验证数据展示
产品信息
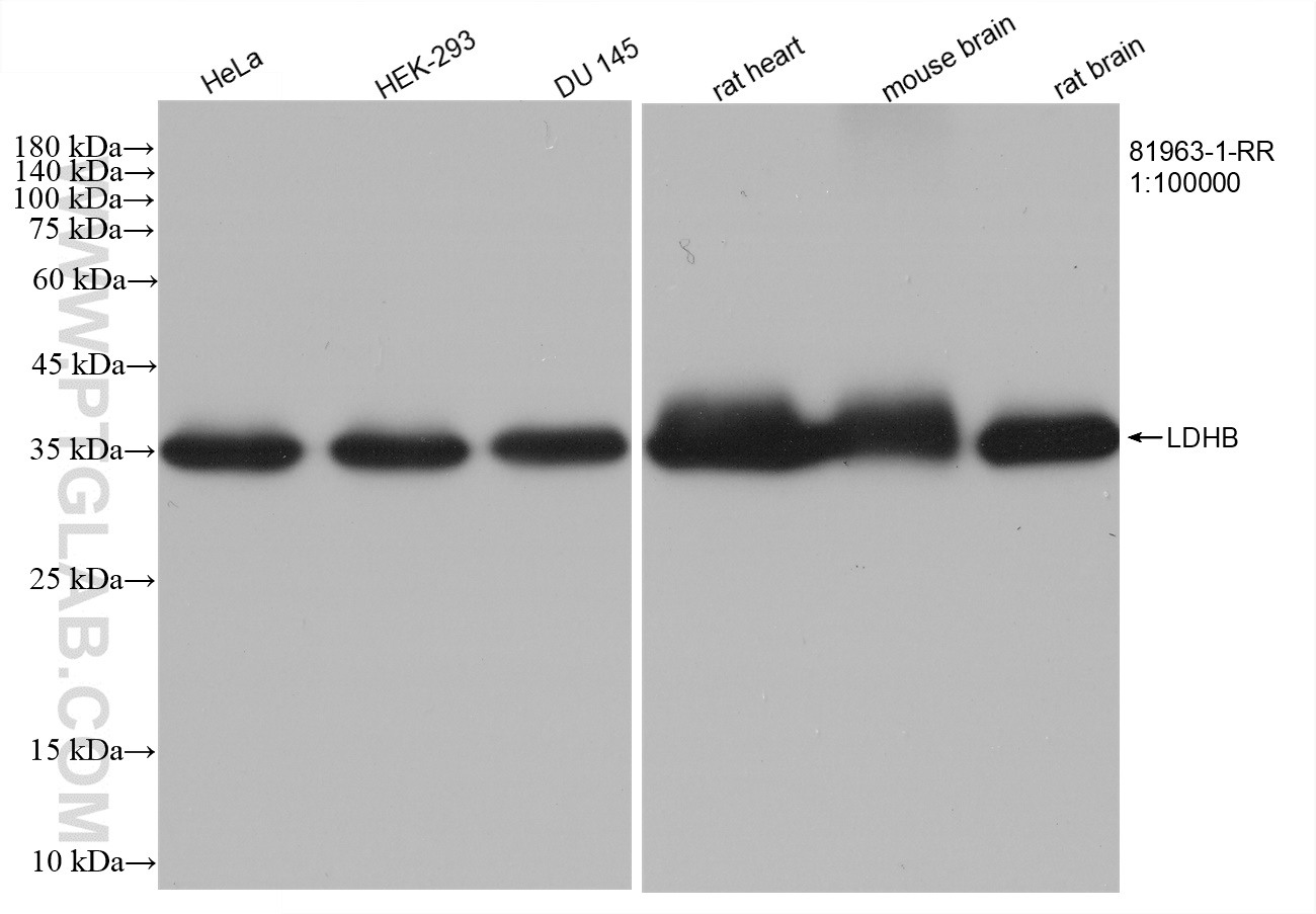
81963-1-PBS targets LDHB in WB, IF/ICC, FC (Intra), IP, Indirect ELISA applications and shows reactivity with human, mouse, rat samples.
| 经测试应用 | WB, IF/ICC, FC (Intra), IP, Indirect ELISA Application Description |
| 经测试反应性 | human, mouse, rat |
| 免疫原 |
CatNo: Ag6605 Product name: Recombinant human LDHB protein Source: e coli.-derived, PET28a Tag: 6*His Domain: 1-334 aa of BC002362 Sequence: MATLKEKLIAPVAEEEATVPNNKITVVGVGQVGMACAISILGKSLADELALVDVLEDKLKGEMMDLQHGSLFLQTPKIVADKDYSVTANSKIVVVTAGVRQQEGESRLNLVQRNVNVFKFIIPQIVKYSPDCIIIVVSNPVDILTYVTWKLSGLPKHRVIGSGCNLDSARFRYLMAEKLGIHPSSCHGWILGEHGDSSVAVWSGVNVAGVSLQELNPEMGTDNDSENWKEVHKMVVESAYEVIKLKGYTNWAIGLSVADLIESMLKNLSRIHPVSTMVKGMYGIENEVFLSLPCILNARGLTSVINQKLKDDEVAQLKKSADTLWDIQKDLKDL 种属同源性预测 |
| 宿主/亚型 | Rabbit / IgG |
| 抗体类别 | Recombinant |
| 产品类型 | Antibody |
| 全称 | lactate dehydrogenase B |
| 别名 | lactate dehydrogenase B, EC:1.1.1.27, LDH, LDH B, LDH H |
| 计算分子量 | 36 kDa |
| 观测分子量 | 35 kDa |
| GenBank蛋白编号 | BC002362 |
| 基因名称 | LDHB |
| Gene ID (NCBI) | 3945 |
| 偶联类型 | Unconjugated |
| 形式 | Liquid |
| 纯化方式 | Protein A purification |
| UNIPROT ID | P07195 |
| 储存缓冲液 | PBS only, pH 7.3. |
| 储存条件 | Store at -80°C. The product is shipped with ice packs. Upon receipt, store it immediately at -80°C |
背景介绍
LDHB, also named as LDH-H and NY-REN-46, belongs to the LDH/MDH superfamily. And LDH family. It is an enzyme which catalyzes the reversible conversion of pyruvate and NADH to lactate and NAD+ in the glycolytic pathway. LDH comprises LDHA and LDHB, two subunits that are encoded by independent genes. In muscle or liver, most of the LDH is composed of four LDHA subunits, and preferably catalyzes the reduction of pyruvate to lactate. In heart and brain, LDH is mainly composed of four LDHB subunits, and predominantly catalyzes the oxidation of lactate to pyruvate. In other tissues, LDH is composed of both LDHA and LDHB. (PMID: 26269128, 31804482)



