验证数据展示
经过测试的应用
| Positive WB detected in | DU 145 cells, PC-3 cells |
| Positive IP detected in | PC-3 cells |
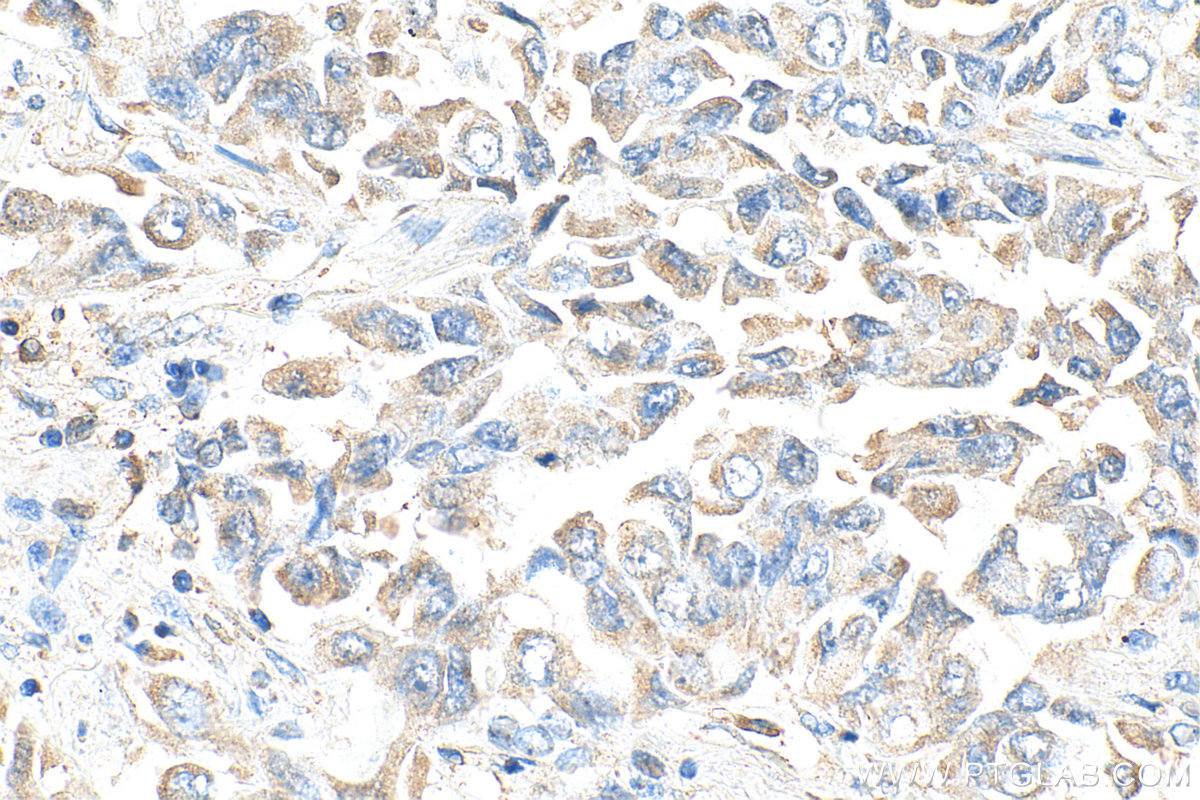
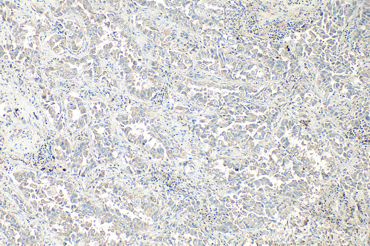
| Positive IHC detected in | human lung cancer tissue Note: suggested antigen retrieval with TE buffer pH 9.0; (*) Alternatively, antigen retrieval may be performed with citrate buffer pH 6.0 |
| Positive IF/ICC detected in | PC-3 cells |
推荐稀释比
| 应用 | 推荐稀释比 |
|---|---|
| Western Blot (WB) | WB : 1:2000-1:10000 |
| Immunoprecipitation (IP) | IP : 0.5-4.0 ug for 1.0-3.0 mg of total protein lysate |
| Immunohistochemistry (IHC) | IHC : 1:400-1:1600 |
| Immunofluorescence (IF)/ICC | IF/ICC : 1:200-1:800 |
| It is recommended that this reagent should be titrated in each testing system to obtain optimal results. | |
| Sample-dependent, Check data in validation data gallery. | |
发表文章中的应用
| IHC | See 1 publications below |
| IF | See 1 publications below |
产品信息
11307-1-AP targets LPXN in WB, IHC, IF/ICC, IP, ELISA applications and shows reactivity with human samples.
| 经测试应用 | WB, IHC, IF/ICC, IP, ELISA Application Description |
| 文献引用应用 | IHC, IF |
| 经测试反应性 | human |
| 文献引用反应性 | mouse |
| 免疫原 |
CatNo: Ag1845 Product name: Recombinant human LPXN protein Source: e coli.-derived, PGEX-4T Tag: GST Domain: 87-386 aa of BC019035 Sequence: TSAAAQLDELMAHLTEMQAKVAVRADAGKKHLPDKQDHKASLDSMLGGLEQELQDLGIATVPKGHCASCQKPIAGKVIHALGQSWHPEHFVCTHCKEEIGSSPFFERSGLAYCPNDYHQLFSPRCAYCAAPILDKVLTAMNQTWHPEHFFCSHCGEVFGAEGFHEKDKKPYCRKDFLAMFSPKCGGCNRPVLENYLSAMDTVWHPECFVCGDCFTSFSTGSFFELDGRPFCELHYHHRRGTLCHGCGQPITGRCISAMGYKFHPEHFVCAFCLTQLSKGIFREQNDKTYCQPCFNKLFPL 种属同源性预测 |
| 宿主/亚型 | Rabbit / IgG |
| 抗体类别 | Polyclonal |
| 产品类型 | Antibody |
| 全称 | leupaxin |
| 别名 | LDLP, LDPL |
| 计算分子量 | 43 kDa |
| 观测分子量 | 45 kDa |
| GenBank蛋白编号 | BC019035 |
| 基因名称 | LPXN |
| Gene ID (NCBI) | 9404 |
| RRID | AB_2877756 |
| 偶联类型 | Unconjugated |
| 形式 | Liquid |
| 纯化方式 | Antigen affinity purification |
| UNIPROT ID | O60711 |
| 储存缓冲液 | PBS with 0.02% sodium azide and 50% glycerol, pH 7.3. |
| 储存条件 | Store at -20°C. Stable for one year after shipment. Aliquoting is unnecessary for -20oC storage. |
背景介绍
LPXN, also known as Leupaxin, LDPL, belongs to the paxillin family. LPXN Contributes to the regulation of cell adhesion, spreading, and cell migration and acts as a negative regulator in integrin-mediated cell adhesion events (PMID: 20543562). LPXN has four leucine-rich LD-motifs in the N-terminus and four LIM domains in the C-terminus. It may function in cell type-specific signaling by associating with PYK2, a member of the focal adhesion kinase family (PMID: 9565592). Studies in breast cancer implicate LPXN is involved in the regulation of ER action as a co-factor (PMID: 25955236). LPXN is expressed in prostate cancer cells and its expression intensity is directly linked to PCa progression (PMID: 18451096).
实验方案
| Product Specific Protocols | |
|---|---|
| IF protocol for LPXN antibody 11307-1-AP | Download protocol |
| IHC protocol for LPXN antibody 11307-1-AP | Download protocol |
| IP protocol for LPXN antibody 11307-1-AP | Download protocol |
| WB protocol for LPXN antibody 11307-1-AP | Download protocol |
| Standard Protocols | |
|---|---|
| Click here to view our Standard Protocols |
发表文章
| Species | Application | Title |
|---|---|---|
J Mol Cell Cardiol Exogenous extracellular matrix proteins decrease cardiac fibroblast activation in stiffening microenvironment through CAPG. | ||





