验证数据展示
经过测试的应用
| Positive WB detected in | HT-29 cells |
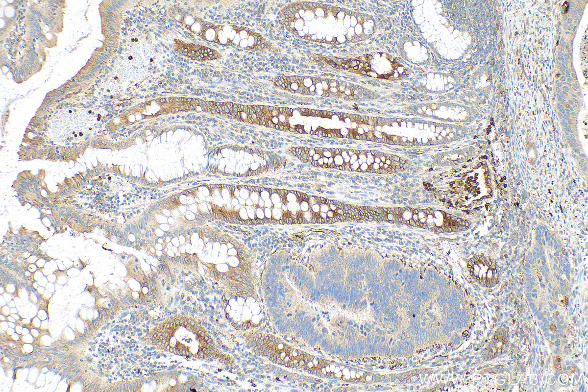
| Positive IHC detected in | human colon cancer tissue, Human bowens disease Note: suggested antigen retrieval with TE buffer pH 9.0; (*) Alternatively, antigen retrieval may be performed with citrate buffer pH 6.0 |
| Positive IF/ICC detected in | RAW 264.7 cells |
推荐稀释比
| 应用 | 推荐稀释比 |
|---|---|
| Western Blot (WB) | WB : 1:500-1:2000 |
| Immunohistochemistry (IHC) | IHC : 1:50-1:500 |
| Immunofluorescence (IF)/ICC | IF/ICC : 1:200-1:800 |
| It is recommended that this reagent should be titrated in each testing system to obtain optimal results. | |
| Sample-dependent, Check data in validation data gallery. | |
产品信息
30700-1-AP targets Lipocalin-2/NGAL in WB, IHC, IF/ICC, ELISA applications and shows reactivity with human, mouse samples.
| 经测试应用 | WB, IHC, IF/ICC, ELISA Application Description |
| 文献引用应用 | WB, IHC, IF |
| 经测试反应性 | human, mouse |
| 文献引用反应性 | mouse |
| 免疫原 |
CatNo: Ag33369 Product name: Recombinant human LCN2 protein Source: e coli.-derived, PGEX-4T Tag: GST Sequence: QFQGKWYVVGLAGNAILREDKDPQKMYATIYELKEDKSYNVTSVLFRKKKCDYWIRTFVPGCQPGEFTLGNIKSYPGLTSYLVRVVSTNYNQHAMVFFKKVSQNREYFKITLYGRTKELTSELKENFIRFSKSLGLPENHIVFPVPIDQCIDG 种属同源性预测 |
| 宿主/亚型 | Rabbit / IgG |
| 抗体类别 | Polyclonal |
| 产品类型 | Antibody |
| 全称 | lipocalin 2 |
| 别名 | LCN2, lipocalin 2, NGAL, 24p3, 25 kDa alpha-2-microglobulin-related subunit of MMP-9 |
| 观测分子量 | 22-25 kDa |
| 基因名称 | NGAL/LCN2 |
| Gene ID (NCBI) | 3934 |
| RRID | AB_3086393 |
| 偶联类型 | Unconjugated |
| 形式 | Liquid |
| 纯化方式 | Antigen affinity purification |
| UNIPROT ID | P80188 |
| 储存缓冲液 | PBS with 0.02% sodium azide and 50% glycerol, pH 7.3. |
| 储存条件 | Store at -20°C. Stable for one year after shipment. Aliquoting is unnecessary for -20oC storage. |
背景介绍
Lipocalin-2 (LCN-2) is a adipocytokine also referred to as neutrophil gelatinase-associated lipocalin (NGAL). Lipocalin-2 is a circulatory protein responsible for the transportation of small and hydrophobic molecules to target organs. Lipocalin-2 is used as a biomarker for acute and chronic renal injury. It is present in a large variety of cells including neutrophil, hepatocytes, lung, bone marrow, adipose tissue, macrophages, thymus, non-neoplastic breast duct, prostate, and renal cells. Different functions have been associated with Lipocalin-2, including antibacterial, anti-inflammatory, and protection against cell and tissue stress (PMID:34463264).
实验方案
| Product Specific Protocols | |
|---|---|
| IF protocol for Lipocalin-2/NGAL antibody 30700-1-AP | Download protocol |
| IHC protocol for Lipocalin-2/NGAL antibody 30700-1-AP | Download protocol |
| WB protocol for Lipocalin-2/NGAL antibody 30700-1-AP | Download protocol |
| Standard Protocols | |
|---|---|
| Click here to view our Standard Protocols |
发表文章
| Species | Application | Title |
|---|---|---|
Redox Biol Protective role of vitamin D receptor against mitochondrial calcium overload from PM2.5-Induced injury in renal tubular cells | ||
Front Bioeng Biotechnol Ultra-small curcumin-ruthenium coordination polymer nanodots prevent renal ischemia-reperfusion injury and the progression to chronic kidney disease | ||
Adv Sci (Weinh) Adaptive Antioxidant Nanomedicines Inhibit Ferroptosis in Renal Tubular Epithelial Cells to Alleviate Diabetic Kidney Disease | ||
Front Mol Biosci S100A8/A9 high-expression macrophages mediate renal tubular epithelial cell damage in acute kidney injury following acute type A aortic dissection surgery |





