LOXL1 Recombinant monoclonal antibody

LOXL1 Uni-rAb® Recombinant Antibody for WB, IF/ICC, ELISA
Cat No. 86534-2-RR

产品说明书

CloneNo. 251345E7

宿主/亚型

Rabbit / IgG

种属反应性

human

应用

WB, IF/ICC, ELISA

EC:1.4.3.13, LOL, LOXL, LOXL 1, LOXL-1

缓冲液配方:  PBS, Azide, Glycerol
PBS, Azide, Glycerol
PBS Only
偶联物:  Unconjugated
Unconjugated
规格价格库存


经过测试的应用

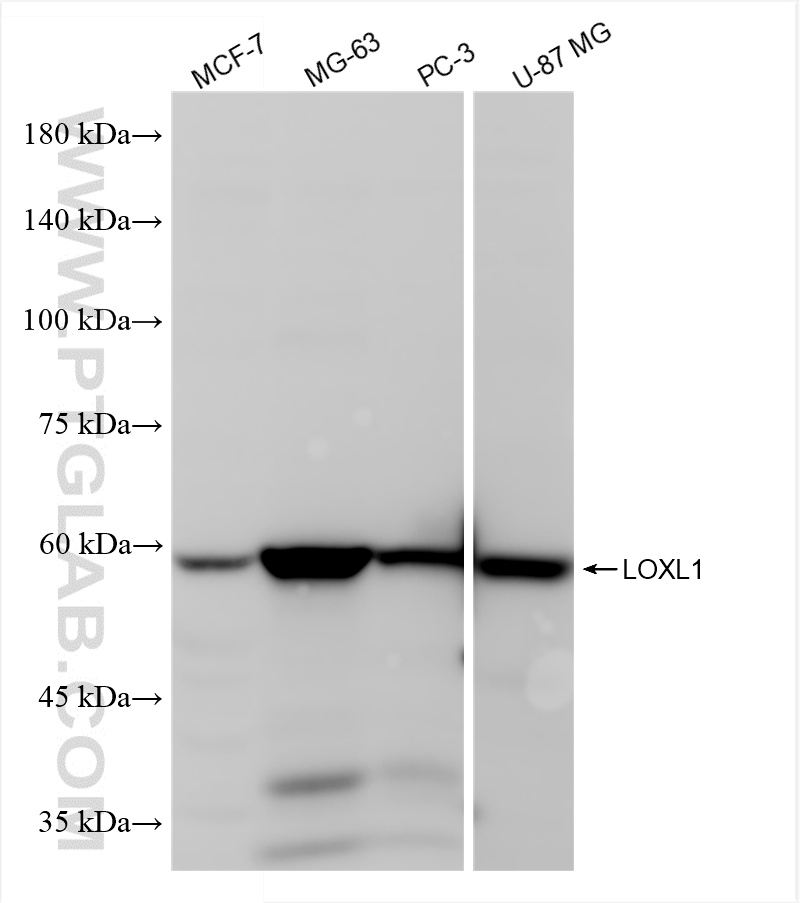
Positive WB detected inMCF-7 cells, MG-63 cells, PC-3 cells, U-87 MG cells
Positive IF/ICC detected inU-87 MG cells

推荐稀释比

应用推荐稀释比
Western Blot (WB)WB : 1:5000-1:50000
Immunofluorescence (IF)/ICCIF/ICC : 1:200-1:800
It is recommended that this reagent should be titrated in each testing system to obtain optimal results.
Sample-dependent, Check data in validation data gallery.

产品信息

86534-2-RR targets LOXL1 in WB, IF/ICC, ELISA applications and shows reactivity with human samples.

经测试应用 WB, IF/ICC, ELISA Application Description
经测试反应性 human
免疫原

CatNo: Ag24293

Product name: Recombinant human LOXL1 protein

Source: e coli.-derived, PET28a

Tag: 6*His

Domain: 283-366 aa of BC015090

Sequence: TPGFEQAYPDPGPEAAQAHGGDPRLGWYPPYANPPPEAYGPPRALEPPYLPVRSSDTPPPGGERNGAQQGRLSVGSVYRPNQNG

种属同源性预测
宿主/亚型 Rabbit / IgG
抗体类别 Recombinant
产品类型 Antibody
全称 lysyl oxidase-like 1
别名 EC:1.4.3.13, LOL, LOXL, LOXL 1, LOXL-1
计算分子量 63 kDa
观测分子量60-63 kDa
GenBank蛋白编号BC015090
基因名称 LOXL1
Gene ID (NCBI) 4016
偶联类型 Unconjugated
形式Liquid
纯化方式Protein A purification
UNIPROT IDQ08397
储存缓冲液 PBS with 0.02% sodium azide and 50% glycerol, pH 7.3.
储存条件Store at -20°C. Stable for one year after shipment. Aliquoting is unnecessary for -20oC storage.

背景介绍

Three LOXL1 variants are seen: a band of 64 kDa matching the predicted full-length form lacking the secretory signal peptide, a band of 67 kDa presumed to be the full-length form with the signal peptide, and a band of 36 kDa matching the cleavage product.

实验方案

Product Specific Protocols
IF protocol for LOXL1 antibody 86534-2-RRDownload protocol
WB protocol for LOXL1 antibody 86534-2-RRDownload protocol
Standard Protocols
Click here to view our Standard Protocols
Loading...
||
New chat Able
正在加载,请稍候...