验证数据展示
经过测试的应用
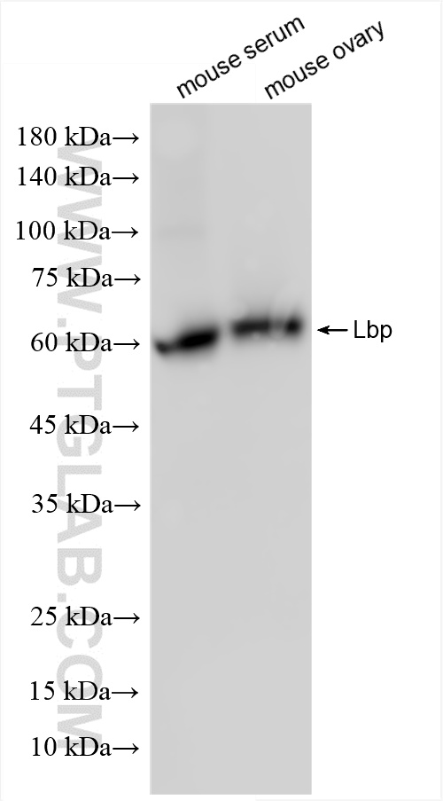
| Positive WB detected in | mouse serum, mouse ovary tissue |
推荐稀释比
| 应用 | 推荐稀释比 |
|---|---|
| Western Blot (WB) | WB : 1:5000-1:50000 |
| It is recommended that this reagent should be titrated in each testing system to obtain optimal results. | |
| Sample-dependent, Check data in validation data gallery. | |
产品信息
86253-1-RR targets LBP in WB, ELISA applications and shows reactivity with mouse samples.
| 经测试应用 | WB, ELISA Application Description |
| 经测试反应性 | mouse |
| 免疫原 |
CatNo: Eg3163 Product name: Recombinant Mouse LBP protein (rFc Tag) Source: mammalian cells-derived, V37 Tag: C-rFc Domain: 25-481 aa of NM_008489.2 Sequence: GVNPGVVARITDKGLAYAAKEGLVALQRELYKITLPDFSGDFKIKAVGRGQYEFHSLEIQNCELRGSSLKLLPGQGLSLAISDSSIGVRGKWKVRKSFLKLHGSFDLDVKGVTISVDLLLGMDPSGRPTVSASGCSSRICDLDVHISGNVGWLLNLFHNQIESKLQKVLENKVCEMIQKSVTSDLQPYLQTLPVTAEIDNVLGIDYSLVAAPQAKAQVLDVMFKGEIFNRNHRSPVATPTPTMSLPEDSKQMVYFAISDYAFNIASRVYHQAGYLNFSITDDMLPHDSGIRLNTKAFRPFTPQIYKKYPDMKLELLGTVVSAPILNVSPGNLSLAPQMEIEGFVILPTSAREPVFRLGVVTNVFASLTFNNSKVTGMLHPDKAQVRLIESKVGMFNVNLFQAFLNYYLLNSLYPDVNAELAQGFPLPLPRHIQLHDLDFQIRKDFLYLGANVQYMRV 种属同源性预测 |
| 宿主/亚型 | Rabbit / IgG |
| 抗体类别 | Recombinant |
| 产品类型 | Antibody |
| 全称 | lipopolysaccharide binding protein |
| 别名 | Lipopolysaccharide-binding protein |
| 计算分子量 | 53 kDa |
| 观测分子量 | 60 kDa |
| GenBank蛋白编号 | NM_008489.2 |
| 基因名称 | Lbp |
| Gene ID (NCBI) | 16803 |
| 偶联类型 | Unconjugated |
| 形式 | Liquid |
| 纯化方式 | Protein A purification |
| UNIPROT ID | Q61805 |
| 储存缓冲液 | PBS with 0.02% sodium azide and 50% glycerol, pH 7.3. |
| 储存条件 | Store at -20°C. Stable for one year after shipment. Aliquoting is unnecessary for -20oC storage. |
背景介绍
LBP (lipopolysaccharide-binding protein) is an acute-phase protein, predominantly synthesized by hepatocytes. LBP plays an essential role in the body's innate immune response, whereby it protects against infections by recognizing and binding bacterial lipopolysaccharides to activate immune cells.
实验方案
| Product Specific Protocols | |
|---|---|
| WB protocol for LBP antibody 86253-1-RR | Download protocol |
| Standard Protocols | |
|---|---|
| Click here to view our Standard Protocols |
