验证数据展示
经过测试的应用
| Positive WB detected in | LNCaP cells, human placenta tissue |
| Positive IP detected in | LNCaP cells |
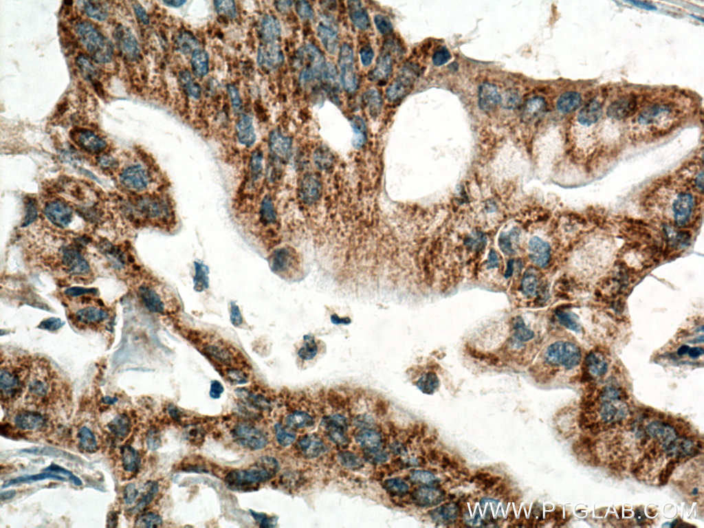
| Positive IHC detected in | human pancreas cancer tissue Note: suggested antigen retrieval with TE buffer pH 9.0; (*) Alternatively, antigen retrieval may be performed with citrate buffer pH 6.0 |
推荐稀释比
| 应用 | 推荐稀释比 |
|---|---|
| Western Blot (WB) | WB : 1:1000-1:5000 |
| Immunoprecipitation (IP) | IP : 0.5-4.0 ug for 1.0-3.0 mg of total protein lysate |
| Immunohistochemistry (IHC) | IHC : 1:300-1:1200 |
| It is recommended that this reagent should be titrated in each testing system to obtain optimal results. | |
| Sample-dependent, Check data in validation data gallery. | |
产品信息
10539-1-AP targets MAOA in WB, IHC, IF, IP, CoIP, ELISA applications and shows reactivity with human samples.
| 经测试应用 | WB, IHC, IP, ELISA Application Description |
| 文献引用应用 | WB, IHC, IF, CoIP |
| 经测试反应性 | human |
| 文献引用反应性 | human, mouse, rat, monkey |
| 免疫原 |
CatNo: Ag0821 Product name: Recombinant human MAOA protein Source: e coli.-derived, PGEX-4T Tag: GST Domain: 242-527 aa of BC008064 Sequence: HPVTHVDQSSDNIIIETLNHEHYECKYVINAIPPTLTAKIHFRPELPAERNQLIQRLPMGAVIKCMMYYKEAFWKKKDYCGCMIIEDEDAPISITLDDTKPDGSLPAIMGFILARKADRLAKLHKEIRKKKICELYAKVLGSQEALHPVHYEEKNWCEEQYSGGCYTAYFPPGIMTQYGRVIRQPVGRIFFAGTETATKWSGYMEGAVEAGERAAREVLNGLGKVTEKDIWVQEPESKDVPAVEITHTFWERNLPSVSGLLKIIGFSTSVTALGFVLYKYKLLPRS 种属同源性预测 |
| 宿主/亚型 | Rabbit / IgG |
| 抗体类别 | Polyclonal |
| 产品类型 | Antibody |
| 全称 | monoamine oxidase A |
| 别名 | Amine oxidase [flavin-containing] A, EC:1.4.3.21, MAO A, MAO-A, monoamine oxidase A |
| 计算分子量 | 60 kDa |
| 观测分子量 | 60 kDa |
| GenBank蛋白编号 | BC008064 |
| 基因名称 | MAOA |
| Gene ID (NCBI) | 4128 |
| RRID | AB_2137251 |
| 偶联类型 | Unconjugated |
| 形式 | Liquid |
| 纯化方式 | Antigen affinity purification |
| UNIPROT ID | P21397 |
| 储存缓冲液 | PBS with 0.02% sodium azide and 50% glycerol, pH 7.3. |
| 储存条件 | Store at -20°C. Stable for one year after shipment. Aliquoting is unnecessary for -20oC storage. |
背景介绍
MAOA belongs to the flavin monoamine oxidase family. It catalyzes the oxidative deamination of biogenic and xenobiotic amines and has important functions in the metabolism of neuroactive and vasoactive amines in the central nervous system and peripheral tissues. MAOA preferentially oxidizes biogenic amines such as 5-hydroxytryptamine (5-HT), norepinephrine and epinephrine.
实验方案
| Product Specific Protocols | |
|---|---|
| IHC protocol for MAOA antibody 10539-1-AP | Download protocol |
| IP protocol for MAOA antibody 10539-1-AP | Download protocol |
| WB protocol for MAOA antibody 10539-1-AP | Download protocol |
| Standard Protocols | |
|---|---|
| Click here to view our Standard Protocols |
发表文章
| Species | Application | Title |
|---|---|---|
Sci Adv ARMC1 partitions between distinct complexes and assembles MIRO with MTFR to control mitochondrial distribution | ||
Sci Adv Global ubiquitylation analysis of mitochondria in primary neurons identifies endogenous Parkin targets following activation of PINK1. | ||
J Clin Invest A pro-tumorigenic secretory pathway activated by p53 deficiency in lung adenocarcinoma. | ||
J Hepatol Monoamine oxidase A suppresses hepatocellular carcinoma metastasis by inhibiting the adrenergic system and its transactivation of EGFR signaling. |








