验证数据展示
经过测试的应用
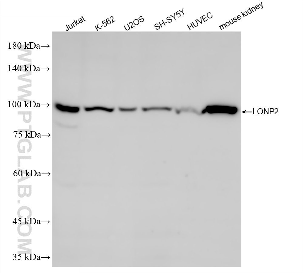
| Positive WB detected in | Jurkat cells, K-562 cells, U2OS cells, SH-SY5Y cells, HUVEC cells, mouse kidney tissue |
推荐稀释比
| 应用 | 推荐稀释比 |
|---|---|
| Western Blot (WB) | WB : 1:2000-1:10000 |
| It is recommended that this reagent should be titrated in each testing system to obtain optimal results. | |
| Sample-dependent, Check data in validation data gallery. | |
产品信息
86291-2-RR targets LONP2 in WB, ELISA applications and shows reactivity with human, mouse samples.
| 经测试应用 | WB, ELISA Application Description |
| 经测试反应性 | human, mouse |
| 免疫原 |
CatNo: Ag12650 Product name: Recombinant human LONP2 protein Source: e coli.-derived, PGEX-4T Tag: GST Domain: 503-852 aa of BC093910 Sequence: DRMEIIQVPGYTQEEKIEIAHRHLIPKQLEQHGLTPQQIQIPQVTTLDIITRYTREAGVRSLDRKLGAICRAVAVKVAEGQHKEAKLDRSDVTEREGCREHILEDEKPESISDTTDLALPPEMPILIDFHALKDILGPPMYEMEVSQRLSQPGVAIGLAWTPLGGEIMFVEASRMDGEGQLTLTGQLGDVMKESAHLAISWLRSNAKKYQLTNAFGSFDLLDNTDIHLHFPAGAVTKDGPSAGVTIVTCLASLFSGRLVRSDVAMTGEITLRGLVLPVGGIKDKVLAAHRAGLKQVIIPRRNEKDLEGIPGNVRQDLSFVTASCLDEVLNAAFDGGFTVKTRPGLLNSKL 种属同源性预测 |
| 宿主/亚型 | Rabbit / IgG |
| 抗体类别 | Recombinant |
| 产品类型 | Antibody |
| 全称 | lon peptidase 2, peroxisomal |
| 别名 | EC:3.4.21.53, Lon protease 2, Lon protease homolog 2, peroxisomal, Lon protease-like protein 2, LONP |
| 计算分子量 | 852 aa, 95 kDa |
| 观测分子量 | 95 kDa |
| GenBank蛋白编号 | BC093910 |
| 基因名称 | LONP2 |
| Gene ID (NCBI) | 83752 |
| 偶联类型 | Unconjugated |
| 形式 | Liquid |
| 纯化方式 | Protein A purification |
| UNIPROT ID | Q86WA8 |
| 储存缓冲液 | PBS with 0.02% sodium azide and 50% glycerol, pH 7.3. |
| 储存条件 | Store at -20°C. Stable for one year after shipment. Aliquoting is unnecessary for -20oC storage. |
背景介绍
LONP2 (Lon Peptidase 2, Peroxisomal) is an important ATP-dependent protease. It is primarily located in peroxisomes and is responsible for maintaining the proteostasis of this organelle. By degrading misfolded proteins and selectively regulating metabolic enzymes, LONP2 plays a central role in maintaining peroxisomal proteostasis and metabolic balance. Dysfunction of LONP2 is closely related to a variety of human diseases, including peroxisomal disorders, cancer, and neurodegenerative diseases.
实验方案
| Product Specific Protocols | |
|---|---|
| WB protocol for LONP2 antibody 86291-2-RR | Download protocol |
| Standard Protocols | |
|---|---|
| Click here to view our Standard Protocols |

