验证数据展示
经过测试的应用
| Positive WB detected in | Chloroquine treated HEK-293 cells, Chloroquine treated HeLa cells |
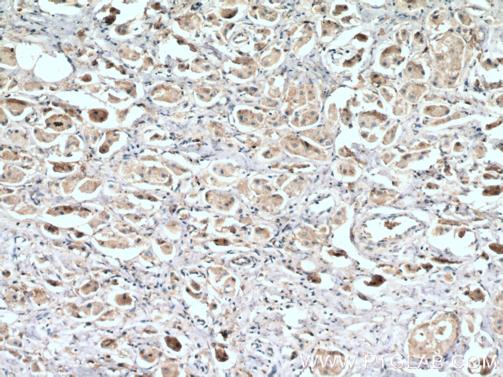
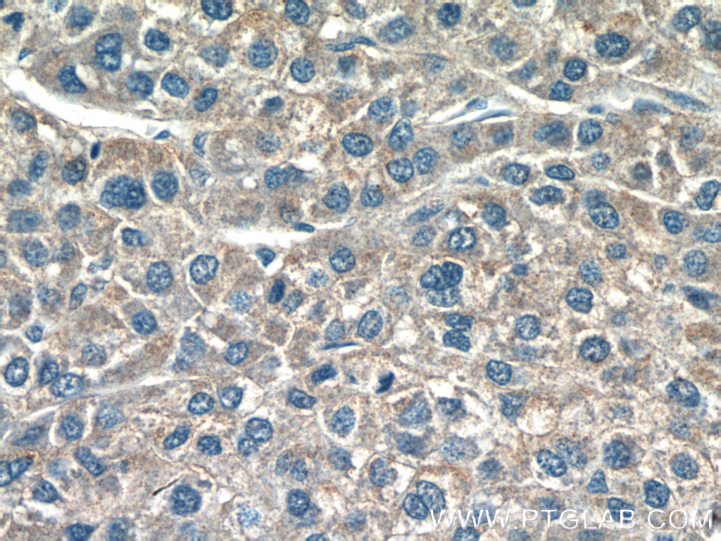
| Positive IHC detected in | human breast cancer tissue, human liver cancer tissue Note: suggested antigen retrieval with TE buffer pH 9.0; (*) Alternatively, antigen retrieval may be performed with citrate buffer pH 6.0 |
| Positive IF/ICC detected in | Starvation treated HEK-293 cells |
推荐稀释比
| 应用 | 推荐稀释比 |
|---|---|
| Western Blot (WB) | WB : 1:500-1:2000 |
| Immunohistochemistry (IHC) | IHC : 1:50-1:500 |
| Immunofluorescence (IF)/ICC | IF/ICC : 1:50-1:500 |
| It is recommended that this reagent should be titrated in each testing system to obtain optimal results. | |
| Sample-dependent, Check data in validation data gallery. | |
产品信息
12135-1-AP targets LC3 in WB, IHC, IF/ICC, ELISA applications and shows reactivity with human, mouse, rat, zebrafish samples.
| 经测试应用 | WB, IF, IHC, ELISA Application Description |
| 文献引用应用 | WB, IHC, IF |
| 经测试反应性 | human, mouse, rat, zebrafish |
| 文献引用反应性 | human, mouse, rat, pig, chicken, turtle |
| 免疫原 |
CatNo: Ag2781 Product name: Recombinant human MAP1LC3A,LC3 protein Source: e coli.-derived, PGEX-4T Tag: GST Domain: 1-121 aa of BC015810 Sequence: MPSDRPFKQRRSFADRCKEVQQIRDQHPSKIPVIIERYKGEKQLPVLDKTKFLVPDHVNMSELVKIIRRRLQLNPTQAFFLLVNQHSMVSVSTPIADIYEQEKDEDGFLYMVYASQETFGF 种属同源性预测 |
| 宿主/亚型 | Rabbit / IgG |
| 抗体类别 | Polyclonal |
| 产品类型 | Antibody |
| 全称 | microtubule-associated protein 1 light chain 3 alpha |
| 别名 | |
| 计算分子量 | 121 aa, 14 kDa |
| GenBank蛋白编号 | BC015810 |
| 基因名称 | LC3 |
| Gene ID (NCBI) | 84557 |
| 偶联类型 | Unconjugated |
| 形式 | Liquid |
| 纯化方式 | Antigen affinity purification |
| UNIPROT ID | Q9H492 |
| 储存缓冲液 | PBS with 0.02% sodium azide and 50% glycerol, pH 7.3. |
| 储存条件 | Store at -20°C. Stable for one year after shipment. Aliquoting is unnecessary for -20oC storage. |
背景介绍
LC3, also known as microtubule-associated protein 1 light chain 3 (MAP1LC3), is a mammalian homolog of the yeast Atg8p (autophagy-related 8 protein) that is involved in autophagy process. Three isoforms of LC3 exist as LC3A,LC3B, and LC3C. LC3 is first synthesized as pro-LC3, and undergoes C-terminal cleavage to yield a cytosolic precursor known as LC3-I. During autophagy LC3-I is subsequently conjugated to PE lipid as lipidated form: LC3-II. The lipidated form migrates faster on SDS-PAGE gel. The increased the level of LC3-II has been widely used as autophagy marker. This antibody recognizes both LC3-I (18-20 kDa) and LC3-II (14-16 kDa).
实验方案
| Product Specific Protocols | |
|---|---|
| IF protocol for LC3 antibody 12135-1-AP | Download protocol |
| IHC protocol for LC3 antibody 12135-1-AP | Download protocol |
| WB protocol for LC3 antibody 12135-1-AP | Download protocol |
| Standard Protocols | |
|---|---|
| Click here to view our Standard Protocols |
发表文章
| Species | Application | Title |
|---|---|---|
Cell Death Differ ATG4D is the main ATG8 delipidating enzyme in mammalian cells and protects against cerebellar neurodegeneration. | ||
Oxid Med Cell Longev Enhanced p62-NRF2 Feedback Loop due to Impaired Autophagic Flux Contributes to Arsenic-Induced Malignant Transformation of Human Keratinocytes. |






