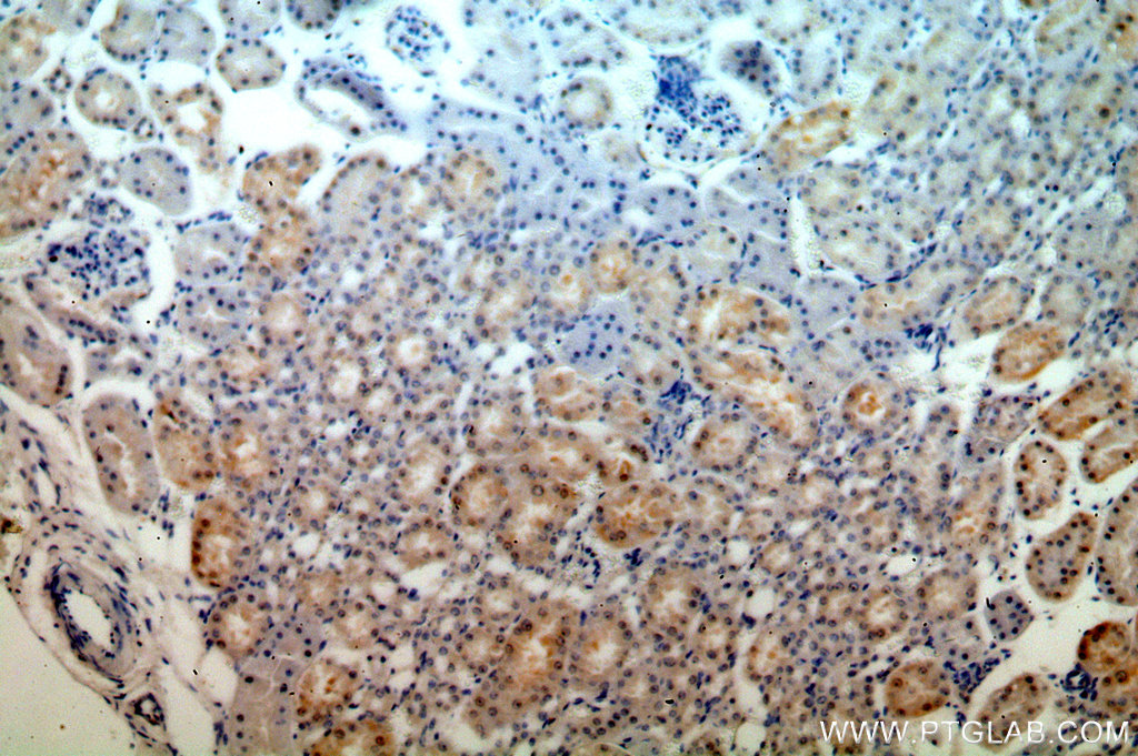
| Positive IHC detected in | human kidney tissue Note: suggested antigen retrieval with TE buffer pH 9.0; (*) Alternatively, antigen retrieval may be performed with citrate buffer pH 6.0 |
| Positive IF/ICC detected in | HepG2 cells |
推荐稀释比
| 应用 | 推荐稀释比 |
|---|---|
| Western Blot (WB) | WB : 1:500-1:3000 |
| Immunoprecipitation (IP) | IP : 0.5-4.0 ug for 1.0-3.0 mg of total protein lysate |
| Immunohistochemistry (IHC) | IHC : 1:20-1:200 |
| Immunofluorescence (IF)/ICC | IF/ICC : 1:10-1:100 |
| It is recommended that this reagent should be titrated in each testing system to obtain optimal results. | |
| Sample-dependent, Check data in validation data gallery. | |
产品信息
19507-1-AP targets MAST3 in WB, IHC, IF/ICC, IP, ELISA applications and shows reactivity with human, mouse, rat samples.
| 经测试应用 | WB, IHC, IF/ICC, IP, ELISA Application Description |
| 经测试反应性 | human, mouse, rat |
| 免疫原 |
Peptide 种属同源性预测 |
| 宿主/亚型 | Rabbit / IgG |
| 抗体类别 | Polyclonal |
| 产品类型 | Antibody |
| 全称 | microtubule associated serine/threonine kinase 3 |
| 别名 | KIAA0561, MAST3 |
| 计算分子量 | 143 kDa |
| 观测分子量 | 144 kDa |
| GenBank蛋白编号 | NM_015016 |
| 基因名称 | MAST3 |
| Gene ID (NCBI) | 23031 |
| RRID | AB_10642565 |
| 偶联类型 | Unconjugated |
| 形式 | Liquid |
| 纯化方式 | Antigen affinity purification |
| UNIPROT ID | O60307 |
| 储存缓冲液 | PBS with 0.02% sodium azide and 50% glycerol, pH 7.3. |
| 储存条件 | Store at -20°C. Stable for one year after shipment. Aliquoting is unnecessary for -20oC storage. |
背景介绍
MAST3, also named as KIAA0561, belongs to the protein kinase superfamily and AGC Ser/Thr protein kinase family. MAST3 catalyze the reaction: ATP + a protein = ADP + a phosphoprotein.
实验方案
| Product Specific Protocols | |
|---|---|
| IF protocol for MAST3 antibody 19507-1-AP | Download protocol |
| IHC protocol for MAST3 antibody 19507-1-AP | Download protocol |
| IP protocol for MAST3 antibody 19507-1-AP | Download protocol |
| WB protocol for MAST3 antibody 19507-1-AP | Download protocol |
| Standard Protocols | |
|---|---|
| Click here to view our Standard Protocols |









