验证数据展示
经过测试的应用
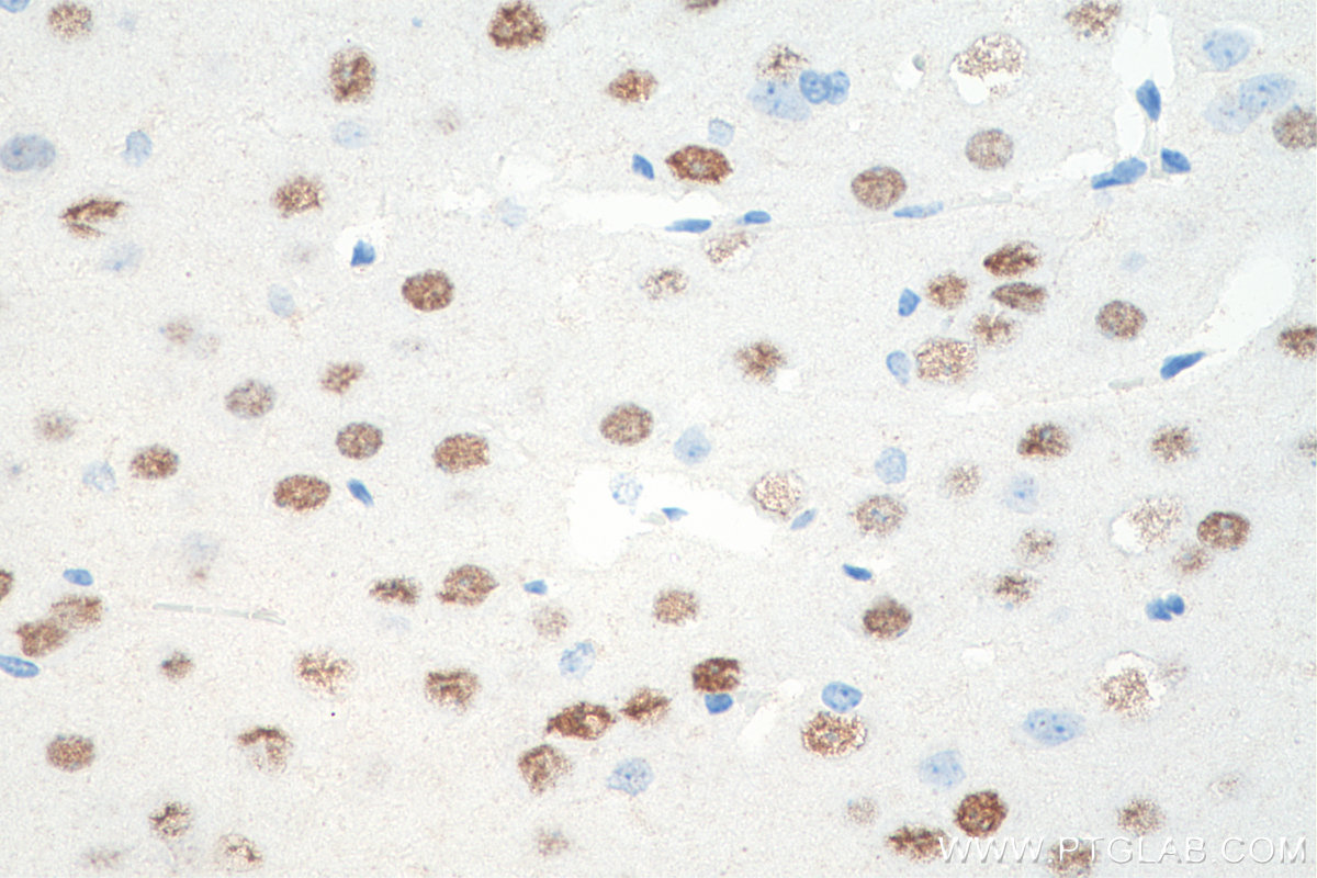
| Positive IHC detected in | rat brain tissue, mouse brain tissue Note: suggested antigen retrieval with TE buffer pH 9.0; (*) Alternatively, antigen retrieval may be performed with citrate buffer pH 6.0 |
推荐稀释比
| 应用 | 推荐稀释比 |
|---|---|
| Immunohistochemistry (IHC) | IHC : 1:50-1:500 |
| It is recommended that this reagent should be titrated in each testing system to obtain optimal results. | |
| Sample-dependent, Check data in validation data gallery. | |
发表文章中的应用
| IF | See 2 publications below |
产品信息
11873-1-AP targets LDB2 in IHC, IF, ELISA applications and shows reactivity with human, mouse, rat samples.
| 经测试应用 | IHC, ELISA Application Description |
| 文献引用应用 | IF |
| 经测试反应性 | human, mouse, rat |
| 文献引用反应性 | human, mouse |
| 免疫原 |
CatNo: Ag2460 Product name: Recombinant human LDB2 protein Source: e coli.-derived, PGEX-4T Tag: GST Domain: 1-373 aa of BC034019 Sequence: MSSTPHDPFYSSPFGPFYRRHTPYMVQPEYRIYEMNKRLQSRTEDSDNLWWDAFATEFFEDDATLTLSFCLEDGPKRYTIGRTLIPRYFSTVFEGGVTDLYYILKHSKESYHNSSITVDCDQCTMVTQHGKPMFTKVCTEGRLILEFTFDDLMRIKTWHFTIRQYRELVPRSILAMHAQDPQVLDQLSKNITRMGLTNFTLNYLRLCVILEPMQELMSRHKTYNLSPRDCLKTCLFQKWQRMVAPPAEPTRQPTTKRRKRKNSTSSTSNSSAGNNANSTGSKKKTTAANLSLSSQVPDVMVVGEPTLMGGEFGDEDERLITRLENTQYDAANGMDDEEDFNNSPALGNNSPWNSKPPATQETKSENPPPQASQ 种属同源性预测 |
| 宿主/亚型 | Rabbit / IgG |
| 抗体类别 | Polyclonal |
| 产品类型 | Antibody |
| 全称 | LIM domain binding 2 |
| 别名 | CLIM 1, CLIM1, LDB 2, LDB1, LDB2, LIM domain binding 2, LIM domain binding protein 2 |
| 计算分子量 | 42 kDa |
| GenBank蛋白编号 | BC034019 |
| 基因名称 | LDB2 |
| Gene ID (NCBI) | 9079 |
| RRID | AB_2833068 |
| 偶联类型 | Unconjugated |
| 形式 | Liquid |
| 纯化方式 | Antigen affinity purification |
| UNIPROT ID | O43679 |
| 储存缓冲液 | PBS with 0.02% sodium azide and 50% glycerol, pH 7.3. |
| 储存条件 | Store at -20°C. Stable for one year after shipment. Aliquoting is unnecessary for -20oC storage. |
实验方案
| Product Specific Protocols | |
|---|---|
| IHC protocol for LDB2 antibody 11873-1-AP | Download protocol |
| Standard Protocols | |
|---|---|
| Click here to view our Standard Protocols |
发表文章
| Species | Application | Title |
|---|---|---|
Circ Heart Fail Overexpression of ATP5F1A in Cardiomyocytes Promotes Cardiac Reverse Remodeling |



