验证数据展示
经过测试的应用
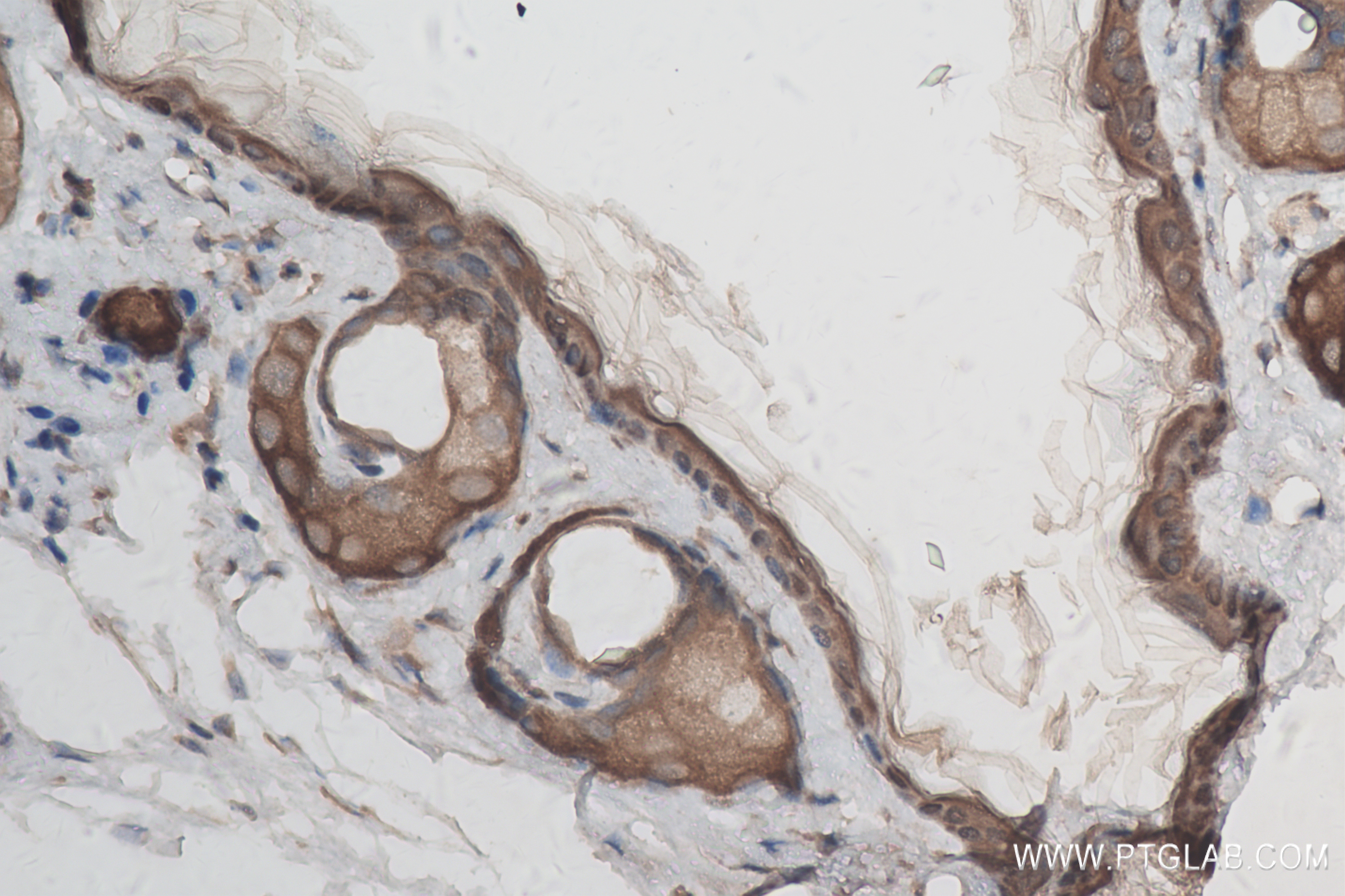
| Positive IHC detected in | mouse skin tissue Note: suggested antigen retrieval with TE buffer pH 9.0; (*) Alternatively, antigen retrieval may be performed with citrate buffer pH 6.0 |
推荐稀释比
| 应用 | 推荐稀释比 |
|---|---|
| Immunohistochemistry (IHC) | IHC : 1:250-1:1000 |
| It is recommended that this reagent should be titrated in each testing system to obtain optimal results. | |
| Sample-dependent, Check data in validation data gallery. | |
产品信息
84638-1-RR targets LIPM in IHC, ELISA applications and shows reactivity with human, mouse samples.
| 经测试应用 | IHC, ELISA Application Description |
| 经测试反应性 | human, mouse |
| 免疫原 |
Peptide 种属同源性预测 |
| 宿主/亚型 | Rabbit / IgG |
| 抗体类别 | Recombinant |
| 产品类型 | Antibody |
| 全称 | lipase, family member M |
| 别名 | LIPL3, Lipase-like abhydrolase domain-containing protein 3, EC:3.1.1.-, 241355C6 |
| 计算分子量 | 48 kDa |
| GenBank蛋白编号 | BC157888 |
| 基因名称 | LIPM |
| Gene ID (NCBI) | 340654 |
| RRID | AB_3672097 |
| 偶联类型 | Unconjugated |
| 形式 | Liquid |
| 纯化方式 | Protein A purfication |
| UNIPROT ID | Q5VYY2 |
| 储存缓冲液 | PBS with 0.02% sodium azide and 50% glycerol, pH 7.3. |
| 储存条件 | Store at -20°C. Stable for one year after shipment. Aliquoting is unnecessary for -20oC storage. |
背景介绍
LIPM, also named as LIPL3, belongs to the AB hydrolase superfamily and Lipase family. LIPM plays a highly specific role in the last step of keratinocyte differentiation. LIPM may have an essential function in lipid metabolism of the most differentiated epidermal layers.
实验方案
| Product Specific Protocols | |
|---|---|
| IHC protocol for LIPM antibody 84638-1-RR | Download protocol |
| Standard Protocols | |
|---|---|
| Click here to view our Standard Protocols |
