验证数据展示
经过测试的应用
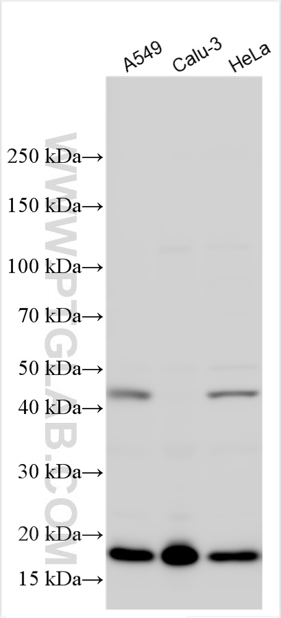
| Positive WB detected in | A549 cells, Calu-3 cells, HeLa cells |
| Positive IF/ICC detected in | HeLa cells |
推荐稀释比
| 应用 | 推荐稀释比 |
|---|---|
| Western Blot (WB) | WB : 1:1000-1:8000 |
| Immunofluorescence (IF)/ICC | IF/ICC : 1:400-1:1600 |
| It is recommended that this reagent should be titrated in each testing system to obtain optimal results. | |
| Sample-dependent, Check data in validation data gallery. | |
产品信息
33199-1-AP targets MAFK in WB, IF/ICC, ELISA applications and shows reactivity with human samples.
| 经测试应用 | WB, IF/ICC, ELISA Application Description |
| 经测试反应性 | human |
| 免疫原 |
CatNo: Ag38230 Product name: Recombinant human MAFK protein Source: e coli.-derived, PGEX-4T Tag: GST Domain: 1-156 aa of NM_002360.3 Sequence: MTTNPKPNKALKVKKEAGENAPVLSDDELVSMSVRELNQHLRGLTKEEVTRLKQRRRTLKNRGYAASCRIKRVTQKEELERQRVELQQEVEKLARENSSMRLELDALRSKYEALQTFARTVARGPVAPSKVATTSVITIVKSTELSSTSVPFSAAS 种属同源性预测 |
| 宿主/亚型 | Rabbit / IgG |
| 抗体类别 | Polyclonal |
| 产品类型 | Antibody |
| 全称 | v-maf musculoaponeurotic fibrosarcoma oncogene homolog K (avian) |
| 别名 | Erythroid transcription factor NF-E2 p18 subunit, Transcription factor MafK |
| 计算分子量 | 18 kDa,156aa |
| 观测分子量 | 18 kDa |
| GenBank蛋白编号 | NM_002360.3 |
| 基因名称 | MAFK |
| Gene ID (NCBI) | 7975 |
| 偶联类型 | Unconjugated |
| 形式 | Liquid |
| 纯化方式 | Antigen affinity Purification |
| UNIPROT ID | O60675 |
| 储存缓冲液 | PBS with 0.02% sodium azide and 50% glycerol, pH 7.3. |
| 储存条件 | Store at -20°C. Stable for one year after shipment. Aliquoting is unnecessary for -20oC storage. |
背景介绍
The small Maf proteins (sMafs) are basic region leucine zipper (bZIP)-type transcription factors. MAFF, MAFG, and MAFK are the three vertebrate sMafs (PMID: 27058431). They act as transcriptional activators by dimerizing with other (usually larger) basic-zipper proteins, such as NFE2, NFE2L1/NRF1, NFE2L2/NRF2, and NFE2L3/NRF3, and recruiting them to specific DNA-binding sites (PMID: 8932385; 9150357). In cancer cell lines, MAFK promotes epithelial-to-mesenchymal transition (EMT) by downregulating E-cadherin expression through the targeting of transmembrane glycoprotein nonmetastatic B (GPNMB), a potent inducer of EMT (PMID: 28400538; 36061142).
实验方案
| Product Specific Protocols | |
|---|---|
| IF protocol for MAFK antibody 33199-1-AP | Download protocol |
| WB protocol for MAFK antibody 33199-1-AP | Download protocol |
| Standard Protocols | |
|---|---|
| Click here to view our Standard Protocols |

