验证数据展示
经过测试的应用
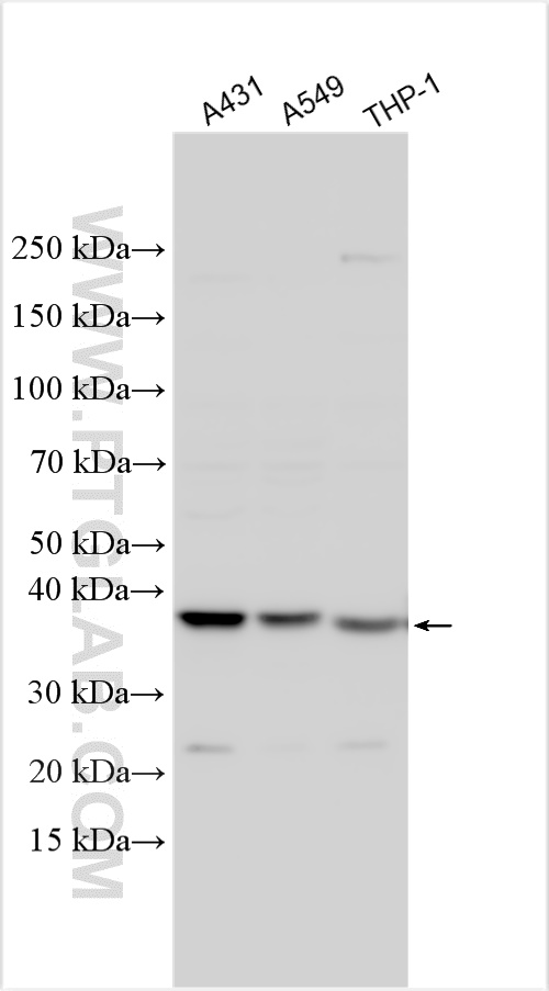
| Positive WB detected in | A431 cells, mouse skeletal muscle tissue, A549 cells, THP-1 cells, rat skeletal muscle tissue | 
推荐稀释比
| 应用 | 推荐稀释比 | 
|---|---|
| Western Blot (WB) | WB : 1:1000-1:4000 | 
| It is recommended that this reagent should be titrated in each testing system to obtain optimal results. | |
| Sample-dependent, Check data in validation data gallery. | |
发表文章中的应用
| KD/KO | See 3 publications below | 
| WB | See 9 publications below | 
产品信息
13898-1-AP targets MAP2K3 in WB, ELISA applications and shows reactivity with human, mouse, rat samples.
| 经测试应用 | WB, ELISA Application Description | 
| 文献引用应用 | WB | 
| 经测试反应性 | human, mouse, rat | 
| 文献引用反应性 | human, mouse, rat | 
| 免疫原 | CatNo: Ag4861 Product name: Recombinant human MAP2K3 protein Source: e coli.-derived, T-HIS Tag: 6*His Domain: 1-347 aa of BC032478 Sequence: MESPASSQPASMPQSKGKSKRKKDLRISCMSKPPAPNPTPPRNLDSRTFITIGDRNFEVEADDLVTISELGRGAYGVVEKVRHAQSGTIMAVKRIRATVNSQEQKRLLMDLDINMRTVDCFYTVTFYGALFREGDVWICMELMDTSLDKFYRKVLDKNMTIPEDILGEIAVSIVRALEHLHSKLSVIHRDVKPSNVLINKEGHVKMCDFGISGYLVDSVAKTMDAGCKPYMAPERINPELNQKGYNVKSDVWSLGITMIEMAILRFPYESWGTPFQQLKQVVEEPSPQLPADRFSPEFVDFTAQCLRKNPAERMSYLELMEHPFFTLHKTKKTDIAAFVKEILGEDS种属同源性预测 | 
| 宿主/亚型 | Rabbit / IgG | 
| 抗体类别 | Polyclonal | 
| 产品类型 | Antibody | 
| 全称 | mitogen-activated protein kinase kinase 3 | 
| 别名 | MEK3, MAPKK3, MAPKK 3, MAPK/ERK kinase 3, MAP kinase kinase 3 | 
| 计算分子量 | 347 aa, 39 kDa | 
| 观测分子量 | 36-40 kDa | 
| GenBank蛋白编号 | BC032478 | 
| 基因名称 | MAP2K3 | 
| Gene ID (NCBI) | 5606 | 
| RRID | AB_10642959 | 
| 偶联类型 | Unconjugated | 
| 形式 | Liquid | 
| 纯化方式 | Antigen affinity purification | 
| UNIPROT ID | P46734 | 
| 储存缓冲液 | PBS with 0.02% sodium azide and 50% glycerol, pH 7.3. | 
| 储存条件 | Store at -20°C. Stable for one year after shipment. Aliquoting is unnecessary for -20oC storage. | 
背景介绍
MAP2K3, also named MKK3, is a member of the dual specificity kinase group and serves as a specific activator of p38 MAPK with MKK6. MKK3 can be phosphorylated by cytokines and environmental stress at sites Ser189 and Thr193 by MKKK proteins (MEKK 1-4). MKK3 plays a key role in cell differentiation, motility, division, and death. It has been reported that MKK3 targeting may represent an effective and potentially safe therapeutic strategy to selectively kill cancer cells in colorectal cancer patients. (PMID: 31695024, 30770795, 26805700, 8622669)
实验方案
| Product Specific Protocols | |
|---|---|
| WB protocol for MAP2K3 antibody 13898-1-AP | Download protocol | 
| Standard Protocols | |
|---|---|
| Click here to view our Standard Protocols | 
发表文章
| Species | Application | Title | 
|---|---|---|
| Biomed Pharmacother Identification of MAP Kinase Kinase 3 as a protein target of myricetin in non-small cell lung cancer cells
 | ||
| Cell Mol Life Sci HERC2 deficiency activates C-RAF/MKK3/p38 signalling pathway altering the cellular response to oxidative stress | ||
| Food Funct L-Theanine mediates the p38MAPK signaling pathway to alleviate heat-induced oxidative stress and inflammation in mice. | ||
| Sci Rep The ubiquitin ligase HERC1 regulates cell migration via RAF-dependent regulation of MKK3/p38 signaling.
 | ||
| Mol Immunol Spiroplasma eriocheiris induces mouse 3T6-Swiss albino cell apoptosis that associated with the infection mechanism. | ||


