验证数据展示
经过测试的应用
| Positive WB detected in | HeLa cells, rat liver tissue, A431 cells, mouse liver tissue, mouse bladder tissue, HepG2 cells, mouse lung tissue, rat bladder tissue, rat lung tissue |
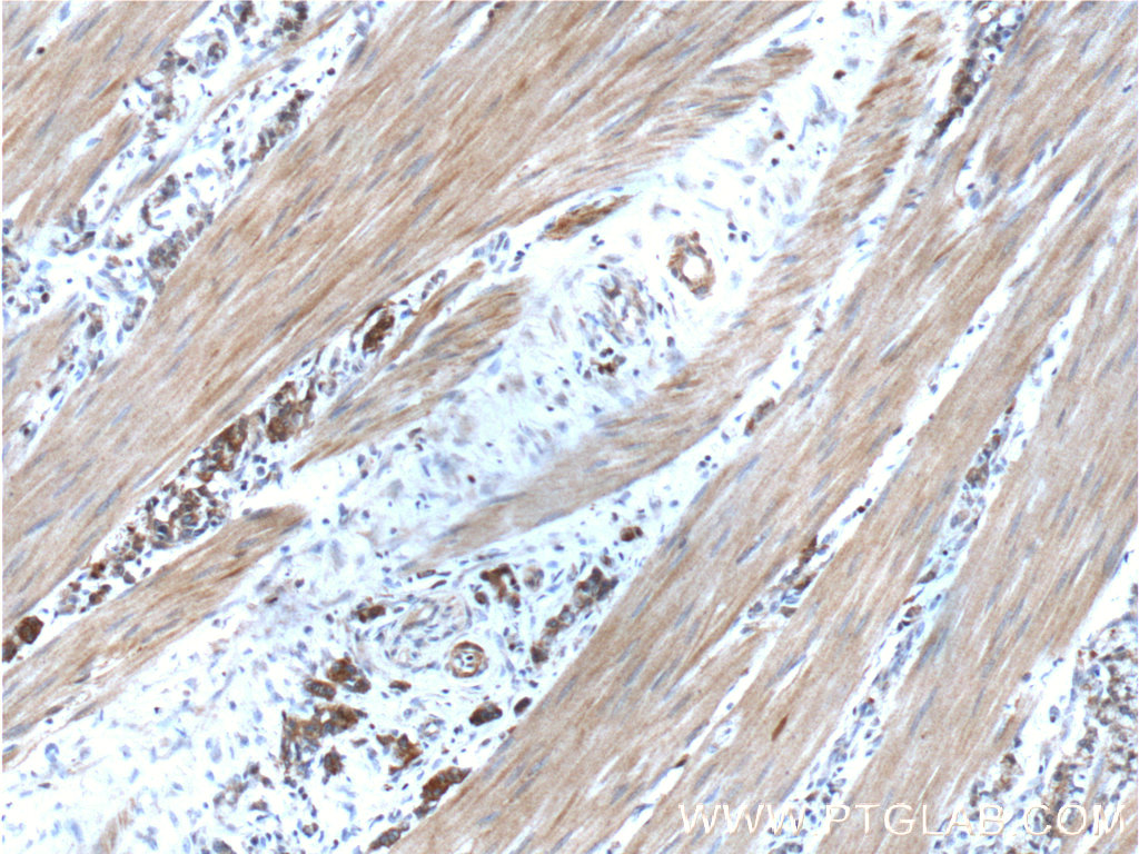
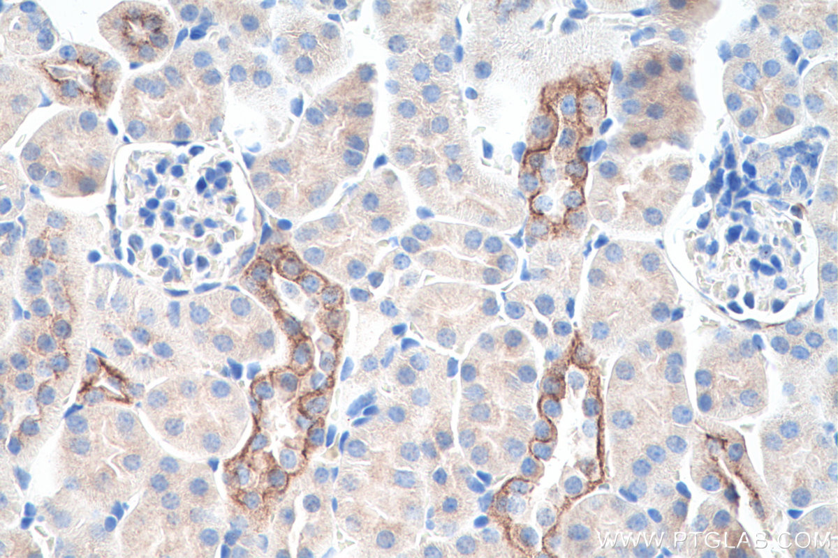
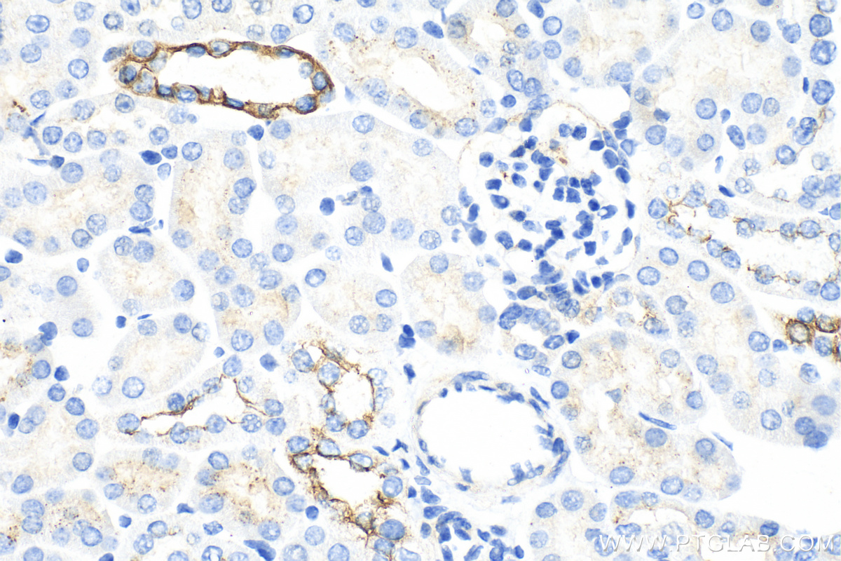
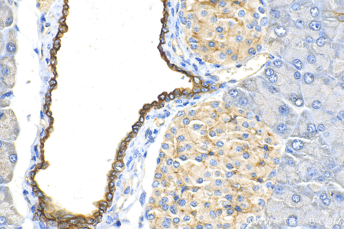
| Positive IHC detected in | human pancreas tissue, human bowen disease, human breast cancer tissue, human kidney tissue, human lung tissue, human lung cancer tissue, human ovary tumor tissue, human stomach cancer tissue, mouse kidney tissue, mouse pancreas tissue, rat kidney tissue Note: suggested antigen retrieval with TE buffer pH 9.0; (*) Alternatively, antigen retrieval may be performed with citrate buffer pH 6.0 |
| Positive IF-P detected in | mouse pancreas tissue, rat liver tissue |
| Positive IF-Fro detected in | mouse breast cancer |
| Positive IF/ICC detected in | HeLa cells |
| Positive FC (Intra) detected in | HeLa cells |
推荐稀释比
| 应用 | 推荐稀释比 |
|---|---|
| Western Blot (WB) | WB : 1:5000-1:50000 |
| Immunohistochemistry (IHC) | IHC : 1:1000-1:30000 |
| Immunofluorescence (IF)-P | IF-P : 1:50-1:500 |
| Immunofluorescence (IF)-FRO | IF-FRO : 1:50-1:500 |
| Immunofluorescence (IF)/ICC | IF/ICC : 1:50-1:500 |
| Flow Cytometry (FC) (INTRA) | FC (INTRA) : 0.80 ug per 10^6 cells in a 100 µl suspension |
| It is recommended that this reagent should be titrated in each testing system to obtain optimal results. | |
| Sample-dependent, Check data in validation data gallery. | |
产品信息
15539-1-AP targets Cytokeratin 7 in WB, IHC, IF/ICC, IF-P, IF-Fro, FC (Intra), ELISA applications and shows reactivity with human, mouse, rat samples.
| 经测试应用 | WB, IHC, IF/ICC, IF-P, IF-Fro, FC (Intra), ELISA Application Description |
| 文献引用应用 | WB, IHC, IF |
| 经测试反应性 | human, mouse, rat |
| 文献引用反应性 | human, mouse, rat |
| 免疫原 |
CatNo: Ag7895 Product name: Recombinant human CK7 protein Source: e coli.-derived, PGEX-4T Tag: GST Domain: 1-351 aa of BC002700 Sequence: MSIHFSSPVFTSRSAAFSGRGAQVRLSSARPGGLGSSSLYGLGASRPRVAVRSAYGGPVGAGIREVTINQSLLAPLRLDADPSLQRVRQEESEQIKTLNNKFASFIDKVRFLEQQNKLLETKWTLLQEQKSAKSSRLPDIFEAQIAGLRGQLEALQVDGGRLEAELRSMQDVVEDFKNKYEDEINRRTAAENEFVVLKKDVDAAYMSKVELEAKVDALNDEINFLRTLNETELTELQSQISDTSVVLSMDNSRSLDLDGIIAEVKAQYEEMAKCSRAEAEAWYQTKFETLQAQAGKHGDDLRNTRNEISEMNRAIQRLQAEIDNIKNQRAKLEAAIAEAEERGELALKDAR 种属同源性预测 |
| 宿主/亚型 | Rabbit / IgG |
| 抗体类别 | Polyclonal |
| 产品类型 | Antibody |
| 全称 | keratin 7 |
| 别名 | KRT7, CK 7, CK7, CK-7, Cytokeratin,Keratin |
| 计算分子量 | 469 aa, 51 kDa |
| 观测分子量 | 51 kDa |
| GenBank蛋白编号 | BC002700 |
| 基因名称 | Cytokeratin 7 |
| Gene ID (NCBI) | 3855 |
| RRID | AB_2249769 |
| 偶联类型 | Unconjugated |
| 形式 | Liquid |
| 纯化方式 | Antigen affinity purification |
| UNIPROT ID | P08729 |
| 储存缓冲液 | PBS with 0.02% sodium azide and 50% glycerol, pH 7.3. |
| 储存条件 | Store at -20°C. Stable for one year after shipment. Aliquoting is unnecessary for -20oC storage. |
背景介绍
Cytokeratin 7 (CK7) is a type II keratin protein that is a principal constituent of the intermediate filament cytoskeleton. It is primarily expressed in simple epithelia lining the cavities of internal organs, glandular ducts, and blood vessels. Abnormal expression of CK7 has been linked to various pathological conditions, including cancer. Overexpression of CK7 promotes tumor progression and metastasis in different human cancers, and its suppression leads to rapid tumor regression, highlighting its potential as a therapeutic target CK7 is also involved in inhibiting interferon-dependent interphase, promoting DNA synthesis, initiating translation possibly through interaction with p150 (the largest subunit of eukaryotic translation initiation factor 3), and interacting with G protein-coupled estrogen receptor 1 (GPER1), which activates several signaling pathways. In the context of cancer diagnosis, CK7 is used as a marker to distinguish between different types of carcinomas. It is expressed in most adenocarcinomas, particularly those of the lung and colorectal origin, and is useful in differentiating primary ovarian carcinoma from metastatic colorectal carcinoma. CK7 expression has also been studied as a predictor of an unfavorable prognosis in colorectal carcinoma.
实验方案
| Product Specific Protocols | |
|---|---|
| FC protocol for Cytokeratin 7 antibody 15539-1-AP | Download protocol |
| IF protocol for Cytokeratin 7 antibody 15539-1-AP | Download protocol |
| IHC protocol for Cytokeratin 7 antibody 15539-1-AP | Download protocol |
| WB protocol for Cytokeratin 7 antibody 15539-1-AP | Download protocol |
| Standard Protocols | |
|---|---|
| Click here to view our Standard Protocols |
发表文章
| Species | Application | Title |
|---|---|---|
Cancer Cell Promotion of cholangiocarcinoma growth by diverse cancer-associated fibroblast subpopulations. | ||
J Nanobiotechnology GelMA loaded with exosomes from human minor salivary gland organoids enhances wound healing by inducing macrophage polarization | ||
Cell Death Dis α1,3-fucosylation of MEST promotes invasion potential of cytotrophoblast cells by activating translation initiation | ||
Free Radic Biol Med Pasteurized Akkermansia muciniphila ameliorates preeclampsia via inhibiting mitochondrial dysfunction-mediated placental apoptosis in vivo and in vitro | ||








































