验证数据展示
经过测试的应用
| Positive WB detected in | Jurkat cells, HeLa cells |
| Positive IP detected in | HEK-293 cells |
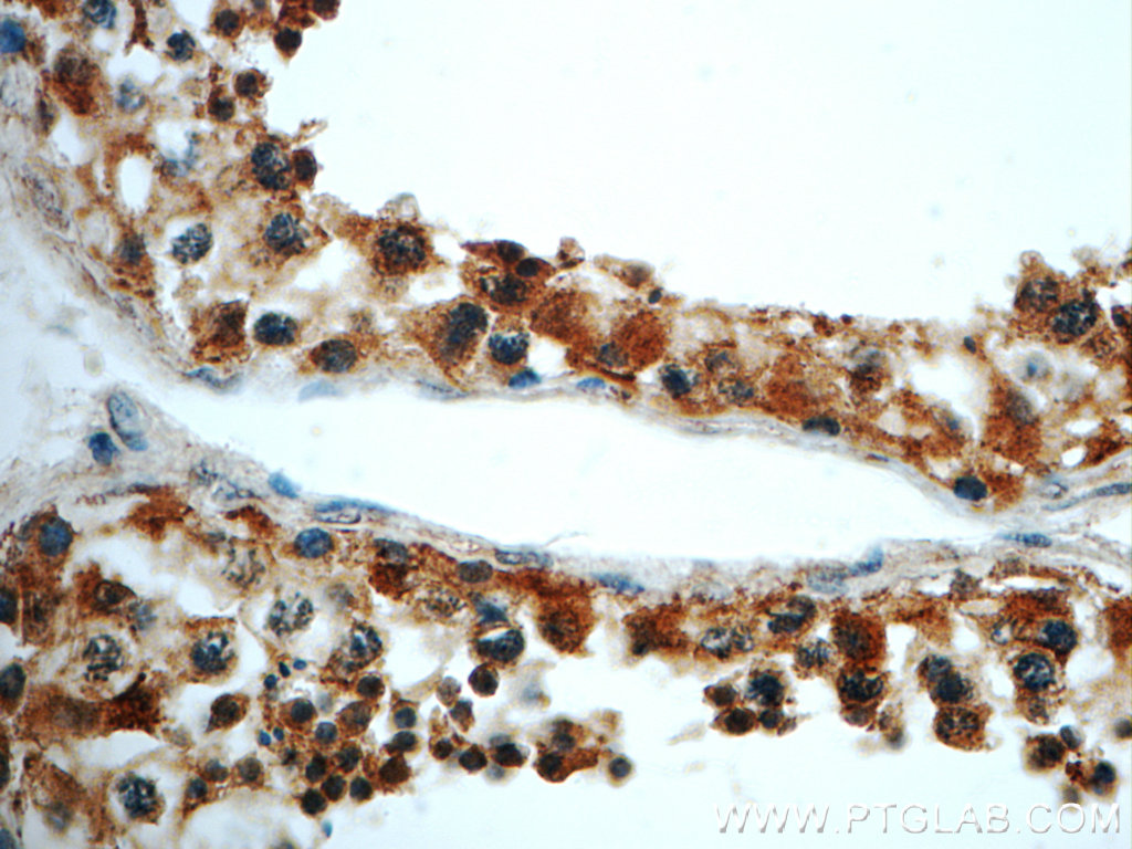
| Positive IHC detected in | human testis tissue Note: suggested antigen retrieval with TE buffer pH 9.0; (*) Alternatively, antigen retrieval may be performed with citrate buffer pH 6.0 |
| Positive IF/ICC detected in | HepG2 cells, HeLa cells |
推荐稀释比
| 应用 | 推荐稀释比 |
|---|---|
| Western Blot (WB) | WB : 1:1000-1:4000 |
| Immunoprecipitation (IP) | IP : 0.5-4.0 ug for 1.0-3.0 mg of total protein lysate |
| Immunohistochemistry (IHC) | IHC : 1:20-1:200 |
| Immunofluorescence (IF)/ICC | IF/ICC : 1:20-1:200 |
| It is recommended that this reagent should be titrated in each testing system to obtain optimal results. | |
| Sample-dependent, Check data in validation data gallery. | |
产品信息
22441-1-AP targets LARG in WB, IHC, IF/ICC, IP, ELISA applications and shows reactivity with human samples.
| 经测试应用 | WB, IHC, IF/ICC, IP, ELISA Application Description |
| 文献引用应用 | WB, IHC, IP |
| 经测试反应性 | human |
| 文献引用反应性 | human, mouse |
| 免疫原 |
CatNo: Ag18211 Product name: Recombinant human LARG protein Source: e coli.-derived, PGEX-4T Tag: GST Domain: 214-563 aa of BC063117 Sequence: QRLLKEIQEAKKHIPQLQEQLSKATGSAQDGAVVTPSRPLGDTLTVSEAETDPGDVLGRTDCSSGDASRPSSDNADSPKSGPKERIYLEENPEKSETIQDTDTQSLVGSPSTRIAPHIIGAEDDDFGTEHEQINGQCSCFQSIELLKSRPAHLAVFLHHVVSQFDPATLLCYLYSDLYKHTNSKETRRIFLEFHQFFLDRSAHLKVSVPDEMSADLEKRRPELIPEDLHRHYIQTMQERVHPEVQRHLEDFRQKRSMGLTLAESELTKLDAERDKDRLTLEKERTCAEQIVAKIEEVLMTAQAVEEDKSSTMQYVILMYMKHLGVKVKEPRNLEHKRGRIGFLPKIKQSM 种属同源性预测 |
| 宿主/亚型 | Rabbit / IgG |
| 抗体类别 | Polyclonal |
| 产品类型 | Antibody |
| 全称 | Rho guanine nucleotide exchange factor (GEF) 12 |
| 别名 | ARHGEF12, KIAA0382, Leukemia associated RhoGEF, Leukemia-associated RhoGEF |
| 计算分子量 | 1544 aa, 173 kDa |
| 观测分子量 | 220 kDa |
| GenBank蛋白编号 | BC063117 |
| 基因名称 | LARG |
| Gene ID (NCBI) | 23365 |
| RRID | AB_2879107 |
| 偶联类型 | Unconjugated |
| 形式 | Liquid |
| 纯化方式 | Antigen affinity purification |
| UNIPROT ID | Q9NZN5 |
| 储存缓冲液 | PBS with 0.02% sodium azide and 50% glycerol, pH 7.3. |
| 储存条件 | Store at -20°C. Stable for one year after shipment. Aliquoting is unnecessary for -20oC storage. |
背景介绍
LARG, also known as ARHGEF12, is one of three regulator of G protein signalling (RGS) domain-containing RhoGEFs. LARG activates the ROCK pathway downstream of Gα12/13 signaling, leading to cytoskeletal reorganisation. LARG performs this activity either as a homodimer or as a heterodimer with Arhgef11. LARG has been implicated in many diseases, including cancer, heart disease, and in HIV viral replication. LARG is phosphorylated and dephosphorylated during mitosis and that Cdk1 is the mitotic kinase responsible for LARG phosphorylation. We got 220 kDa in western blotting, maybe due to its phosphorylation.
实验方案
| Product Specific Protocols | |
|---|---|
| IF protocol for LARG antibody 22441-1-AP | Download protocol |
| IHC protocol for LARG antibody 22441-1-AP | Download protocol |
| IP protocol for LARG antibody 22441-1-AP | Download protocol |
| WB protocol for LARG antibody 22441-1-AP | Download protocol |
| Standard Protocols | |
|---|---|
| Click here to view our Standard Protocols |
发表文章
| Species | Application | Title |
|---|---|---|
Proc Natl Acad Sci U S A RSK2 drives cell motility by serine phosphorylation of LARG and activation of Rho GTPases. | ||
Cell Commun Signal Zinc finger DHHC-type palmitoyltransferase 13-mediated S-palmitoylation of GNA13 from Sertoli cell-derived extracellular vesicles inhibits autophagy in spermatogonial stem cells | ||
Br J Pharmacol Reregulation of hepatic stellate cell contraction and cirrhotic portal hypertension by Wnt/β-catenin signaling via interaction with Gli1. | ||
Am J Pathol The Guanine Nucleotide Exchange Factor, Leukemia-Associated Rho Guanine Nucleotide Exchange Factor, and RhoC Play a Role in Glioblastoma Cell Invasion and Resistance.
| ||
Int J Mol Sci Inhibition of High-Temperature Requirement Protein A2 Protease Activity Represses Myogenic Differentiation via UPRmt | ||
J Neurosci Ogt Deficiency Induces Abnormal Cerebellar Function and Behavioral Deficits of Adult Mice through Modulating RhoA/ROCK Signaling |






