验证数据展示
经过测试的应用
| Positive WB detected in | HeLa cells, Y79 cells |
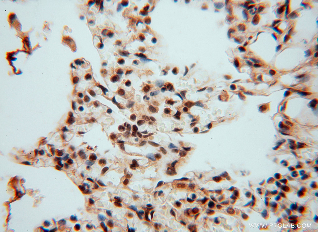
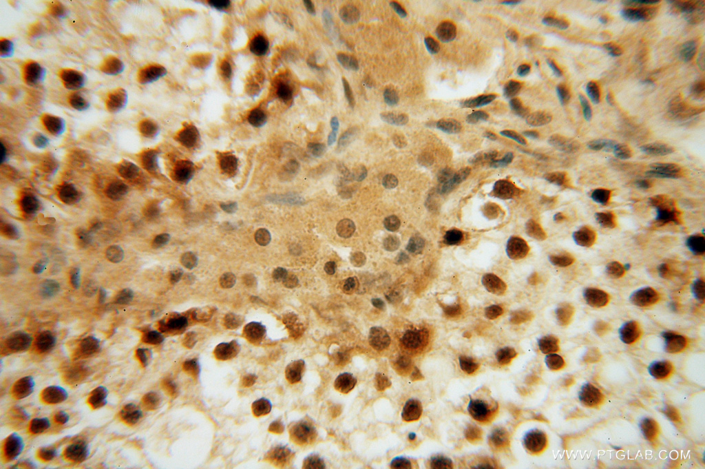
| Positive IHC detected in | human kidney tissue, human brain tissue, human heart tissue, human liver tissue, human lung tissue, human placenta tissue, human skin tissue, human spleen tissue, human testis tissue Note: suggested antigen retrieval with TE buffer pH 9.0; (*) Alternatively, antigen retrieval may be performed with citrate buffer pH 6.0 |
| Positive IF/ICC detected in | HeLa cells, MCF-7 cells |
推荐稀释比
| 应用 | 推荐稀释比 |
|---|---|
| Western Blot (WB) | WB : 1:500-1:2000 |
| Immunohistochemistry (IHC) | IHC : 1:20-1:200 |
| Immunofluorescence (IF)/ICC | IF/ICC : 1:200-1:800 |
| It is recommended that this reagent should be titrated in each testing system to obtain optimal results. | |
| Sample-dependent, Check data in validation data gallery. | |
发表文章中的应用
| WB | See 1 publications below |
产品信息
16295-1-AP targets LENG9 in WB, IHC, IF/ICC, ELISA applications and shows reactivity with human samples.
| 经测试应用 | WB, IHC, IF/ICC, ELISA Application Description |
| 文献引用应用 | WB |
| 经测试反应性 | human |
| 文献引用反应性 | human |
| 免疫原 |
CatNo: Ag9481 Product name: Recombinant human LENG9 protein Source: e coli.-derived, PGEX-4T Tag: GST Domain: 130-479 aa of BC015921 Sequence: FHGRLVWDRASRTDLVFGSGSAAGRGPTILDAPNTEGAHGAEGAEWTLAGTGQEAQAAPKRGSTRPLCTGHQEPGVEEPGELEAAQERALGTAADLGTLAPRGRLAGVTEEALKPTAATRTTLLGGKEAQALGVPGGSAETTEAEWGPAAWPEDKRARLSVAAPCQPRPTHFVALMVTEPGLQAEVTKAQEYLVHVAPHCANFLVPSQNLHLTLALLRLAGAGEEAAAIGALRRALLAPGLNAPPRLSFRKLVLLGPHVLCAPPSPTLESMAQVLSQRLEAEGLSTLQSPGQLHPHLTVAKVPHGSQVHLPKLEFTLSQEVGCQPLQTLWLCRIGRTGGPFQPLAEIRLE 种属同源性预测 |
| 宿主/亚型 | Rabbit / IgG |
| 抗体类别 | Polyclonal |
| 产品类型 | Antibody |
| 全称 | leukocyte receptor cluster (LRC) member 9 |
| 别名 | |
| 计算分子量 | 501 aa, 53 kDa |
| 观测分子量 | 54-60 kDa |
| GenBank蛋白编号 | BC015921 |
| 基因名称 | LENG9 |
| Gene ID (NCBI) | 94059 |
| RRID | AB_2296934 |
| 偶联类型 | Unconjugated |
| 形式 | Liquid |
| 纯化方式 | Antigen affinity purification |
| UNIPROT ID | Q96B70 |
| 储存缓冲液 | PBS with 0.02% sodium azide and 50% glycerol, pH 7.3. |
| 储存条件 | Store at -20°C. Stable for one year after shipment. Aliquoting is unnecessary for -20oC storage. |
背景介绍
LENG9 is rarely reported in the literature. GO function analysis revealed that the molecular function of LENG9 is metal ion binding (GO:0046872), and the BioGRID database showed that LENG9 has 6 interactors, including C9ORF41, B4GALT2, CDC5L, D2HGDH, FOXS1 and OGT. Studies have shown that LENG9 may play an oncogenic role in tumor pathogenesis by promoting tumor cell proliferation, migration, and invasion. (PMID: 35538075)
实验方案
| Product Specific Protocols | |
|---|---|
| IF protocol for LENG9 antibody 16295-1-AP | Download protocol |
| IHC protocol for LENG9 antibody 16295-1-AP | Download protocol |
| WB protocol for LENG9 antibody 16295-1-AP | Download protocol |
| Standard Protocols | |
|---|---|
| Click here to view our Standard Protocols |





















