验证数据展示
经过测试的应用
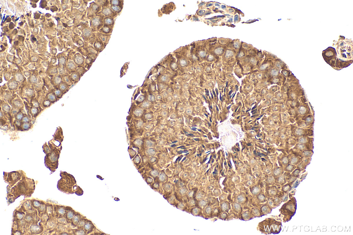
| Positive IHC detected in | mouse testis tissue Note: suggested antigen retrieval with TE buffer pH 9.0; (*) Alternatively, antigen retrieval may be performed with citrate buffer pH 6.0 |
推荐稀释比
| 应用 | 推荐稀释比 |
|---|---|
| Immunohistochemistry (IHC) | IHC : 1:50-1:500 |
| It is recommended that this reagent should be titrated in each testing system to obtain optimal results. | |
| Sample-dependent, Check data in validation data gallery. | |
产品信息
32450-1-AP targets LRRC37A2 in IHC, ELISA applications and shows reactivity with human, mouse samples.
| 经测试应用 | IHC, ELISA Application Description |
| 经测试反应性 | human, mouse |
| 免疫原 |
CatNo: Ag36343 Product name: Recombinant human LRRC37A2 protein Source: e coli.-derived, PET28a Tag: 6*His Domain: 1155-1400 aa of NM_001006607 Sequence: QTVGQNRQRVKRVLMGPRSIQKRHFKEVGRQSIRREQGAQASVENAAEEKRLGSPAPREVEQPHTQQGPEKLAGNAVYTKPSFTQEHKAAVSVLKPFSKGAPSTSSPAKALPQVRDRWKDLTHAISILESAKARVTNTKTSKPIVHARKKYRFHKTRSHVTHRTPKVKKSPKVRKKSYLSRLMLANRLPFSAAKSLINSPSQGAFSSLGDLSPQENPFLEVSAPSEHFIENNNTKHTTARNAFEEN 种属同源性预测 |
| 宿主/亚型 | Rabbit / IgG |
| 抗体类别 | Polyclonal |
| 产品类型 | Antibody |
| 全称 | leucine rich repeat containing 37, member A2 |
| 别名 | A6NM11 |
| 计算分子量 | 188 kDa |
| GenBank蛋白编号 | NM_001006607 |
| 基因名称 | LRRC37A2 |
| Gene ID (NCBI) | 474170 |
| RRID | AB_3742613 |
| 偶联类型 | Unconjugated |
| 形式 | Liquid |
| 纯化方式 | Antigen affinity Purification |
| UNIPROT ID | A6NM11 |
| 储存缓冲液 | PBS with 0.02% sodium azide and 50% glycerol, pH 7.3. |
| 储存条件 | Store at -20°C. Stable for one year after shipment. Aliquoting is unnecessary for -20oC storage. |
背景介绍
LRRC37A2, or Leucine-Rich Repeat-Containing Protein 37A2, is a protein encoded by the LRRC37A2 gene in humans. It belongs to the leucine-rich repeat (LRR) family, which is involved in protein-protein interactions and various cellular processes. The specific function of LRRC37A2 is not yet fully understood, but it is thought to play a role in immune response, cell signaling, and possibly neurodevelopment.
实验方案
| Product Specific Protocols | |
|---|---|
| IHC protocol for LRRC37A2 antibody 32450-1-AP | Download protocol |
| Standard Protocols | |
|---|---|
| Click here to view our Standard Protocols |
