验证数据展示
经过测试的应用
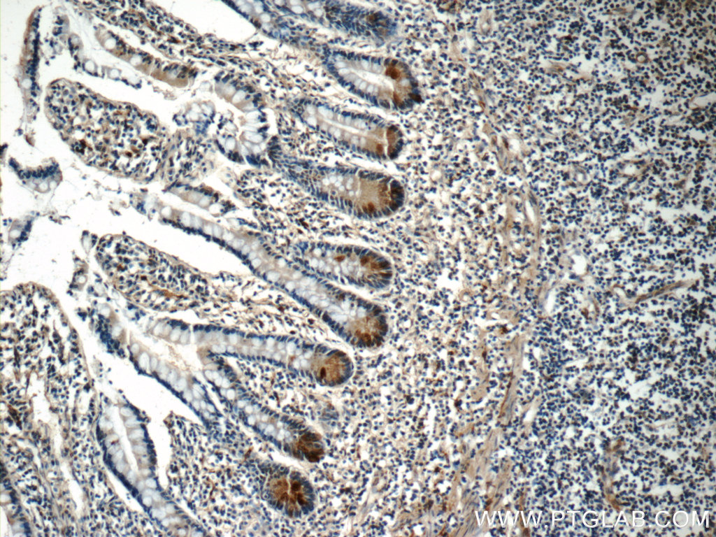
| Positive IHC detected in | human placenta tissue, human small intestine tissue Note: suggested antigen retrieval with TE buffer pH 9.0; (*) Alternatively, antigen retrieval may be performed with citrate buffer pH 6.0 |
推荐稀释比
| 应用 | 推荐稀释比 |
|---|---|
| Immunohistochemistry (IHC) | IHC : 1:20-1:200 |
| It is recommended that this reagent should be titrated in each testing system to obtain optimal results. | |
| Sample-dependent, Check data in validation data gallery. | |
发表文章中的应用
| KD/KO | See 2 publications below |
| WB | See 5 publications below |
| IHC | See 2 publications below |
产品信息
17180-1-AP targets LETM2 in WB, IHC, ELISA applications and shows reactivity with human samples.
| 经测试应用 | IHC, ELISA Application Description |
| 文献引用应用 | WB, IHC |
| 经测试反应性 | human |
| 文献引用反应性 | human |
| 免疫原 |
CatNo: Ag10900 Product name: Recombinant human LETM2 protein Source: e coli.-derived, PGEX-4T Tag: GST Domain: 1-277 aa of BC029541 Sequence: MEEKQKKKMAVKLELAKFLQETMTEMARRNRAKMGDASTQLSSYVKQVQTGHKPSTKEIVRFSKLFEDQLALEHLDRPQLVALCKLLELQTFGTNNLLRFQLLMKLKSIKADDEIIAKEGVTALSVSELQAACRARGMRSLGLTEEQLRQQLTEWQDLHLKENVPPSLLLLSRTFYLIDVKPKPIEIPLSGEAPKTDILVELPTFTESKENMVDLAPQLKGTKDEDFIQPPPVTSSPITPSTPISLPKGPITSSEEPTLQAKSQMTAQNSKASSKGA 种属同源性预测 |
| 宿主/亚型 | Rabbit / IgG |
| 抗体类别 | Polyclonal |
| 产品类型 | Antibody |
| 全称 | leucine zipper-EF-hand containing transmembrane protein 2 |
| 别名 | LETM1 and EF-hand domain-containing protein 2, LETM1 domain-containing protein LETM2, mitochondrial, Leucine zipper-EF-hand-containing transmembrane protein 1-like |
| 计算分子量 | 277 aa, 31 kDa |
| GenBank蛋白编号 | BC029541 |
| 基因名称 | LETM2 |
| Gene ID (NCBI) | 137994 |
| RRID | AB_2571737 |
| 偶联类型 | Unconjugated |
| 形式 | Liquid |
| 纯化方式 | Antigen affinity purification |
| UNIPROT ID | Q2VYF4 |
| 储存缓冲液 | PBS with 0.02% sodium azide and 50% glycerol, pH 7.3. |
| 储存条件 | Store at -20°C. Stable for one year after shipment. Aliquoting is unnecessary for -20oC storage. |
实验方案
| Product Specific Protocols | |
|---|---|
| IHC protocol for LETM2 antibody 17180-1-AP | Download protocol |
| Standard Protocols | |
|---|---|
| Click here to view our Standard Protocols |
发表文章
| Species | Application | Title |
|---|---|---|
Am J Hum Genet Whole-Genome Sequencing Reveals Diverse Models of Structural Variations in Esophageal Squamous Cell Carcinoma.
| ||
J Transl Med Integrated multi-omics analysis and machine learning developed a prognostic model based on mitochondrial function in a large multicenter cohort for Gastric Cancer | ||
J Mol Med (Berl) Hyper-SUMOylation of SMN induced by SENP2 deficiency decreases its stability and leads to spinal muscular atrophy-like pathology. | ||
Cancers (Basel) A LETM2-Regulated PI3K-Akt Signaling Axis Reveals a Prognostic and Therapeutic Target in Pancreatic Cancer | ||
Funct Integr Genomics LETM2 regulates mitochondrial function and autophagy in diabetic foot ulcers: implications for oxidative stress and therapeutic targeting.
|



