验证数据展示
经过测试的应用
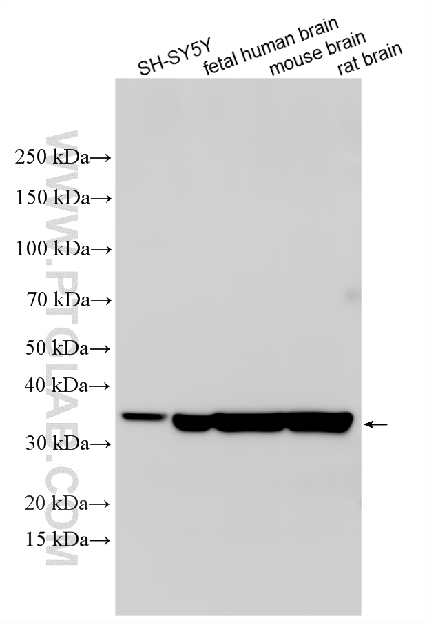
| Positive WB detected in | SH-SY5Y cells, fetal human brain tissue, mouse brain tissue, rat brain tissue |
| Positive IHC detected in | mouse brain tissue, human skeletal muscle tissue Note: suggested antigen retrieval with TE buffer pH 9.0; (*) Alternatively, antigen retrieval may be performed with citrate buffer pH 6.0 |
| Positive IF-P detected in | mouse testis tissue |
推荐稀释比
| 应用 | 推荐稀释比 |
|---|---|
| Western Blot (WB) | WB : 1:1000-1:8000 |
| Immunohistochemistry (IHC) | IHC : 1:50-1:500 |
| Immunofluorescence (IF)-P | IF-P : 1:50-1:500 |
| It is recommended that this reagent should be titrated in each testing system to obtain optimal results. | |
| Sample-dependent, Check data in validation data gallery. | |
发表文章中的应用
| WB | See 2 publications below |
| IF | See 1 publications below |
产品信息
23974-1-AP targets EB3 in WB, IHC, IF-P, ELISA applications and shows reactivity with human, mouse, rat samples.
| 经测试应用 | WB, IHC, IF-P, ELISA Application Description |
| 文献引用应用 | WB, IF |
| 经测试反应性 | human, mouse, rat |
| 文献引用反应性 | human, mouse, rat |
| 免疫原 |
CatNo: Ag21148 Product name: Recombinant human MAPRE3 protein Source: e coli.-derived, PET30a Tag: 6*His Domain: 1-281 aa of BC011557 Sequence: MAVNVYSTSVTSENLSRHDMLAWVNDSLHLNYTKIEQLCSGAAYCQFMDMLFPGCVHLRKVKFQAKLEHEYIHNFKVLQAAFKKMGVDKIIPVEKLVKGKFQDNFEFIQWFKKFFDANYDGKDYNPLLARQGQDVAPPPNPGDQIFNKSKKLIGTAVPQRTSPTGPKNMQTSGRLSNVAPPCILRKNPPSARNGGHETDAQILELNQQLVDLKLTVDGLEKERDFYFSKLRDIELICQEHESENSPVISGIIGILYATEEGFAPPEDDEIEEHQQEDQDEY 种属同源性预测 |
| 宿主/亚型 | Rabbit / IgG |
| 抗体类别 | Polyclonal |
| 产品类型 | Antibody |
| 全称 | microtubule-associated protein, RP/EB family, member 3 |
| 别名 | End binding protein 3, End-binding protein 3, MAPRE3, Microtubule-associated protein RP/EB family member 3 |
| 计算分子量 | 32 kDa |
| 观测分子量 | 30-36 kDa |
| GenBank蛋白编号 | BC011557 |
| 基因名称 | EB3 |
| Gene ID (NCBI) | 22924 |
| RRID | AB_2879385 |
| 偶联类型 | Unconjugated |
| 形式 | Liquid |
| 纯化方式 | Antigen Affinity purified |
| UNIPROT ID | Q9UPY8 |
| 储存缓冲液 | PBS with 0.02% sodium azide and 50% glycerol, pH 7.3. |
| 储存条件 | Store at -20°C. Stable for one year after shipment. Aliquoting is unnecessary for -20oC storage. |
实验方案
| Product Specific Protocols | |
|---|---|
| IF protocol for EB3 antibody 23974-1-AP | Download protocol |
| IHC protocol for EB3 antibody 23974-1-AP | Download protocol |
| WB protocol for EB3 antibody 23974-1-AP | Download protocol |
| Standard Protocols | |
|---|---|
| Click here to view our Standard Protocols |
发表文章
| Species | Application | Title |
|---|---|---|
Nat Commun Microtubule asters anchored by FSD1 control axoneme assembly and ciliogenesis. | ||
Cell Tissue Res Filamin-A-interacting protein 1 (FILIP1) is a dual compartment protein linking myofibrils and microtubules during myogenic differentiation and upon mechanical stress | ||
Neural Regen Res The interaction between KIF21A and KANK1 regulates dendritic morphology and synapse plasticity in neurons | ||





