验证数据展示
经过测试的应用
| Positive WB detected in | HeLa cells, HepG2 cells, mouse liver tissue, rat liver tissue |
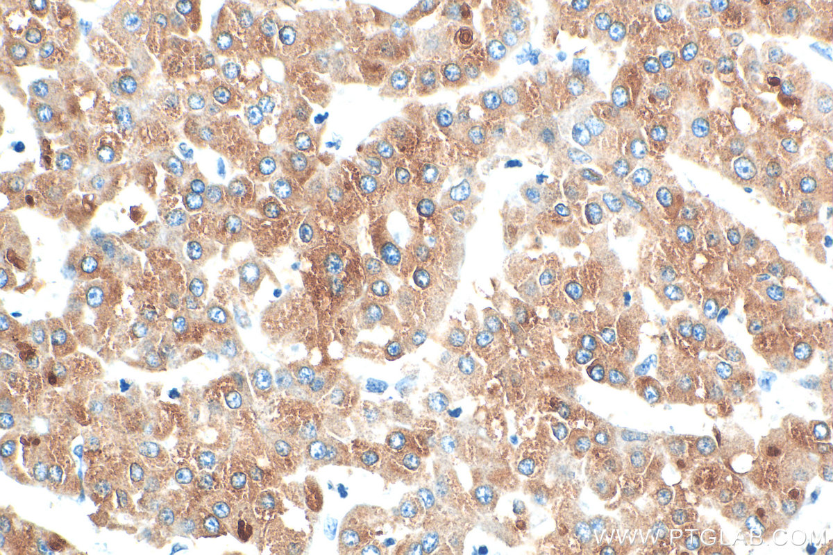
| Positive IHC detected in | human intrahepatic cholangiocarcinoma tissue, human liver cancer tissue Note: suggested antigen retrieval with TE buffer pH 9.0; (*) Alternatively, antigen retrieval may be performed with citrate buffer pH 6.0 |
推荐稀释比
| 应用 | 推荐稀释比 |
|---|---|
| Western Blot (WB) | WB : 1:1000-1:4000 |
| Immunohistochemistry (IHC) | IHC : 1:50-1:500 |
| It is recommended that this reagent should be titrated in each testing system to obtain optimal results. | |
| Sample-dependent, Check data in validation data gallery. | |
产品信息
30183-1-AP targets LASS2 in WB, IHC, ELISA applications and shows reactivity with human, mouse, rat samples.
| 经测试应用 | WB, IHC, ELISA Application Description |
| 经测试反应性 | human, mouse, rat |
| 免疫原 |
CatNo: Ag32769 Product name: Recombinant human LASS2 protein Source: e coli.-derived, PGEX-4T Tag: GST Domain: 62-136 aa of BC010032 Sequence: TPLAALLNIKEKTRLRAPPNATLEHFYLTSGKQPKQVEVELLSRQSGLSGRQVERWFRRRRNQDRPSLLKKFREA 种属同源性预测 |
| 宿主/亚型 | Rabbit / IgG |
| 抗体类别 | Polyclonal |
| 产品类型 | Antibody |
| 全称 | LAG1 homolog, ceramide synthase 2 |
| 别名 | Ceramide synthase 2, CerS2, EC:2.3.1.24, EC:2.3.1.297, Sphingosine N-acyltransferase CERS2 |
| 计算分子量 | 380 aa, 45 kDa |
| 观测分子量 | 37 kDa |
| GenBank蛋白编号 | BC010032 |
| 基因名称 | LASS2 |
| Gene ID (NCBI) | 29956 |
| RRID | AB_3086256 |
| 偶联类型 | Unconjugated |
| 形式 | Liquid |
| 纯化方式 | Antigen affinity purification |
| UNIPROT ID | Q96G23 |
| 储存缓冲液 | PBS with 0.02% sodium azide and 50% glycerol, pH 7.3. |
| 储存条件 | Store at -20°C. Stable for one year after shipment. Aliquoting is unnecessary for -20oC storage. |
背景介绍
LASS2, also known as TMSG1, is a novel suppressor of human cancer metastasis. As one member of LASS family, including LASS1-6, LASS2 mRNA is at the highest level of all LASS members, and has the broadest tissue distribution, particularly abundant in the liver, kidney and brain in mice. The biological roles of LASS2 include protection from aging , hepatic INS resistance, and hepatocellular carcinoma (HCC) progression. LASS2 has been correlated with the degree of invasion and recurrence of carcinomas of the prostate, liver, breast and bladder.
实验方案
| Product Specific Protocols | |
|---|---|
| IHC protocol for LASS2 antibody 30183-1-AP | Download protocol |
| WB protocol for LASS2 antibody 30183-1-AP | Download protocol |
| Standard Protocols | |
|---|---|
| Click here to view our Standard Protocols |





