验证数据展示
经过测试的应用
| Positive WB detected in | NIH/3T3 cells |
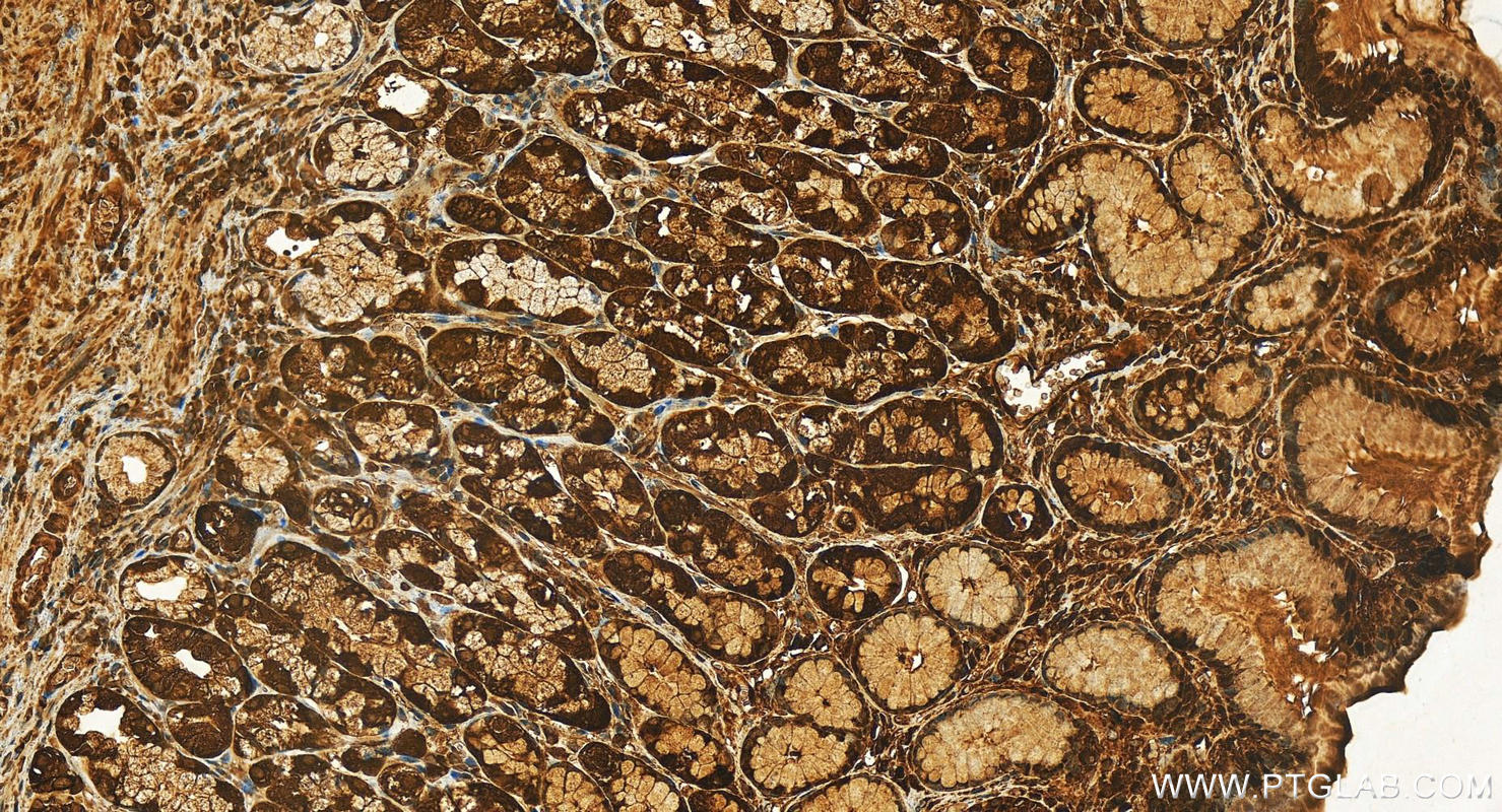
| Positive IHC detected in | human stomach tissue Note: suggested antigen retrieval with TE buffer pH 9.0; (*) Alternatively, antigen retrieval may be performed with citrate buffer pH 6.0 |
推荐稀释比
| 应用 | 推荐稀释比 |
|---|---|
| Western Blot (WB) | WB : 1:500-1:1000 |
| Immunohistochemistry (IHC) | IHC : 1:50-1:500 |
| It is recommended that this reagent should be titrated in each testing system to obtain optimal results. | |
| Sample-dependent, Check data in validation data gallery. | |
产品信息
12350-1-AP targets LIMK2 in WB, IHC, IF, ELISA applications and shows reactivity with human, mouse, rat samples.
| 经测试应用 | WB, IHC, ELISA Application Description |
| 文献引用应用 | WB, IHC, IF |
| 经测试反应性 | human, mouse, rat |
| 文献引用反应性 | human, mouse, rat |
| 免疫原 |
CatNo: Ag3011 Product name: Recombinant human LIMK2 protein Source: e coli.-derived, T-HIS Tag: 6*His Domain: 379-686 aa of BC013051 Sequence: KLNLLTEYIEGGTLKDFLRSMDPFPWQQKVRFAKGIASGMAYLHSMCIIHRDLNSHNCLIKLDKTVVVADFGLSRLIVEERKRAPMEKATTKKRTLRKNDRKKRYTVVGNPYWMAPEMLNGKSYDETVDIFSFGIVLCEIIGQVYADPDCLPRTLDFGLNVKLFWEKFVPTDCPPAFFPLAAICCRLEPESRAPPGAAGEGPGCADDEGPVRRQGKVTIKYDPKELRKHLNLEEWILEQLTRLYDCQEEEISELEIDVDELLDMESDDAWASRVKELLVDCYKPTEAFISGLLDKIRAMQKLSTPQKK 种属同源性预测 |
| 宿主/亚型 | Rabbit / IgG |
| 抗体类别 | Polyclonal |
| 产品类型 | Antibody |
| 全称 | LIM domain kinase 2 |
| 别名 | LIMK-2, LIMK 2, LIM domain kinase 2, EC:2.7.11.1 |
| 计算分子量 | 686 aa, 78 kDa |
| 观测分子量 | 70-80 kDa |
| GenBank蛋白编号 | BC013051 |
| 基因名称 | LIMK2 |
| Gene ID (NCBI) | 3985 |
| RRID | AB_2137094 |
| 偶联类型 | Unconjugated |
| 形式 | Liquid |
| 纯化方式 | Antigen affinity purification |
| UNIPROT ID | P53671 |
| 储存缓冲液 | PBS with 0.02% sodium azide and 50% glycerol, pH 7.3. |
| 储存条件 | Store at -20°C. Stable for one year after shipment. Aliquoting is unnecessary for -20oC storage. |
背景介绍
The family of LIM kinase (LIMK) includes two similar proteins, LIMK1 and LIMK2, that share overall identity of 53% with 75%, 55%, and 42% amino acid identity in the LIM, kinase, and PDZ domains, respectively. LIMK2 regulates actin cytoskeletal reorganization through phosphorylating and inactivating cofilin, an actin-depolymerizing factor of actin filaments. It also may associate with gamma-tubulin and play a role in mitotic spindle assembly. High levels of LIMK2 are evident in uterus, thymus, and spleen whereas lower levels are observed in brain, heart, liver, stomach, skeletal muscle, and testes according to the results of western blotting(PMID:16399995). It has 3 isoforms produced by alternative splicing of the molecular weight of 70-78 kDa. It can be detected a band of 47 kDa or 50-55 kDa in the testes because the antibody is recognizing the testis-specific variant of LIMK2 and the this difference could be due to species variation(PMID:17928627).
实验方案
| Product Specific Protocols | |
|---|---|
| IHC protocol for LIMK2 antibody 12350-1-AP | Download protocol |
| WB protocol for LIMK2 antibody 12350-1-AP | Download protocol |
| Standard Protocols | |
|---|---|
| Click here to view our Standard Protocols |
发表文章
| Species | Application | Title |
|---|---|---|
Adv Healthc Mater Modification of PLGA Scaffold by MSC-Derived Extracellular Matrix Combats Macrophage Inflammation to Initiate Bone Regeneration via TGF-β-Induced Protein. | ||
J Cachexia Sarcopenia Muscle RhoA/ROCK2 signalling is enhanced by PDGF-AA in fibro-adipogenic progenitor cells: implications for Duchenne muscular dystrophy. | ||
Theranostics NUDT21 inhibits bladder cancer progression through ANXA2 and LIMK2 by alternative polyadenylation. | ||
Cell Death Dis Imbalanced LIMK1 and LIMK2 expression leads to human colorectal cancer progression and metastasis via promoting β-catenin nuclear translocation. | ||
PLoS One ECM-dependent HIF induction directs trophoblast stem cell fate via LIMK1-mediated cytoskeletal rearrangement. | ||
Mol Biotechnol Stratifin (SFN) Regulates Cervical Cancer Cell Proliferation, Apoptosis, and Cytoskeletal Remodeling and Metastasis Progression Through LIMK2/Cofilin Signaling |

