验证数据展示
经过测试的应用
| Positive WB detected in | HepG2 cells, Jurkat cells, pig liver tissue, human placenta tissue | 
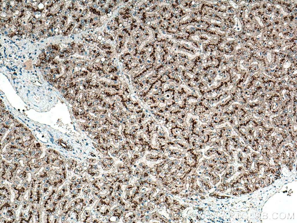
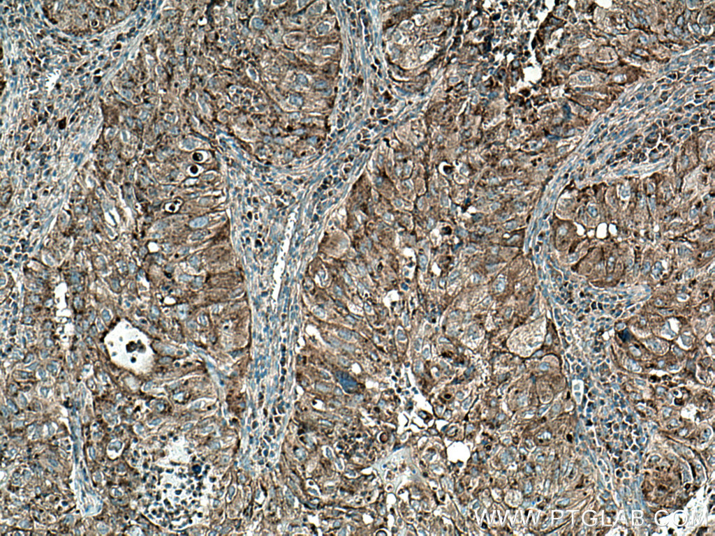
| Positive IHC detected in | human liver tissue, human lung cancer tissue Note: suggested antigen retrieval with TE buffer pH 9.0; (*) Alternatively, antigen retrieval may be performed with citrate buffer pH 6.0 | 
推荐稀释比
| 应用 | 推荐稀释比 | 
|---|---|
| Western Blot (WB) | WB : 1:1000-1:4000 | 
| Immunohistochemistry (IHC) | IHC : 1:50-1:500 | 
| It is recommended that this reagent should be titrated in each testing system to obtain optimal results. | |
| Sample-dependent, Check data in validation data gallery. | |
产品信息
27823-1-AP targets CD107b / LAMP2 in WB, IHC, IF, ELISA applications and shows reactivity with human, pig samples.
| 经测试应用 | WB, IHC, ELISA Application Description | 
| 文献引用应用 | WB, IHC, IF | 
| 经测试反应性 | human, pig | 
| 文献引用反应性 | human, pig, monkey | 
| 免疫原 | CatNo: Ag27183 Product name: Recombinant human LAMP2 protein Source: e coli.-derived, PGEX-4T Tag: GST Domain: 29-230 aa of BC002965 Sequence: LELNLTDSENATCLYAKWQMNFTVRYETTNKTYKTVTISDHGTVTYNGSICGDDQNGPKIAVQFGPGFSWIANFTKAASTYSIDSVSFSYNTGDNTTFPDAEDKGILTVDELLAIRIPLNDLFRCNSLSTLEKNDVVQHYWDVLVQAFVQNGTVSTNEFLCDKDKTSTVAPTIHTTVPSPTTTPTPKEKPEAGTYSVNNGND种属同源性预测 | 
| 宿主/亚型 | Rabbit / IgG | 
| 抗体类别 | Polyclonal | 
| 产品类型 | Antibody | 
| 全称 | lysosomal-associated membrane protein 2 | 
| 别名 | CD107b, LAMP2, CD107 antigen-like family member B, LAMP 2, LAMP-2 | 
| 计算分子量 | 45 kDa | 
| 观测分子量 | 120 kDa | 
| GenBank蛋白编号 | BC002965 | 
| 基因名称 | LAMP2 | 
| Gene ID (NCBI) | 3920 | 
| ENSEMBL Gene ID | ENSG00000005893 | 
| RRID | AB_2880983 | 
| 偶联类型 | Unconjugated | 
| 形式 | Liquid | 
| 纯化方式 | Antigen affinity purification | 
| UNIPROT ID | P13473 | 
| 储存缓冲液 | PBS with 0.02% sodium azide and 50% glycerol, pH 7.3. | 
| 储存条件 | Store at -20°C. Stable for one year after shipment. Aliquoting is unnecessary for -20oC storage. | 
背景介绍
Lysosomal-associated membrane protein 2 (LAMP2, synonyms: LAMPB, CD107b) is a member of a family of membrane glycoproteins. This glycoprotein provides selectins with carbohydrate ligands. LAMP2 may plays a role in tumor cell metastasis. It may also functions in the protection, maintenance, and adhesion of the lysosome. Prior to posttranslational modification, LAMP2 is a ~45 kDa polypeptide. Mature, functional LAMP2 is extensively glycosylated with a variety of different N linked and O linked oligosaccharides.
实验方案
| Product Specific Protocols | |
|---|---|
| IHC protocol for CD107b / LAMP2 antibody 27823-1-AP | Download protocol | 
| WB protocol for CD107b / LAMP2 antibody 27823-1-AP | Download protocol | 
| Standard Protocols | |
|---|---|
| Click here to view our Standard Protocols | 
发表文章
| Species | Application | Title | 
|---|---|---|
| J Extracell Vesicles Extracellular vesicle-mediated delivery of circDYM alleviates CUS-induced depressive-like behaviours. | ||
| Autophagy USP19 (ubiquitin specific peptidase 19) promotes TBK1 (TANK-binding kinase 1) degradation via chaperone-mediated autophagy. | ||
| Autophagy Extracellular vesicles originating from autophagy mediate an antibody-resistant spread of classical swine fever virus in cell culture | ||
| Oxid Med Cell Longev Restoration of Autophagic Flux Rescues Oxidative Damage and Mitochondrial Dysfunction to Protect against Intervertebral Disc Degeneration. | ||
| J Anim Sci Biotechnol Glyphosate exposure deteriorates oocyte meiotic maturation via induction of organelle dysfunctions in pigs. | 








