验证数据展示
经过测试的应用
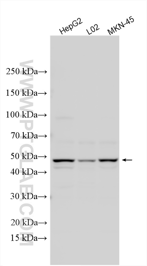
| Positive WB detected in | HepG2 cells, human testis tissue, mouse pancreas tissue, PC-3 cells, L02 cells, MKN-45 cells |
| Positive IHC detected in | mouse heart tissue, human heart tissue Note: suggested antigen retrieval with TE buffer pH 9.0; (*) Alternatively, antigen retrieval may be performed with citrate buffer pH 6.0 |
推荐稀释比
| 应用 | 推荐稀释比 |
|---|---|
| Western Blot (WB) | WB : 1:500-1:2000 |
| Immunohistochemistry (IHC) | IHC : 1:200-1:800 |
| It is recommended that this reagent should be titrated in each testing system to obtain optimal results. | |
| Sample-dependent, Check data in validation data gallery. | |
产品信息
19509-1-AP targets EDG7-Specific in WB, IHC, IF, ELISA applications and shows reactivity with human, mouse, rat samples.
| 经测试应用 | WB, IHC, ELISA Application Description |
| 文献引用应用 | WB, IHC, IF |
| 经测试反应性 | human, mouse, rat |
| 文献引用反应性 | human, mouse |
| 免疫原 |
Peptide 种属同源性预测 |
| 宿主/亚型 | Rabbit / IgG |
| 抗体类别 | Polyclonal |
| 产品类型 | Antibody |
| 全称 | lysophosphatidic acid receptor 3 |
| 别名 | LPAR3, Edg 7, EDG7, GPCR, HOFNH30 |
| 计算分子量 | 40 kDa |
| 观测分子量 | 40-50 kDa |
| GenBank蛋白编号 | NM_012152 |
| 基因名称 | LPAR3 |
| Gene ID (NCBI) | 23566 |
| RRID | AB_10641042 |
| 偶联类型 | Unconjugated |
| 形式 | Liquid |
| 纯化方式 | Antigen affinity purification |
| UNIPROT ID | Q9UBY5 |
| 储存缓冲液 | PBS with 0.02% sodium azide and 50% glycerol, pH 7.3. |
| 储存条件 | Store at -20°C. Stable for one year after shipment. Aliquoting is unnecessary for -20oC storage. |
背景介绍
LPAR3, also named EDG7 and LPA3, belongs to the G-protein coupled receptor 1 family. LPAR3 is a receptor for lysophosphatidic acid (LPA), a mediator of diverse cellular activities. LPAR3 may play a role in the development of ovarian cancer. Seems to be coupled to the G(i)/G(o) and G(q) families of heteromeric G proteins. The antibody is specific to LPAR3.
实验方案
| Product Specific Protocols | |
|---|---|
| IHC protocol for EDG7-Specific antibody 19509-1-AP | Download protocol |
| WB protocol for EDG7-Specific antibody 19509-1-AP | Download protocol |
| Standard Protocols | |
|---|---|
| Click here to view our Standard Protocols |
发表文章
| Species | Application | Title |
|---|---|---|
Comput Struct Biotechnol J Interrelations of Sphingolipid and Lysophosphatidate Signaling with Immune System in Ovarian Cancer. | ||
Pediatr Res Bronchopulmonary dysplasia demonstrates dysregulated autotaxin/lysophosphatidic acid signaling in a neonatal mouse model | ||
Nat Commun Time-series single-cell transcriptomic profiling of luteal-phase endometrium uncovers dynamic characteristics and its dysregulation in recurrent implantation failures |





