验证数据展示
经过测试的应用
| Positive WB detected in | L02 cells, pig liver tissue, mouse liver tissue, HEK-293 cells, HUVEC cells, Jurkat cells, HeLa cells, HepG2 cells |
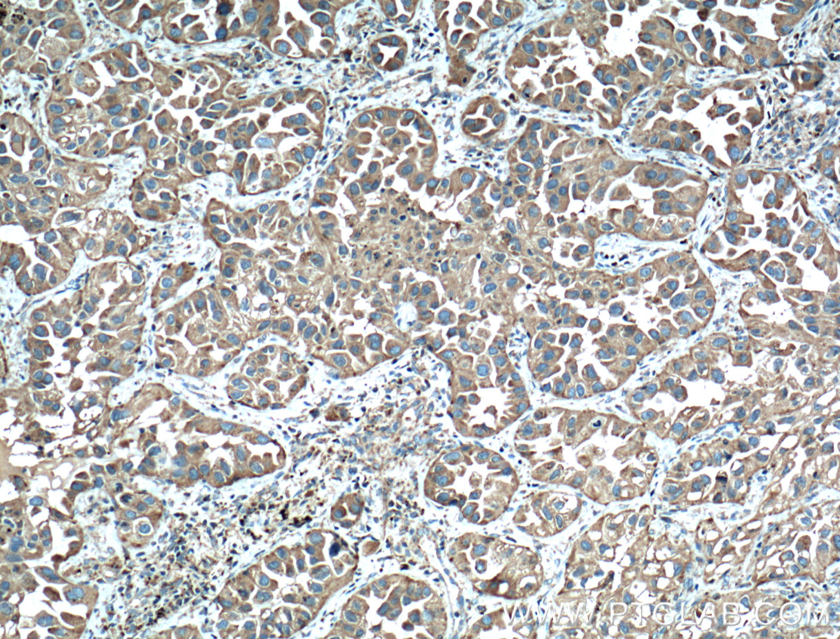
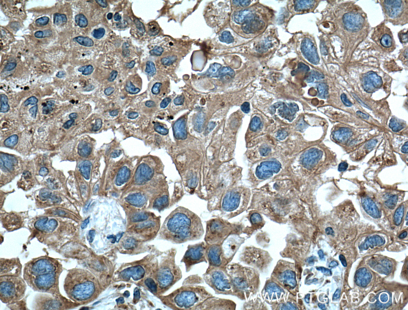
| Positive IHC detected in | human liver cancer tissue, mouse liver tissue, human lung cancer tissue, human liver tissue, human kidney tissue Note: suggested antigen retrieval with TE buffer pH 9.0; (*) Alternatively, antigen retrieval may be performed with citrate buffer pH 6.0 |
This antibody is not recommended for immunocytofluorescent assays. Mouse monoclonal antibodies of IgA isotype can be detected with "anti-mouse IgG (H+L)" secondary antibodies.
推荐稀释比
| 应用 | 推荐稀释比 |
|---|---|
| Western Blot (WB) | WB : 1:1000-1:4000 |
| Immunohistochemistry (IHC) | IHC : 1:500-1:2000 |
| It is recommended that this reagent should be titrated in each testing system to obtain optimal results. | |
| Sample-dependent, Check data in validation data gallery. | |
产品信息
66301-1-Ig targets CD107b / LAMP2 in WB, IHC, IP, CoIP, ELISA applications and shows reactivity with human, mouse, pig samples.
| 经测试应用 | WB, IHC, ELISA Application Description |
| 文献引用应用 | WB, IHC, IP, CoIP |
| 经测试反应性 | human, mouse, pig |
| 文献引用反应性 | human, mouse, pig, chicken, bovine, sheep |
| 免疫原 |
CatNo: Ag0595 Product name: Recombinant human LAMP2 protein Source: e coli.-derived, PGEX-4T Tag: GST Domain: 255-390 aa of BC002965 Sequence: NPNTTHSTGSCRSHTALLRLNSSTIKYLDFVFAVKNENRFYLKEVNISMYLVNGSVFSIANNNLSYWDAPLGSSYMCNKEQTVSVSGAFQINTFDLRVQPFNVTQGKYSTAQECSLDDDTILIPIIVGAGLSGLII 种属同源性预测 |
| 宿主/亚型 | Mouse / IgA |
| 抗体类别 | Monoclonal |
| 产品类型 | Antibody |
| 全称 | lysosomal-associated membrane protein 2 |
| 别名 | CD107b, LAMP2, 2D3B9, CD107 antigen-like family member B, LAMP 2 |
| 计算分子量 | 45 kDa |
| 观测分子量 | 120 kDa |
| GenBank蛋白编号 | BC002965 |
| 基因名称 | LAMP2 |
| Gene ID (NCBI) | 3920 |
| ENSEMBL Gene ID | ENSG00000005893 |
| RRID | AB_2881684 |
| 偶联类型 | Unconjugated |
| 形式 | Liquid |
| 纯化方式 | Thiophilic affinity chromatograph |
| UNIPROT ID | P13473 |
| 储存缓冲液 | PBS with 0.02% sodium azide and 50% glycerol, pH 7.3. |
| 储存条件 | Store at -20°C. Stable for one year after shipment. Aliquoting is unnecessary for -20oC storage. |
背景介绍
Lysosomal-associated membrane protein 2 (LAMP2, synonyms: LAMPB, CD107b) is a member of a family of membrane glycoproteins. This glycoprotein provides selectins with carbohydrate ligands. LAMP2 may play a role in tumor cell metastasis. It may also function in the protection, maintenance, and adhesion of the lysosome. Prior to posttranslational modification, LAMP2 is a ~45 kDa polypeptide. Mature, functional LAMP2 is extensively glycosylated with a variety of different N-linked and O-linked oligosaccharides.
实验方案
| Product Specific Protocols | |
|---|---|
| IHC protocol for CD107b / LAMP2 antibody 66301-1-Ig | Download protocol |
| WB protocol for CD107b / LAMP2 antibody 66301-1-Ig | Download protocol |
| Standard Protocols | |
|---|---|
| Click here to view our Standard Protocols |
发表文章
| Species | Application | Title |
|---|---|---|
Nat Commun RIOK2 kinase regulates the translocation of the FADD-RIPK1-Caspase-8 complex to the ER and the cleavage of Gasdermin D to drive pyroptosis | ||
Mol Cell Filamentous GLS1 promotes ROS-induced apoptosis upon glutamine deprivation via insufficient asparagine synthesis. | ||
Autophagy SDC1-dependent TGM2 determines radiosensitivity in glioblastoma by coordinating EPG5-mediated fusion of autophagosomes with lysosomes | ||
Arthritis Rheumatol LAMP3 induces lysosome-dependent cell death by impairing autophagic caspase-8 degradation in Sjögren's salivary glands | ||
J Clin Invest TMEM25 modulates neuronal excitability and NMDA receptor subunit NR2B degradation. |













