验证数据展示
经过测试的应用
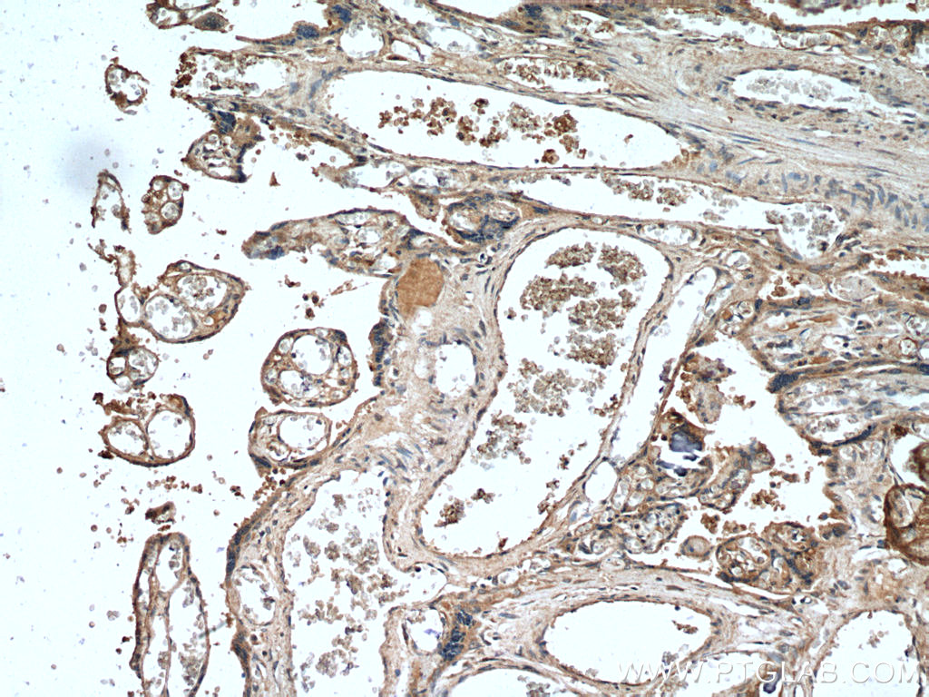
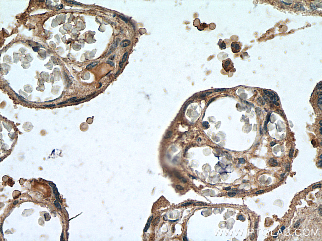
| Positive IHC detected in | human stomach tissue, human liver tissue, human ovary tissue, human placenta tissue, human testis tissue, mouse ovary tissue, mouse brain tissue, human breast cancer tissue Note: suggested antigen retrieval with TE buffer pH 9.0; (*) Alternatively, antigen retrieval may be performed with citrate buffer pH 6.0 |
| Positive IF/ICC detected in | HeLa cells, NIH/3T3 cells |
推荐稀释比
| 应用 | 推荐稀释比 |
|---|---|
| Immunohistochemistry (IHC) | IHC : 1:200-1:800 |
| Immunofluorescence (IF)/ICC | IF/ICC : 1:50-1:500 |
| It is recommended that this reagent should be titrated in each testing system to obtain optimal results. | |
| Sample-dependent, Check data in validation data gallery. | |
发表文章中的应用
| IHC | See 5 publications below |
产品信息
17436-1-AP targets Leptin in IHC, IF/ICC, ELISA applications and shows reactivity with human, mouse samples.
| 经测试应用 | IHC, IF/ICC, ELISA Application Description |
| 文献引用应用 | IHC |
| 经测试反应性 | human, mouse |
| 文献引用反应性 | human, mouse, goat |
| 免疫原 |
CatNo: Ag11507 Product name: Recombinant human LEP protein Source: e coli.-derived, PGEX-4T Tag: GST Domain: 1-167 aa of BC060830 Sequence: MHWGTLCGFLWLWPYLFYVQAVPIQKVQDDTKTLIKTIVTRINDISHTQSVSSKQKVTGLDFIPGLHPILTLSKMDQTLAVYQQILTSMPSRNVIQISNDLENLRDLLHVLAFSKSCHLPWASGLETLDSLGGVLEASGYSTEVVALSRLQGSLQDMLWQLDLSPGC 种属同源性预测 |
| 宿主/亚型 | Rabbit / IgG |
| 抗体类别 | Polyclonal |
| 产品类型 | Antibody |
| 全称 | leptin |
| 别名 | LEP, leptin, OB, Obese protein, Obesity factor, OBS |
| 计算分子量 | 167 aa, 19 kDa |
| GenBank蛋白编号 | BC060830 |
| 基因名称 | Leptin |
| Gene ID (NCBI) | 3952 |
| RRID | AB_2265702 |
| 偶联类型 | Unconjugated |
| 形式 | Liquid |
| 纯化方式 | Antigen affinity purification |
| UNIPROT ID | P41159 |
| 储存缓冲液 | PBS with 0.02% sodium azide and 50% glycerol, pH 7.3. |
| 储存条件 | Store at -20°C. Stable for one year after shipment. Aliquoting is unnecessary for -20oC storage. |
背景介绍
Leptin is a protein that is secreted by white adipocytes, and which plays a major role in the regulation of body weight. Leptin is the most critical hormone in the homeostatic regulation of energy balance among those so far discovered. Leptin primarily acts on the neurons of the mediobasal part of hypothalamus to regulate food intake, thermogenesis, and the blood glucose level. Leptin also has several endocrine functions, and is involved in the regulation of immune and inflammatory responses, hematopoiesis, angiogenesis and wound healing. Mutations in this gene and/or its regulatory regions cause severe obesity, and morbid obesity with hypogonadism. Leptin has also been linked to type 2 diabetes mellitus development.
实验方案
| Product Specific Protocols | |
|---|---|
| IHC protocol for Leptin antibody 17436-1-AP | Download protocol |
| IF protocol for Leptin antibody 17436-1-AP | Download protocol |
| Standard Protocols | |
|---|---|
| Click here to view our Standard Protocols |
发表文章
| Species | Application | Title |
|---|---|---|
Biomedicines Leptin, Leptin Receptor, KHDRBS1 (KH RNA Binding Domain Containing, Signal Transduction Associated 1), and Adiponectin in Bone Metastasis from Breast Carcinoma: An Immunohistochemical Study. | ||
Mol Immunol Inflammatory arthritis increases the susceptibility to acute immune-mediated hepatitis in mice through enhancing leptin expression in T cells | ||
Cell Death Discov Molecular mechanism underlying miR-204-5p regulation of adipose-derived stem cells differentiation into cells from three germ layers | ||
Biomed Res Int Polydatin Inhibits Adipose Tissue Inflammation and Ameliorates Lipid Metabolism in High-Fat-Fed Mice. | ||
J Immunol Leptin Promotes Monosodium Urate Crystal-Induced Inflammation in Human and Murine Models of Gout. | ||
Oncoimmunology Leptin decreases Th17/Treg ratio to facilitate neuroblastoma via inhibiting long-chain fatty acid catabolism in tumor cells |





















