验证数据展示
经过测试的应用
| Positive WB detected in | HUVEC cells, bEnd.3 cells, mouse heart tissue, mouse liver tissue, rat heart tissue, rat liver tissue |
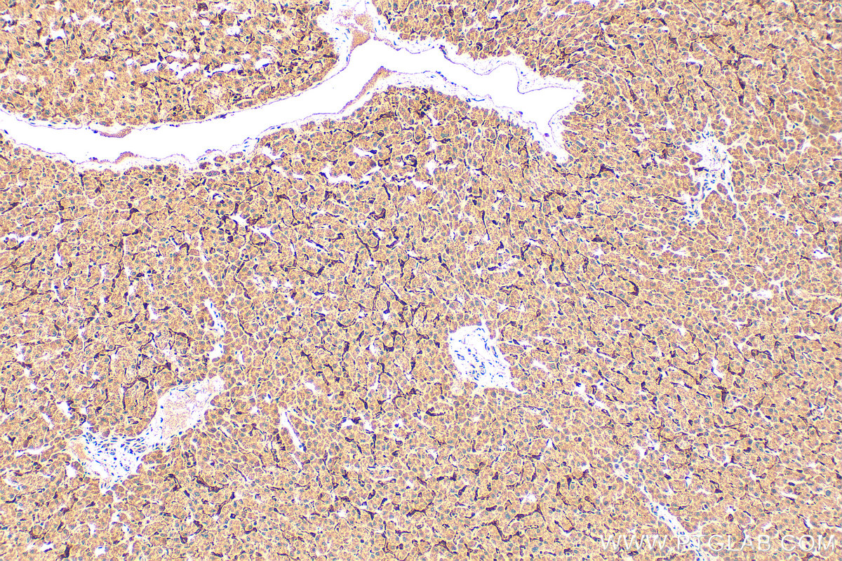
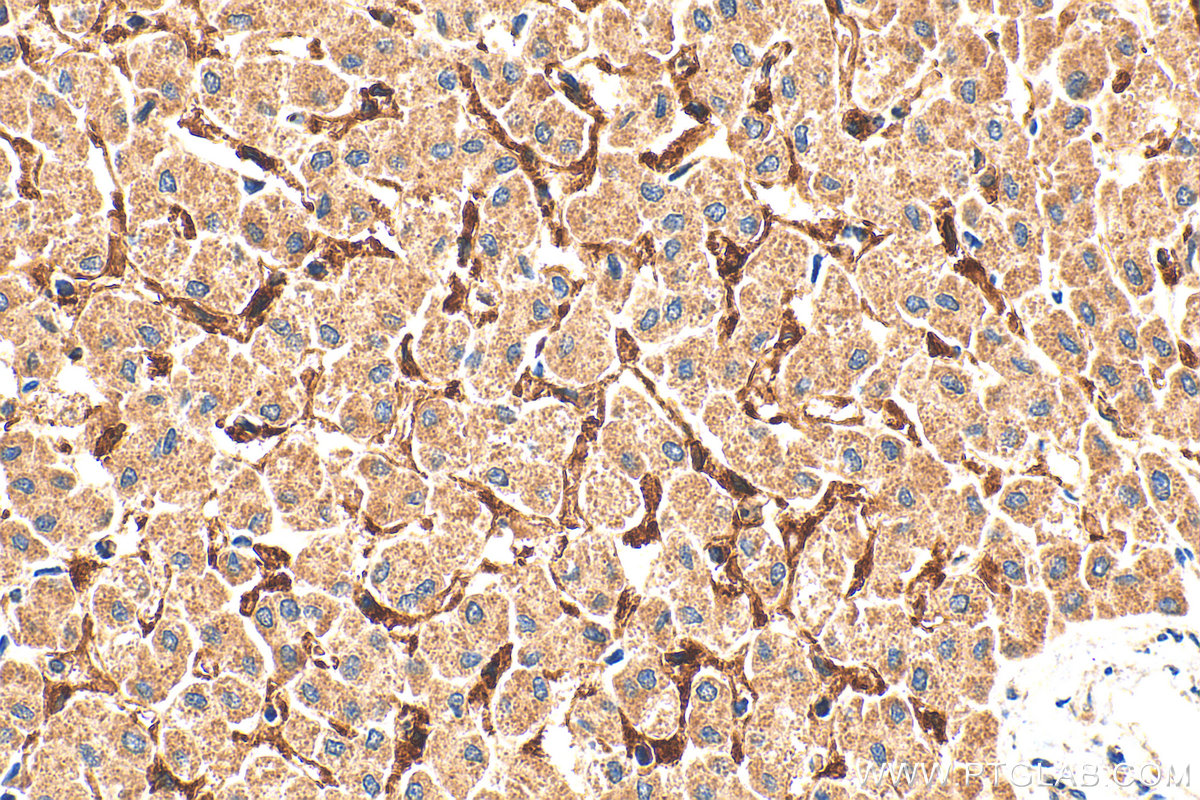
| Positive IHC detected in | human liver tissue Note: suggested antigen retrieval with TE buffer pH 9.0; (*) Alternatively, antigen retrieval may be performed with citrate buffer pH 6.0 |
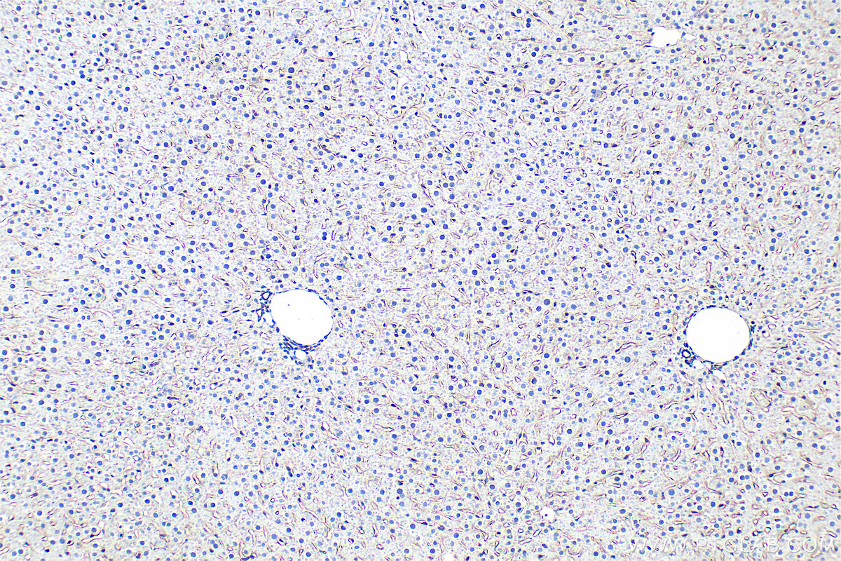
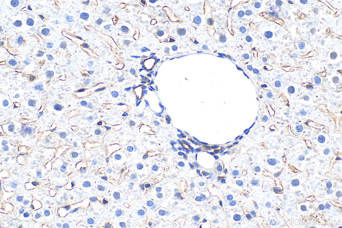
| Positive IF-P detected in | rat liver tissue |
推荐稀释比
| 应用 | 推荐稀释比 |
|---|---|
| Western Blot (WB) | WB : 1:1000-1:4000 |
| Immunohistochemistry (IHC) | IHC : 1:200-1:800 |
| Immunofluorescence (IF)-P | IF-P : 1:50-1:500 |
| It is recommended that this reagent should be titrated in each testing system to obtain optimal results. | |
| Sample-dependent, Check data in validation data gallery. | |
产品信息
28321-1-AP targets LYVE1 in WB, IHC, IF-P, ELISA applications and shows reactivity with human, mouse, rat samples.
| 经测试应用 | WB, IHC, IF-P, ELISA Application Description |
| 文献引用应用 | WB, IHC, IF |
| 经测试反应性 | human, mouse, rat |
| 文献引用反应性 | human, mouse |
| 免疫原 |
CatNo: Ag28131 Product name: Recombinant human LYVE1 protein Source: e coli.-derived, PGEX-4T Tag: GST Domain: 192-322 aa of BC026231 Sequence: SIPRRKKLICVTEVFMETSTMSTETEPFVENKAAFKNEAAGFGGVPTALLVLALLFFGAAAGLGFCYVKRYVKAFPFTNKNQQKEMIETKVVKEEKANDSNPNEESKKTDKNPEESKSPSKTTVRCLEAEV 种属同源性预测 |
| 宿主/亚型 | Rabbit / IgG |
| 抗体类别 | Polyclonal |
| 产品类型 | Antibody |
| 全称 | lymphatic vessel endothelial hyaluronan receptor 1 |
| 别名 | Cell surface retention sequence-binding protein 1, CRSBP 1, CRSBP1, CRSBP-1, Extracellular link domain-containing protein 1 |
| 计算分子量 | 322 aa, 35 kDa |
| 观测分子量 | 70 kDa |
| GenBank蛋白编号 | BC026231 |
| 基因名称 | LYVE1 |
| Gene ID (NCBI) | 10894 |
| RRID | AB_3086043 |
| 偶联类型 | Unconjugated |
| 形式 | Liquid |
| 纯化方式 | Antigen affinity purification |
| UNIPROT ID | Q9Y5Y7 |
| 储存缓冲液 | PBS with 0.02% sodium azide and 50% glycerol, pH 7.3. |
| 储存条件 | Store at -20°C. Stable for one year after shipment. Aliquoting is unnecessary for -20oC storage. |
背景介绍
LYVE1 is a 322-amino acid type-I integral membrane glycoprotein primarily expressed on lymphatic endothelial cells. LYVE1 is a CD44 homologue. It acts as a receptor and binds to both soluble and immobilized hyaluronan. LYVE1 may function in lymphatic hyaluronan transport and have a role in tumor metastasis.
实验方案
| Product Specific Protocols | |
|---|---|
| IF protocol for LYVE1 antibody 28321-1-AP | Download protocol |
| IHC protocol for LYVE1 antibody 28321-1-AP | Download protocol |
| WB protocol for LYVE1 antibody 28321-1-AP | Download protocol |
| Standard Protocols | |
|---|---|
| Click here to view our Standard Protocols |
发表文章
| Species | Application | Title |
|---|---|---|
Exp Eye Res Distinct Activation of M1 and M2 Macrophages in the Primary Pterygium Lymphangiogenesis | ||
J Adv Res Aquaporin 4 and its isoforms regulation ameliorate AQP4 Mis-localization-induced glymphatic dysfunction in ischemic stroke | ||
Aging Cell Senescent Macrophages Promote Age-Related Revascularization Impairment by Increasing Antiangiogenic VEGF-A165B Expression | ||
Nat Commun Lymph nodes molecular subtypes unravel lymph nodes heterogeneity and clinical implications in colorectal cancer | ||
Discov Oncol Exploring targeted therapies against RFPL3 for non-small cell lung cancer with lymph node metastasis. | ||
Front Immunol Meningeal lymphatic vessel dysfunction exacerbates brain injury in CVST mice via endoplasmic reticulum and oxidative stress pathways. |



