验证数据展示
经过测试的应用
| Positive WB detected in | HepG2 cells, K-562 cells, MCF-7 cells |
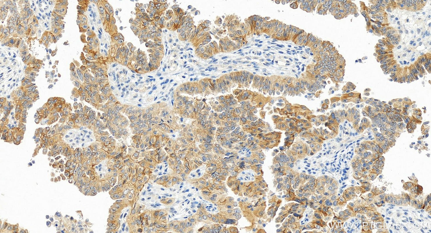
| Positive IHC detected in | human ovarian cancer Note: suggested antigen retrieval with TE buffer pH 9.0; (*) Alternatively, antigen retrieval may be performed with citrate buffer pH 6.0 |
| Positive IF/ICC detected in | HepG2 cells |
推荐稀释比
| 应用 | 推荐稀释比 |
|---|---|
| Western Blot (WB) | WB : 1:500-1:1000 |
| Immunohistochemistry (IHC) | IHC : 1:200-1:800 |
| Immunofluorescence (IF)/ICC | IF/ICC : 1:200-1:800 |
| It is recommended that this reagent should be titrated in each testing system to obtain optimal results. | |
| Sample-dependent, Check data in validation data gallery. | |
产品信息
15993-1-AP targets LLGL2 in WB, IHC, IF/ICC, ELISA applications and shows reactivity with human samples.
| 经测试应用 | WB, IHC, IF/ICC, ELISA Application Description |
| 经测试反应性 | human |
| 免疫原 |
CatNo: Ag8867 Product name: Recombinant human LLGL2 protein Source: e coli.-derived, PGEX-4T Tag: GST Domain: 1-356 aa of BC010879 Sequence: MRRFLRPGHDPVRERLKRDLFQFNKTVEHGFPHQPSALGYSPSLRILAIGTRSGAIKLYGAPGVEFMGLHQENNAVTQIHLLPGQCQLVTLLDDNSLHLWSLKVKGGASELQEDESFTLRGPPGAAPSATQITVVLPHSSCELLYLGTESGNVFVVQLPAFRALEDRTISSDAVLQRLPEEARHRRVFEMVEALQEHPRDPNQILIGYSRGLVVIWDLQGSRVLYHFLSSQQLENIWWQRDGRLLVSCHSDGSYCQWPVSSEAQQPEPLRSLVPYGPFPCKAITRILWLTTRQGLPFTIFQGGMPRASYGDRHCISVIHDGQQTAFDFTSRVIGFTVLTEADPAASRRASGVGAQG 种属同源性预测 |
| 宿主/亚型 | Rabbit / IgG |
| 抗体类别 | Polyclonal |
| 产品类型 | Antibody |
| 全称 | lethal giant larvae homolog 2 (Drosophila) |
| 别名 | HGL, Lethal(2) giant larvae protein homolog 2, LLGL scribble cell polarity complex component 2 |
| 计算分子量 | 356aa,40 kDa; 1020aa,113 kDa |
| 观测分子量 | 113-120 kDa |
| GenBank蛋白编号 | BC010879 |
| 基因名称 | LLGL2 |
| Gene ID (NCBI) | 3993 |
| RRID | AB_3085478 |
| 偶联类型 | Unconjugated |
| 形式 | Liquid |
| 纯化方式 | Antigen affinity purification |
| UNIPROT ID | Q6P1M3 |
| 储存缓冲液 | PBS with 0.02% sodium azide and 50% glycerol, pH 7.3. |
| 储存条件 | Store at -20°C. Stable for one year after shipment. Aliquoting is unnecessary for -20oC storage. |
背景介绍
Lethal giant larvae (Lgl) is a scaffolding protein that regulates the establishment of apical-basal polarity in epithelial cells. The human homologs of Lgl are known as LLGL1 and LLGL2. LLGL1 is a tumor suppressor in multiple human cancers, including hepatocellular carcinoma, malignant melanoma, and colorectal cancer (PMID: 34178676; 15735678; 16170365). LLGL2 functions as a promoter of tumor growth and not as a tumor suppressor in ER+ breast cancer (PMID: 30996345).
实验方案
| Product Specific Protocols | |
|---|---|
| IF protocol for LLGL2 antibody 15993-1-AP | Download protocol |
| IHC protocol for LLGL2 antibody 15993-1-AP | Download protocol |
| WB protocol for LLGL2 antibody 15993-1-AP | Download protocol |
| Standard Protocols | |
|---|---|
| Click here to view our Standard Protocols |


