验证数据展示
经过测试的应用
| Positive WB detected in | mouse brain tissue | 
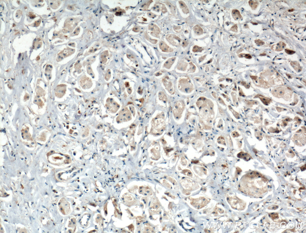
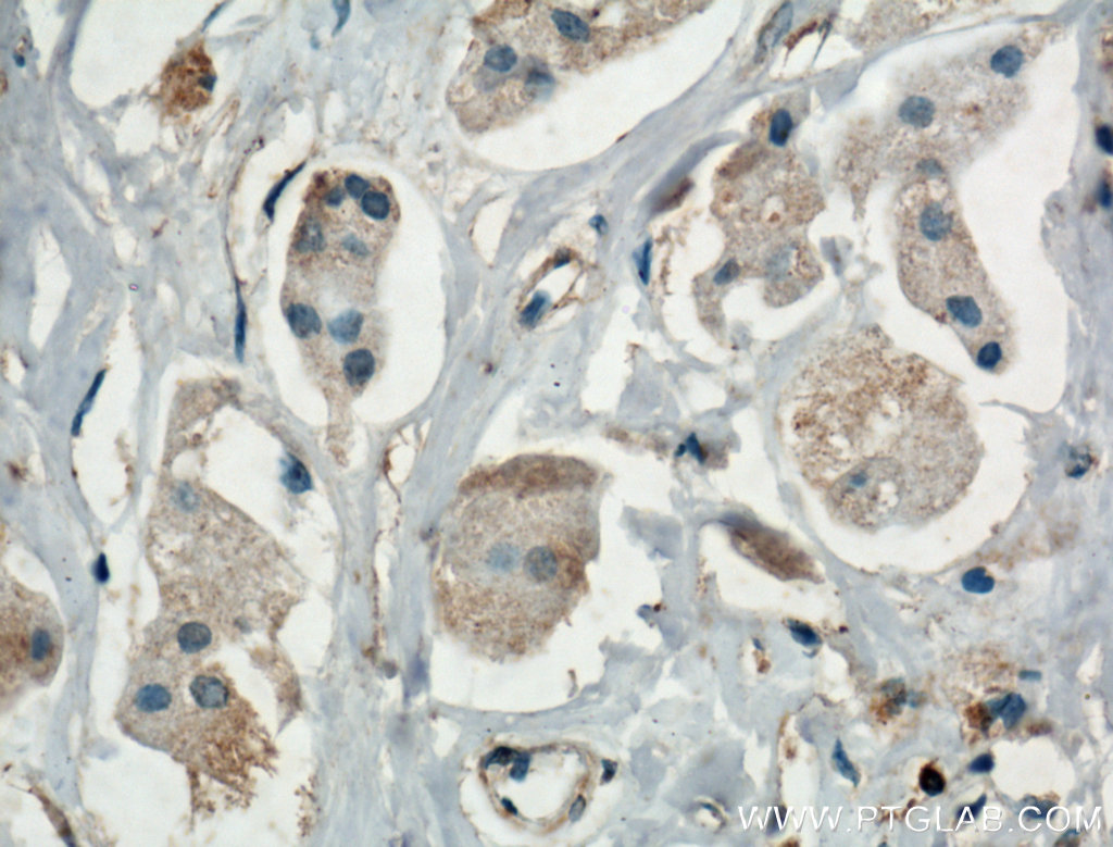
| Positive IHC detected in | human breast cancer tissue Note: suggested antigen retrieval with TE buffer pH 9.0; (*) Alternatively, antigen retrieval may be performed with citrate buffer pH 6.0 | 
推荐稀释比
| 应用 | 推荐稀释比 | 
|---|---|
| Western Blot (WB) | WB : 1:500-1:2000 | 
| Immunohistochemistry (IHC) | IHC : 1:100-1:400 | 
| It is recommended that this reagent should be titrated in each testing system to obtain optimal results. | |
| Sample-dependent, Check data in validation data gallery. | |
发表文章中的应用
| WB | See 4 publications below | 
| IF | See 3 publications below | 
产品信息
26102-1-AP targets MAPK4 in WB, IHC, IF, ELISA applications and shows reactivity with human, mouse samples.
| 经测试应用 | WB, IHC, ELISA Application Description | 
| 文献引用应用 | WB, IF | 
| 经测试反应性 | human, mouse | 
| 文献引用反应性 | human, mouse, pig | 
| 免疫原 | CatNo: Ag22899 Product name: Recombinant human MAPK4 protein Source: e coli.-derived, PGEX-4T Tag: GST Domain: 307-587 aa of BC050299 Sequence: LQHPYMSPYSCPEDEPTSQHPFRIEDEIDDIVLMAANQSQLSNWDTCSSRYPVSLSSDLEWRPDRCQDASEVQRDPRAGSAPLAEDVQVDPRKDSHSSSERFLEQSHSSMERAFEADYGRSCDYKVGSPSYLDKLLWRDNKPHHYSEPKLILDLSHWKQAAGAPPTATGLADTGAREDEPASLFLEIAQWVKSTQGGPEHASPPADDPERRLSASPPGRPAPVDGGASPQFDLDVFISRALKLCTKPEDLPDNKLGDLNGACIPEHPGDLVQTEAFSKERW种属同源性预测 | 
| 宿主/亚型 | Rabbit / IgG | 
| 抗体类别 | Polyclonal | 
| 产品类型 | Antibody | 
| 全称 | mitogen-activated protein kinase 4 | 
| 别名 | ERK 4, ERK3, Erk4, MAP kinase 4, MAP kinase isoform p63, MAPK 4, MAPK4, p63 MAPK, p63MAPK, PRKM4 | 
| 计算分子量 | 587 aa, 66 kDa | 
| 观测分子量 | 68 kDa | 
| GenBank蛋白编号 | BC050299 | 
| 基因名称 | MAPK4 | 
| Gene ID (NCBI) | 5596 | 
| RRID | AB_2880378 | 
| 偶联类型 | Unconjugated | 
| 形式 | Liquid | 
| 纯化方式 | Antigen affinity purification | 
| UNIPROT ID | P31152 | 
| 储存缓冲液 | PBS with 0.02% sodium azide and 50% glycerol, pH 7.3. | 
| 储存条件 | Store at -20°C. Stable for one year after shipment. Aliquoting is unnecessary for -20oC storage. | 
实验方案
| Product Specific Protocols | |
|---|---|
| IHC protocol for MAPK4 antibody 26102-1-AP | Download protocol | 
| WB protocol for MAPK4 antibody 26102-1-AP | Download protocol | 
| Standard Protocols | |
|---|---|
| Click here to view our Standard Protocols | 
发表文章
| Species | Application | Title | 
|---|---|---|
| Cell Biosci Identification of atypical mitogen-activated protein kinase MAPK4 as a novel regulator in acute lung injury. | ||
| J Cell Physiol MiR-127 attenuates adipogenesis by targeting MAPK4 and HOXC6 in porcine adipocytes. | ||
| Front Pharmacol An Integrated Proteomics and Bioinformatics Approach Reveals the Anti-inflammatory Mechanism of Carnosic Acid. | ||
| Cancer Innov MAPK4 facilitates angiogenesis by inhibiting the ERK pathway in non-small cell lung cancer | ||
| Mol Neurobiol Microcystin-LR Exposure Damages Neurons by Inducing α-Syn Aggregation via MAPK4/GATA2/SNCA and PP2A/GRKs Pathways | 



