验证数据展示
经过测试的应用
| Positive WB detected in | human saliva, HEK-293 cells, human pancreas tissue |
| Positive IP detected in | HeLa cells |
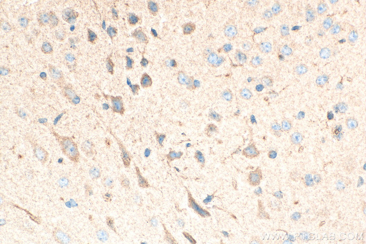
| Positive IHC detected in | mouse brain tissue, human prostate hyperplasia tissue Note: suggested antigen retrieval with TE buffer pH 9.0; (*) Alternatively, antigen retrieval may be performed with citrate buffer pH 6.0 |
推荐稀释比
| 应用 | 推荐稀释比 |
|---|---|
| Western Blot (WB) | WB : 1:1000-1:4000 |
| Immunoprecipitation (IP) | IP : 0.5-4.0 ug for 1.0-3.0 mg of total protein lysate |
| Immunohistochemistry (IHC) | IHC : 1:250-1:1000 |
| It is recommended that this reagent should be titrated in each testing system to obtain optimal results. | |
| Sample-dependent, Check data in validation data gallery. | |
产品信息
10933-1-AP targets Lactotransferrin/LTF in WB, IHC, IF, IP, ELISA applications and shows reactivity with human samples.
| 经测试应用 | WB, IHC, IP, ELISA Application Description |
| 文献引用应用 | WB, IHC, IF |
| 经测试反应性 | human |
| 文献引用反应性 | human, mouse, bovine |
| 免疫原 |
CatNo: Ag1379 Product name: Recombinant human LTF protein Source: e coli.-derived, PGEX-4T Tag: GST Domain: 346-711 aa of BC015822 Sequence: TAIQNLRKSEEEVAARRARVVWCAVGEQELRKCNQWSGLSEGSVTCSSASTTEDCIALVLKGEADAMSLDGGYVYTAGKCGLVPVLAENYKSQQSSDPDPNCVDRPVEGYLTVAVVRRSDTSLTWNSVKGKKSCHTAVDRTAGWNIPMGLLFNQTGSCKFDEYFSQSCAPGSDPRSNLCALCIGDEQGENKCEPNSNERYYGYTGAFRCLAENAGDVAFVKDVTVLQNTDGNNNEAWAKDLKLADFALLCLDGKRKPVTEARSCHLAMAPNHAVVSRMDKVERLKQVLLHQQAKFGRNGSDCPDKFCLFQSETKNLLFNDNTECLARLHGKTTYEKYLGPQYVAGITNLKKCSTSPLLEACEFLRK 种属同源性预测 |
| 宿主/亚型 | Rabbit / IgG |
| 抗体类别 | Polyclonal |
| 产品类型 | Antibody |
| 全称 | lactotransferrin |
| 别名 | Lactoferrin, LTF, EC:3.4.21.-, GIG 12, GIG12 |
| 计算分子量 | 80 kDa |
| 观测分子量 | 30,51,80 kDa |
| GenBank蛋白编号 | BC015822 |
| 基因名称 | LTF |
| Gene ID (NCBI) | 4057 |
| RRID | AB_2139227 |
| 偶联类型 | Unconjugated |
| 形式 | Liquid |
| 纯化方式 | Antigen affinity purification |
| UNIPROT ID | P02788 |
| 储存缓冲液 | PBS with 0.02% sodium azide and 50% glycerol, pH 7.3. |
| 储存条件 | Store at -20°C. Stable for one year after shipment. Aliquoting is unnecessary for -20oC storage. |
背景介绍
LTF(Lactotransferrin) is also named as GIG12, LF and belongs to the transferrin family. It is an iron binding transport protein which can bind two atoms of ferric iron in association with the binding of an anion, usually bicarbonate. LTF is also an important protein component of the innate immune system that is broadly distributed within the body fluids. It can contribute to the activation of both the innate and adaptive immune responses by promoting the recruitment of leukocytes and activation of dendritic cells(PMID:18453607). This protein has 2 isoforms produced by alternative promoter usage. The human LTF can be isolated two fragments, an N-terminal tryptic fragment having an MW of 30 kDa and a C-terminal tryptic fragment having an MW of 50 kDa by a mild tryptic digest(PMID:3790094).
实验方案
| Product Specific Protocols | |
|---|---|
| IHC protocol for Lactotransferrin/LTF antibody 10933-1-AP | Download protocol |
| IP protocol for Lactotransferrin/LTF antibody 10933-1-AP | Download protocol |
| WB protocol for Lactotransferrin/LTF antibody 10933-1-AP | Download protocol |
| Standard Protocols | |
|---|---|
| Click here to view our Standard Protocols |
发表文章
| Species | Application | Title |
|---|---|---|
Sci Adv Mucus concentration-dependent biophysical abnormalities unify submucosal gland and superficial airway dysfunction in cystic fibrosis. | ||
Cancer Cell Int Identification and validation of an immune-related prognostic signature and key gene in papillary thyroid carcinoma. | ||
Biochem Biophys Res Commun NEDD4L-mediated LTF protein degradation limits ferroptosis.
| ||
Int Med Case Rep J Collagen fiber changes related to keratoconus with secondary corneal amyloidosis. |







