验证数据展示
经过测试的应用
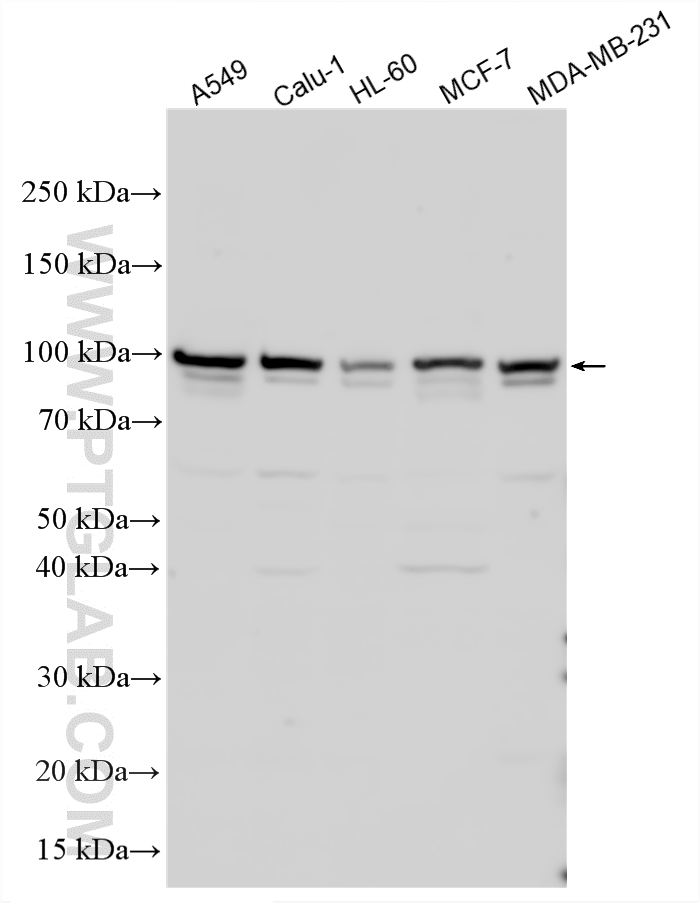
| Positive WB detected in | A549 cells, Calu-1 cells, HL-60 cells, MCF-7 cells, MDA-MB-231 cells |
推荐稀释比
| 应用 | 推荐稀释比 |
|---|---|
| Western Blot (WB) | WB : 1:1000-1:5000 |
| It is recommended that this reagent should be titrated in each testing system to obtain optimal results. | |
| Sample-dependent, Check data in validation data gallery. | |
产品信息
14054-1-AP targets DLK/MAP3K12 in WB, ELISA applications and shows reactivity with human samples.
| 经测试应用 | WB, ELISA Application Description |
| 经测试反应性 | human |
| 免疫原 |
CatNo: Ag4780 Product name: Recombinant human MAP3K12 protein Source: e coli.-derived, PET28a Tag: 6*His Domain: 220-567 aa of BC050050 Sequence: CILMEFCAQGQLYEVLRAGRPVTPSLLVDWSMGIAGGMNYLHLHKIIHRDLKSPNMLITYDDVVKISDFGTSKELSDKSTKMSFAGTVAWMAPEVIRNEPVSEKVDIWSFGVVLWELLTGEIPYKDVDSSAIIWGVGSNSLHLPVPSSCPDGFKILLRQCWNSKPRNRPSFRQILLHLDIASADVLSTPQETYFKSQAEWREEVKLHFEKIKSEGTCLHRLEEELVMRRREELRHALDIREHYERKLERANNLYMELNALMLQLELKERELLRREQALERRCPGLLKPHPSRGPQLPSLHESHSYSLYIEKYLYKLYIYTYIYIYAPHNQQKDGAVPAVSQARGRLIP 种属同源性预测 |
| 宿主/亚型 | Rabbit / IgG |
| 抗体类别 | Polyclonal |
| 产品类型 | Antibody |
| 全称 | mitogen-activated protein kinase kinase kinase 12 |
| 别名 | DLK, MAP3K12, EC:2.7.11.25, Leucine-zipper protein kinase, MAPK-upstream kinase |
| 计算分子量 | 567 aa, 64 kDa |
| 观测分子量 | 100-110 kDa |
| GenBank蛋白编号 | BC050050 |
| 基因名称 | MAP3K12 |
| Gene ID (NCBI) | 7786 |
| RRID | AB_3741851 |
| 偶联类型 | Unconjugated |
| 形式 | Liquid |
| 纯化方式 | Antigen affinity purification |
| UNIPROT ID | Q12852 |
| 储存缓冲液 | PBS with 0.02% sodium azide and 50% glycerol, pH 7.3. |
| 储存条件 | Store at -20°C. Stable for one year after shipment. Aliquoting is unnecessary for -20oC storage. |
背景介绍
MAP3K12, also named as DLK ((dual leucine zipper kinase), is a part of a non-canonical MAPK signaling pathway. It has been reported that MAP3K12 can be activated by APOE through a receptor-mediated mechanism. MAP3K12 enhances the AP-1-mediated transcription of APP via a MAP kinase signal transduction pathway composed of MAP2K7, MAPK1/ERK2 and MAPK3/ERK1. MAP3K12 is required for pancreatic beta-cell proliferation during postnatal development and stress-induced JNK signaling in neurons.(PMID: 28111074, 25341110, 32189007)
实验方案
| Product Specific Protocols | |
|---|---|
| WB protocol for DLK/MAP3K12 antibody 14054-1-AP | Download protocol |
| Standard Protocols | |
|---|---|
| Click here to view our Standard Protocols |

