验证数据展示
经过测试的应用
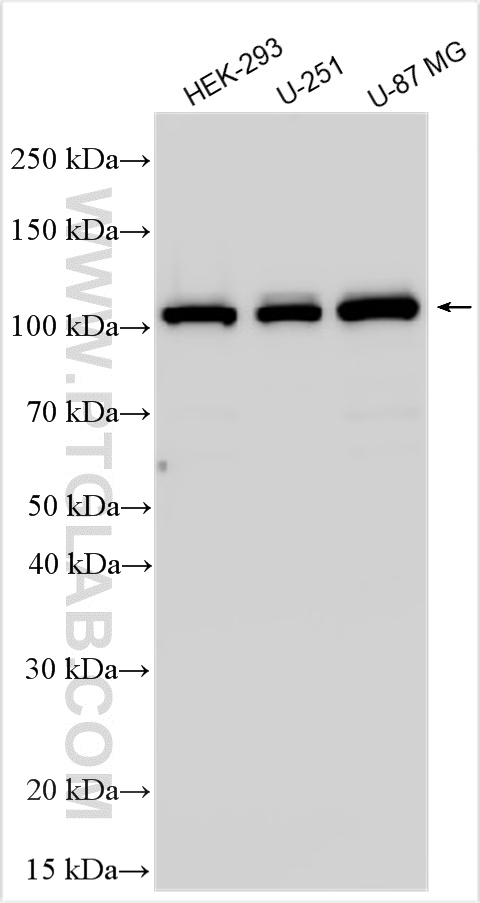
| Positive WB detected in | HEK-293 cells, U-251 cells, U-87 MG cells |
| Positive IF/ICC detected in | U2OS cells |
推荐稀释比
| 应用 | 推荐稀释比 |
|---|---|
| Western Blot (WB) | WB : 1:1000-1:4000 |
| Immunofluorescence (IF)/ICC | IF/ICC : 1:50-1:500 |
| It is recommended that this reagent should be titrated in each testing system to obtain optimal results. | |
| Sample-dependent, Check data in validation data gallery. | |
产品信息
33107-1-AP targets LRIG3 in WB, IF/ICC, ELISA applications and shows reactivity with human samples.
| 经测试应用 | WB, IF/ICC, ELISA Application Description |
| 经测试反应性 | human |
| 免疫原 |
CatNo: Eg2853 Product name: Recombinant Human LRIG3 protein (rFc Tag) Source: mammalian cells-derived, V37 Tag: C-rFc Domain: 28-807 aa of NM_153377.4 Sequence: DSGGRGELGQPSGVAAERPCPTTCRCLGDLLDCSRKRLARLPEPLPSWVARLDLSHNRLSFIKASSMSHLQSLREVKLNNNELETIPNLGPVSANITLLSLAGNRIVEILPEHLKEFQSLETLDLSSNNISELQTAFPALQLKYLYLNSNRVTSMEPGYFDNLANTLLVLKLNRNRISAIPPKMFKLPQLQHLELNRNKIKNVDGLTFQGLGALKSLKMQRNGVTKLMDGAFWGLSNMEILQLDHNNLTEITKGWLYGLLMLQELHLSQNAINRISPDAWEFCQKLSELDLTFNHLSRLDDSSFLGLSLLNTLHIGNNRVSYIADCAFRGLSSLKTLDLKNNEISWTIEDMNGAFSGLDKLRRLILQGNRIRSITKKAFTGLDALEHLDLSDNAIMSLQGNAFSQMKKLQQLHLNTSSLLCDCQLKWLPQWVAENNFQSFVNASCAHPQLLKGRSIFAVSPDGFVCDDFPKPQITVQPETQSAIKGSNLSFICSAASSSDSPMTFAWKKDNELLHDAEMENYAHLRAQGGEVMEYTTILRLREVEFASEGKYQCVISNHFGSSYSVKAKLTVNMLPSFTKTPMDLTIRAGAMARLECAAVGHPAPQIAWQKDGGTDFPAARERRMHVMPEDDVFFIVDVKIEDIGVYSCTAQNSAGSISANATLTVLETPSFLRPLLDRTVTKGETAVLQCIAGGSPPPKLNWTKDDSPLVVTERHFFAAGNQLLIIVDSDVSDAGKYTCEMSNTLGTERGNVRLSVIPTPTCDSPQMTAPSLDDDGWAT 种属同源性预测 |
| 宿主/亚型 | Rabbit / IgG |
| 抗体类别 | Polyclonal |
| 产品类型 | Antibody |
| 全称 | leucine-rich repeats and immunoglobulin-like domains 3 |
| 别名 | KIAA3016, LIG 3, LIG3 |
| 计算分子量 | 123 kDa |
| 观测分子量 | 117 kDa |
| GenBank蛋白编号 | NM_153377.4 |
| 基因名称 | LRIG3 |
| Gene ID (NCBI) | 121227 |
| RRID | AB_3742857 |
| 偶联类型 | Unconjugated |
| 形式 | Liquid |
| 纯化方式 | Antigen affinity Purification |
| UNIPROT ID | Q6UXM1-1 |
| 储存缓冲液 | PBS with 0.02% sodium azide and 50% glycerol, pH 7.3. |
| 储存条件 | Store at -20°C. Stable for one year after shipment. Aliquoting is unnecessary for -20oC storage. |
背景介绍
LRIG3 is a member of the LRIG family of transmembrane proteins, characterized by leucine-rich repeats and immunoglobulin-like domains. It plays a crucial role in regulating various signaling pathways, including those involved in cell proliferation, differentiation, and immune responses.
实验方案
| Product Specific Protocols | |
|---|---|
| IF protocol for LRIG3 antibody 33107-1-AP | Download protocol |
| WB protocol for LRIG3 antibody 33107-1-AP | Download protocol |
| Standard Protocols | |
|---|---|
| Click here to view our Standard Protocols |

