验证数据展示
经过测试的应用
| Positive WB detected in | HeLa cells, A375 cells, A431 cells, HepG2 cells, L02 cells, mouse skin tissue |
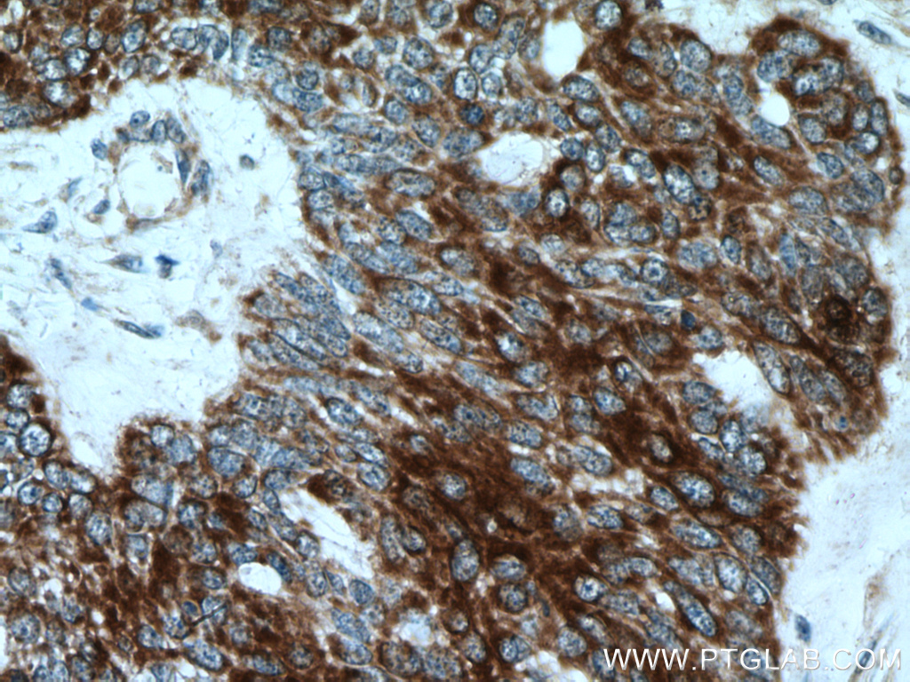
| Positive IHC detected in | human skin cancer tissue, human lung squamous cell carcinoma tissue Note: suggested antigen retrieval with TE buffer pH 9.0; (*) Alternatively, antigen retrieval may be performed with citrate buffer pH 6.0 |
| Positive IF/ICC detected in | HepG2 cells |
推荐稀释比
| 应用 | 推荐稀释比 |
|---|---|
| Western Blot (WB) | WB : 1:500-1:1000 |
| Immunohistochemistry (IHC) | IHC : 1:50-1:500 |
| Immunofluorescence (IF)/ICC | IF/ICC : 1:50-1:500 |
| It is recommended that this reagent should be titrated in each testing system to obtain optimal results. | |
| Sample-dependent, Check data in validation data gallery. | |
产品信息
20449-1-AP targets Cytokeratin 34 in WB, IHC, IF/ICC, ELISA applications and shows reactivity with human, mouse samples.
| 经测试应用 | WB, IHC, IF/ICC, ELISA Application Description |
| 经测试反应性 | human, mouse |
| 免疫原 |
CatNo: Ag14295 Product name: Recombinant human KRT34 protein Source: e coli.-derived, PGEX-4T Tag: GST Domain: 88-436 aa of BC041070 Sequence: WFCEGSFNGSEKETMQFLNDRLASYLEKVRQLERDNAELEKLIQERSQQQEPLLCPSYQSYFKTIEELQQKILCAKAENARLVVNIDNAKLASDDFRSKYQTEQSLRLLVESDINSIRRILDELTLCKSDLESQVESLREELICLKKNHEEEVNTLRSQLGDRLNVEVDTAPTVDLNQVLNETRSQYEALVETNRREVEQWFATQTEELNKQVVSSSEQLQSCQAEIIELRRTVNALEIELQAQHNLRDSLENTLTESEAHYSSQLSQVQSLITNVESQLAEIRCDLERQNQEYQVLLDVRARLECEINTYRSLLESEDCKLPCNPCATTNASGNSCGPCGTSQKGCCN 种属同源性预测 |
| 宿主/亚型 | Rabbit / IgG |
| 抗体类别 | Polyclonal |
| 产品类型 | Antibody |
| 全称 | keratin 34 |
| 别名 | keratin 34, KRT34, keratin34, Keratin-34, KRT 34 |
| 计算分子量 | 436 aa, 49 kDa |
| 观测分子量 | 49 kDa |
| GenBank蛋白编号 | BC041070 |
| 基因名称 | KRT34 |
| Gene ID (NCBI) | 3885 |
| RRID | AB_10700000 |
| 偶联类型 | Unconjugated |
| 形式 | Liquid |
| 纯化方式 | Antigen affinity purification |
| UNIPROT ID | O76011 |
| 储存缓冲液 | PBS with 0.02% sodium azide and 50% glycerol, pH 7.3. |
| 储存条件 | Store at -20°C. Stable for one year after shipment. Aliquoting is unnecessary for -20oC storage. |
背景介绍
Keratins are a large family of proteins that form the intermediate filament cytoskeleton of epithelial cells. Keratin expression is highly regulated, tissue specific, and varies according to cell-state. Type I keratins consist of acidic, low molecular weight proteins with MW ranging from 40 kDa (KRT19) to 64 kDa (KRT9). Type 2 keratins consist of basic or neutral, high molecular weight proteins with MW from 52 kDa (KRT8) to 67 kDa (KRT18). KRT 34 is a type I keratin.
实验方案
| Product Specific Protocols | |
|---|---|
| IF protocol for Cytokeratin 34 antibody 20449-1-AP | Download protocol |
| IHC protocol for Cytokeratin 34 antibody 20449-1-AP | Download protocol |
| WB protocol for Cytokeratin 34 antibody 20449-1-AP | Download protocol |
| Standard Protocols | |
|---|---|
| Click here to view our Standard Protocols |














