验证数据展示
经过测试的应用
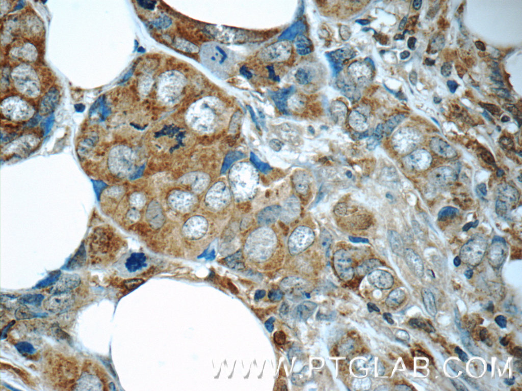
| Positive IHC detected in | human liver cancer tissue, human breast cancer tissue, human malignant melanoma tissue, human testis tissue Note: suggested antigen retrieval with TE buffer pH 9.0; (*) Alternatively, antigen retrieval may be performed with citrate buffer pH 6.0 |
推荐稀释比
| 应用 | 推荐稀释比 |
|---|---|
| Immunohistochemistry (IHC) | IHC : 1:500-1:2000 |
| It is recommended that this reagent should be titrated in each testing system to obtain optimal results. | |
| Sample-dependent, Check data in validation data gallery. | |
发表文章中的应用
| IHC | See 2 publications below |
产品信息
10280-1-AP targets MAGEC2 in IHC, ELISA applications and shows reactivity with human samples.
| 经测试应用 | IHC, ELISA Application Description |
| 文献引用应用 | IHC |
| 经测试反应性 | human |
| 文献引用反应性 | human |
| 免疫原 |
CatNo: Ag0418 Product name: Recombinant human MAGEC2 protein Source: e coli.-derived, PGEX-4T Tag: GST Domain: 111-367 aa of BC005891 Sequence: SFSEESSSQKGEDTGTCQGLPDSESSFTYTLDEKVAELVEFLLLKYEAEEPVTEAEMLMIVIKYKDYFPVILKRAREFMELLFGLALIEVGPDHFCVFANTVGLTDEGSDDEGMPENSLLIIILSVIFIKGNCASEEVIWEVLNAVGVYAGREHFVYGEPRELLTKVWVQGHYLEYREVPHSSPPYYEFLWGPRAHSESIKKKVLEFLAKLNNTVPSSFPSWYKDALKDVEERVQATIDTADDATVMASESLSVMSS 种属同源性预测 |
| 宿主/亚型 | Rabbit / IgG |
| 抗体类别 | Polyclonal |
| 产品类型 | Antibody |
| 全称 | melanoma antigen family C, 2 |
| 别名 | Cancer/testis antigen 10, CT10, HCA587, MAGE C2 antigen, MAGE E1 antigen, MAGEC2, MAGEE1, melanoma antigen family C, 2, Melanoma associated antigen C2 |
| 计算分子量 | 373 aa, 41 kDa |
| GenBank蛋白编号 | BC005891 |
| 基因名称 | MAGEC2 |
| Gene ID (NCBI) | 51438 |
| RRID | AB_2138540 |
| 偶联类型 | Unconjugated |
| 形式 | Liquid |
| 纯化方式 | Antigen affinity purification |
| UNIPROT ID | Q9UBF1 |
| 储存缓冲液 | PBS with 0.02% sodium azide and 50% glycerol, pH 7.3. |
| 储存条件 | Store at -20°C. Stable for one year after shipment. Aliquoting is unnecessary for -20oC storage. |
背景介绍
Melanoma antigen family C, 2(MAGEC2, synonyms: CT10, HCA587, MAGEE1, MGC13377) is related to members of the MAGEC gene family. MAGEC2 is not expressed in normal tissues, except for testis, and is expressed in tumors of various histological types. This gene and other MAGEC genes are clustered on chromosome Xq26-q27.
实验方案
| Product Specific Protocols | |
|---|---|
| IHC protocol for MAGEC2 antibody 10280-1-AP | Download protocol |
| WB protocol for MAGEC2 antibody 10280-1-AP | Download protocol |
| Standard Protocols | |
|---|---|
| Click here to view our Standard Protocols |
发表文章
| Species | Application | Title |
|---|---|---|
PLoS One γ-Radiation promotes immunological recognition of cancer cells through increased expression of cancer-testis antigens in vitro and in vivo. | ||
Hum Pathol Primary mediastinal seminomas: a comprehensive immunohistochemical study with a focus on novel markers. | ||
Laryngoscope Investig Otolaryngol The expression of the cancer testis antigen MAGE A4: A favorable prognostic biomarker in salivary gland carcinomas related to low tumor grading. |








