验证数据展示
经过测试的应用
| Positive WB detected in | Y79 cells, mouse brain tissue, PC-3 cells |
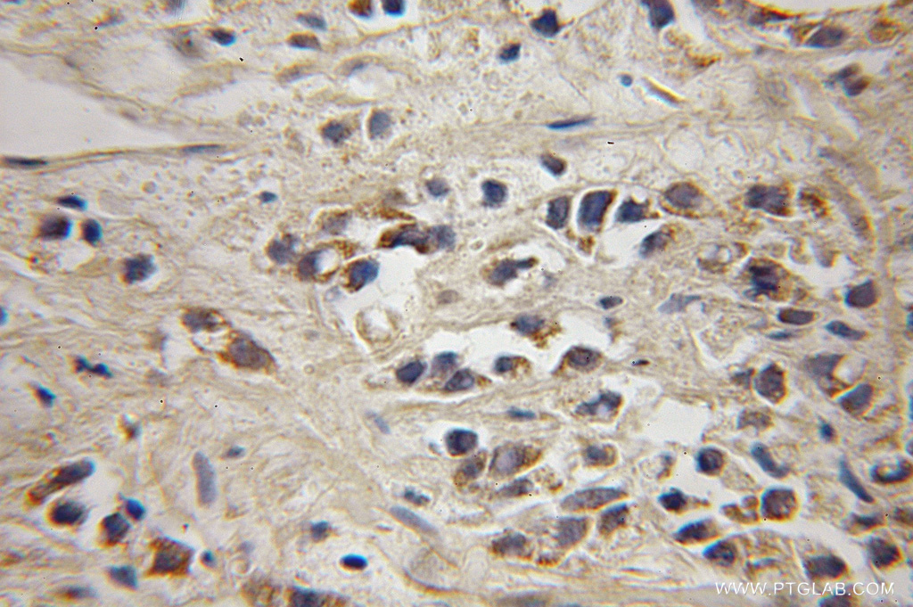
| Positive IHC detected in | human prostate cancer tissue Note: suggested antigen retrieval with TE buffer pH 9.0; (*) Alternatively, antigen retrieval may be performed with citrate buffer pH 6.0 |
| Positive IF/ICC detected in | PC-3 cells |
推荐稀释比
| 应用 | 推荐稀释比 |
|---|---|
| Western Blot (WB) | WB : 1:500-1:1000 |
| Immunohistochemistry (IHC) | IHC : 1:20-1:200 |
| Immunofluorescence (IF)/ICC | IF/ICC : 1:50-1:500 |
| It is recommended that this reagent should be titrated in each testing system to obtain optimal results. | |
| Sample-dependent, Check data in validation data gallery. | |
发表文章中的应用
| WB | See 2 publications below |
产品信息
12424-1-AP targets MAGEH1 in WB, IHC, IF/ICC, ELISA applications and shows reactivity with human, mouse, rat samples.
| 经测试应用 | WB, IHC, IF/ICC, ELISA Application Description |
| 文献引用应用 | WB |
| 经测试反应性 | human, mouse, rat |
| 文献引用反应性 | human, rat |
| 免疫原 |
CatNo: Ag3090 Product name: Recombinant human MAGEH1 protein Source: e coli.-derived, PGEX-4T Tag: GST Domain: 1-219 aa of BC011954 Sequence: MPRGRKSRRRRNARAAEENRNNRKIQASEASETPMAASVVASTPEDDLSGPEEDPSTPEEASTTPEEASSTAQAQKPSVPRSNFQGTKKSLLMSILALIFIMGNSAKEALVWKVLGKLGMQPGRQHSIFGDPKKIVTEEFVRRGYLIYKPVPRSSPVEYEFFWGPRAHVESSKLKVMHFVARVRNRCSKDWPCNYDWDSDDDAEVEAILNSGARGYSAP 种属同源性预测 |
| 宿主/亚型 | Rabbit / IgG |
| 抗体类别 | Polyclonal |
| 产品类型 | Antibody |
| 全称 | melanoma antigen family H, 1 |
| 别名 | Restin, Melanoma-associated antigen H1, MAGE-H1 antigen, APR-1, APR1 |
| 计算分子量 | 219 aa, 24 kDa |
| 观测分子量 | 28 kDa |
| GenBank蛋白编号 | BC011954 |
| 基因名称 | MAGEH1 |
| Gene ID (NCBI) | 28986 |
| RRID | AB_2877856 |
| 偶联类型 | Unconjugated |
| 形式 | Liquid |
| 纯化方式 | Antigen affinity purification |
| UNIPROT ID | Q9H213 |
| 储存缓冲液 | PBS with 0.02% sodium azide and 50% glycerol, pH 7.3. |
| 储存条件 | Store at -20°C. Stable for one year after shipment. Aliquoting is unnecessary for -20oC storage. |
实验方案
| Product Specific Protocols | |
|---|---|
| IF protocol for MAGEH1 antibody 12424-1-AP | Download protocol |
| IHC protocol for MAGEH1 antibody 12424-1-AP | Download protocol |
| WB protocol for MAGEH1 antibody 12424-1-AP | Download protocol |
| Standard Protocols | |
|---|---|
| Click here to view our Standard Protocols |
发表文章
| Species | Application | Title |
|---|---|---|
Oxid Med Cell Longev DDAH1/ADMA Regulates Adiponectin Resistance in Cerebral Ischemia via the ROS/FOXO1/APR1 Pathway. | ||
Oncol Lett Unveiling the prognostic and immunotherapeutic role of Tregs in lung cancer using integrated analysis of single-cell and bulk RNA-sequencing. |






