WB Figures
WB analysis of A431 using 22208-1-AP
A431 cells were subjected to SDS PAGE followed by western blot with 22208-1-AP (Cytokeratin 7 antibody) at dilution of 1:1000 incubated at room temperature for 1.5 hours.
WB analysis of A431 using 22208-1-AP
A431 cells were subjected to SDS PAGE followed by western blot with 22208-1-AP (Cytokeratin 7 antibody) at dilution of 1:2000 incubated at room temperature for 1.5 hours.
WB analysis of HeLa using 22208-1-AP
HeLa cells were subjected to SDS PAGE followed by western blot with 22208-1-AP (Cytokeratin 7 antibody) at dilution of 1:2000 incubated at room temperature for 1.5 hours.
WB analysis of HepG2 using 22208-1-AP
HepG2 cells were subjected to SDS PAGE followed by western blot with 22208-1-AP (Cytokeratin 7 antibody) at dilution of 1:2000 incubated at room temperature for 1.5 hours.
WB analysis of HepG2 using 22208-1-AP
HepG2 cells were subjected to SDS PAGE followed by western blot with 22208-1-AP (Cytokeratin 7 antibody) at dilution of 1:1000 incubated at room temperature for 1.5 hours.
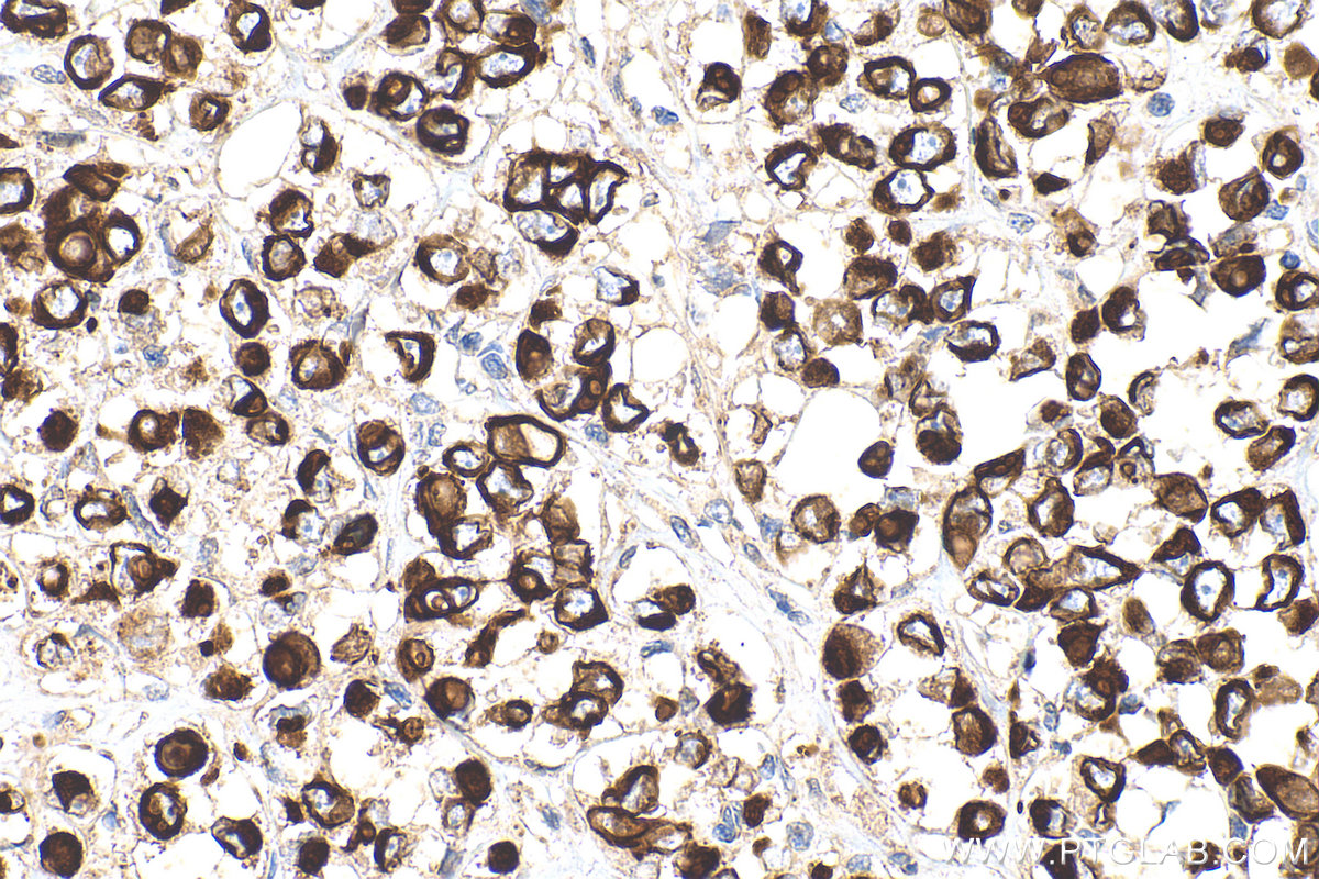
IHC staining of human bowen disease using 22208-1-AP
Immunohistochemical analysis of paraffin-embedded human bowen disease slide using 22208-1-AP (Cytokeratin 7 antibody) at dilution of 1:400 (under 20x lens). Heat mediated antigen retrieval with Tris-EDTA buffer (pH 9.0).
IHC staining of human bowen disease using 22208-1-AP
Immunohistochemical analysis of paraffin-embedded human bowen disease slide using 22208-1-AP (Cytokeratin 7 antibody) at dilution of 1:400 (under 20x lens). Heat mediated antigen retrieval with Tris-EDTA buffer (pH 9.0).
IHC staining of human breast cancer using 22208-1-AP
Immunohistochemical analysis of paraffin-embedded human breast cancer tissue slide using 22208-1-AP (Cytokeratin 7 antibody) at dilution of 1:200 (under 10x lens). Heat mediated antigen retrieval with Tris-EDTA buffer (pH 9.0).
IHC staining of human breast cancer using 22208-1-AP
Immunohistochemical analysis of paraffin-embedded human breast cancer tissue slide using 22208-1-AP (Cytokeratin 7 antibody) at dilution of 1:200 (under 40x lens). Heat mediated antigen retrieval with Tris-EDTA buffer (pH 9.0).
IHC staining of human kidney using 22208-1-AP
Immunohistochemical analysis of paraffin-embedded human kidney tissue slide using 22208-1-AP (Cytokeratin 7 antibody at dilution of 1:50 (under 10x lens).
IHC staining of human kidney using 22208-1-AP
Immunohistochemical analysis of paraffin-embedded human kidney tissue slide using 22208-1-AP (Cytokeratin 7 antibody at dilution of 1:50 (under 40x lens).
IHC staining of human lung cancer using 22208-1-AP
Immunohistochemical analysis of paraffin-embedded human lung cancer tissue slide using 22208-1-AP (Cytokeratin 7 antibody) at dilution of 1:800 (under 10x lens). Heat mediated antigen retrieval with Tris-EDTA buffer (pH 9.0).
IHC staining of human lung cancer using 22208-1-AP
Immunohistochemical analysis of paraffin-embedded human lung cancer tissue slide using 22208-1-AP (Cytokeratin 7 antibody) at dilution of 1:800 (under 40x lens). Heat mediated antigen retrieval with Tris-EDTA buffer (pH 9.0).
IHC staining of human lung cancer using 22208-1-AP
Immunohistochemical analysis of paraffin-embedded human lung cancer tissue slide using 22208-1-AP (Cytokeratin 7 antibody) at dilution of 1:800 (under 10x lens). Heat mediated antigen retrieval with Tris-EDTA buffer (pH 9.0).
IHC staining of human lung cancer using 22208-1-AP
Immunohistochemical analysis of paraffin-embedded human lung cancer tissue slide using 22208-1-AP (Cytokeratin 7 antibody) at dilution of 1:800 (under 40x lens). Heat mediated antigen retrieval with Tris-EDTA buffer (pH 9.0).
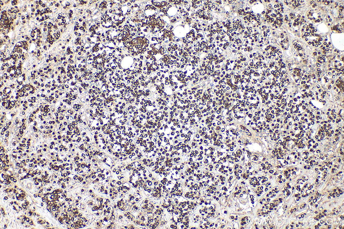
IHC staining of human ovary cancer using 22208-1-AP
Immunohistochemical analysis of paraffin-embedded human ovarian cancer slide using 22208-1-AP (Cytokeratin 7 antibody) at dilution of 1:400 (under 20x lens). Heat mediated antigen retrieval with Tris-EDTA buffer (pH 9.0).
IHC staining of human ovary cancer using 22208-1-AP
Immunohistochemical analysis of paraffin-embedded human ovarian cancer slide using 22208-1-AP (Cytokeratin 7 antibody) at dilution of 1:400 (under 20x lens). Heat mediated antigen retrieval with Tris-EDTA buffer (pH 9.0).
IHC staining of human ovary tumor using 22208-1-AP
Immunohistochemical analysis of paraffin-embedded human ovary tumor tissue slide using 22208-1-AP (Cytokeratin 7 antibody) at dilution of 1:200 (under 10x lens). Heat mediated antigen retrieval with Tris-EDTA buffer (pH 9.0).
IHC staining of human ovary tumor using 22208-1-AP
Immunohistochemical analysis of paraffin-embedded human ovary tumor tissue slide using 22208-1-AP (Cytokeratin 7 antibody) at dilution of 1:200 (under 40x lens). Heat mediated antigen retrieval with Tris-EDTA buffer (pH 9.0).
IHC staining of human pancreas using 22208-1-AP
Immunohistochemical analysis of paraffin-embedded human pancreas tissue slide using 22208-1-AP (Cytokeratin 7 antibody) at dilution of 1:800 (under 10x lens). Heat mediated antigen retrieval with Tris-EDTA buffer (pH 9.0).
IHC staining of human pancreas using 22208-1-AP
Immunohistochemical analysis of paraffin-embedded human pancreas tissue slide using 22208-1-AP (Cytokeratin 7 antibody) at dilution of 1:800 (under 40x lens). Heat mediated antigen retrieval with Tris-EDTA buffer (pH 9.0).
IHC staining of human pancreas using 22208-1-AP
Immunohistochemical analysis of paraffin-embedded human pancreas tissue slide using 22208-1-AP (Cytokeratin 7 antibody) at dilution of 1:800 (under 10x lens). Heat mediated antigen retrieval with Tris-EDTA buffer (pH 9.0).
IHC staining of human pancreas using 22208-1-AP
Immunohistochemical analysis of paraffin-embedded human pancreas tissue slide using 22208-1-AP (Cytokeratin 7 antibody) at dilution of 1:800 (under 40x lens). Heat mediated antigen retrieval with Tris-EDTA buffer (pH 9.0).