验证数据展示
经过测试的应用
| Positive WB detected in | HEK-293 cells, mouse brain tissue, human brain tissue, HeLa cells, HepG2 cells, Jurkat cells, MCF-7 cells, mouse heart tissue, mouse spleen tissue, rat heart tissue, rat spleen tissue |
| Positive IP detected in | HepG2 cells |
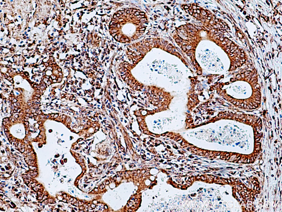
| Positive IHC detected in | human stomach cancer tissue Note: suggested antigen retrieval with TE buffer pH 9.0; (*) Alternatively, antigen retrieval may be performed with citrate buffer pH 6.0 |
| Positive IF/ICC detected in | A549 cells |
推荐稀释比
| 应用 | 推荐稀释比 |
|---|---|
| Western Blot (WB) | WB : 1:20000-1:100000 |
| Immunoprecipitation (IP) | IP : 0.5-4.0 ug for 1.0-3.0 mg of total protein lysate |
| Immunohistochemistry (IHC) | IHC : 1:50-1:500 |
| Immunofluorescence (IF)/ICC | IF/ICC : 1:200-1:800 |
| It is recommended that this reagent should be titrated in each testing system to obtain optimal results. | |
| Sample-dependent, Check data in validation data gallery. | |
产品信息
13364-1-AP targets ERGIC-53 in WB, IHC, IF/ICC, IP, ELISA applications and shows reactivity with human, mouse, rat samples.
| 经测试应用 | WB, IHC, IF/ICC, IP, ELISA Application Description |
| 文献引用应用 | WB, IHC, IF |
| 经测试反应性 | human, mouse, rat |
| 文献引用反应性 | human, mouse, rat, pig, monkey |
| 免疫原 |
CatNo: Ag4183 Product name: Recombinant human LMAN1 protein Source: e coli.-derived, PGEX-4T Tag: GST Domain: 35-401 aa of BC032330 Sequence: GDPAVALPHRRFEYKYSFKGPHLVQSDGTVPFWAHAGNAIPSSDQIRVAPSLKSQRGSVWTKTKAAFENWEVEVTFRVTGRGRIGADGLAIWYAENQGLEGPVFGSADLWNGVGIFFDSFDNDGKKNNPAIVIIGNNGQIHYDHQNDGASQALASCQRDFRNKPYPVRAKITYYQNTLTVMINNGFTPDKNDYEFCAKVENMIIPAQGHFGISAATGGLADDHDVLSFLTFQLTEPGKEPPTPDKEISEKEKEKYQEEFEHFQQELDKKKEEFQKGHPDLQGQPAEEIFESVGDRELRQVFEGQNRIHLEIKQLNRQLDMILDEQRRYVSSLTEEISKRGAGMPGQHGQITQQELDTVVKTQHEILR 种属同源性预测 |
| 宿主/亚型 | Rabbit / IgG |
| 抗体类别 | Polyclonal |
| 产品类型 | Antibody |
| 全称 | lectin, mannose-binding, 1 |
| 别名 | LMAN1, ERGIC 53, ER-Golgi intermediate compartment 53 kDa protein, F5F8D, FMFD1 |
| 计算分子量 | 510 aa, 54 kDa |
| 观测分子量 | 54 kDa |
| GenBank蛋白编号 | BC032330 |
| 基因名称 | ERGIC-53 |
| Gene ID (NCBI) | 3998 |
| RRID | AB_2135994 |
| 偶联类型 | Unconjugated |
| 形式 | Liquid |
| 纯化方式 | Antigen affinity purification |
| UNIPROT ID | P49257 |
| 储存缓冲液 | PBS with 0.02% sodium azide and 50% glycerol, pH 7.3. |
| 储存条件 | Store at -20°C. Stable for one year after shipment. Aliquoting is unnecessary for -20oC storage. |
背景介绍
ERGIC-53 (also known as LMAN1 or MR60) is a membrane mannose-specific lectin that selectively transports its cargo proteins from ER to ER-Golgi intermediate compartment (ERGIC) and Golgi, functioning as a cargo transport receptor for glycoproteins (PMID: 24664723; 10559958). Mutations in ERGIC-53 cause combined deficiency of coagulation factors V and VIII (PMID: 9546392).
实验方案
| Product Specific Protocols | |
|---|---|
| IF protocol for ERGIC-53 antibody 13364-1-AP | Download protocol |
| IHC protocol for ERGIC-53 antibody 13364-1-AP | Download protocol |
| IP protocol for ERGIC-53 antibody 13364-1-AP | Download protocol |
| WB protocol for ERGIC-53 antibody 13364-1-AP | Download protocol |
| Standard Protocols | |
|---|---|
| Click here to view our Standard Protocols |
发表文章
| Species | Application | Title |
|---|---|---|
Cell Metab TMEM41B acts as an ER scramblase required for lipoprotein biogenesis and lipid homeostasis. | ||
Cell Metab Receptor-Mediated ER Export of Lipoproteins Controls Lipid Homeostasis in Mice and Humans. | ||
Nat Cell Biol Manganese regulation of COPII condensation controls circulating lipid homeostasis | ||
Nat Commun ARF1 prevents aberrant type I interferon induction by regulating STING activation and recycling | ||
Nat Commun Improved secretion of glycoproteins using an N-glycan-restricted passport sequence tag recognized by cargo receptor. |









