验证数据展示
经过测试的应用
| Positive WB detected in | Colo320 cells, COLO 320 cells |
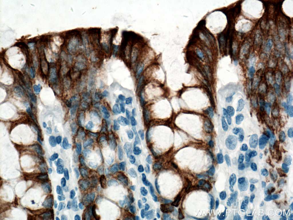
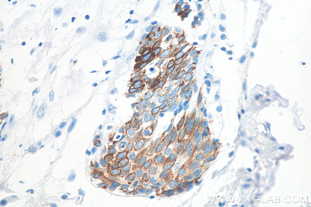
| Positive IHC detected in | human colon tissue, human appendicitis tissue, human colon cancer tissue, human urothelial carcinoma tissue Note: suggested antigen retrieval with TE buffer pH 9.0; (*) Alternatively, antigen retrieval may be performed with citrate buffer pH 6.0 |
| Positive IF-P detected in | human colon tissue |
| Positive IF/ICC detected in | HT-29 cells |
推荐稀释比
| 应用 | 推荐稀释比 |
|---|---|
| Western Blot (WB) | WB : 1:500-1:2000 |
| Immunohistochemistry (IHC) | IHC : 1:1000-1:51200 |
| Immunofluorescence (IF)-P | IF-P : 1:200-1:800 |
| Immunofluorescence (IF)/ICC | IF/ICC : 1:400-1:1600 |
| It is recommended that this reagent should be titrated in each testing system to obtain optimal results. | |
| Sample-dependent, Check data in validation data gallery. | |
发表文章中的应用
| IHC | See 2 publications below |
| IF | See 6 publications below |
产品信息
60183-1-Ig targets Cytokeratin 20 in WB, IHC, IF/ICC, IF-P, ELISA applications and shows reactivity with human samples.
| 经测试应用 | WB, IHC, IF/ICC, IF-P, ELISA Application Description |
| 文献引用应用 | IHC, IF |
| 经测试反应性 | human |
| 文献引用反应性 | human, mouse |
| 免疫原 |
CatNo: Ag11336 Product name: Recombinant human KRT20 protein Source: e coli.-derived, PET28a Tag: 6*His Domain: 74-424 aa of BC031559 Sequence: MQNLNDRLASYLEKVRTLEQSNSKLEVQIKQWYETNAPRAGRDYSAYYRQIEELRSQIKDAQLQNARCVLQIDNAKLAAEDFRLKYETERGIRLTVEADLQGLNKVFDDLTLHKTDLEIQIEELNKDLALLKKEHQEEVDGLHKHLGNTVNVEVDAAPGLNLGVIMNEMRQKYEVMAQKNLQEAKEQFERQTAVLQQQVTVNTEELKGTEVQLTELRRTSQSLEIELQSHLSMKESLEHTLEETKARYSSQLANLQSLLSSLEAQLMQIRSNMERQNNEYHILLDIKTRLEQEIATYRRLLEGEDVKTTEYQLSTLEERDIKKTRKIKTVVQEVVDGKVVSSEVKEVEENI 种属同源性预测 |
| 宿主/亚型 | Mouse / IgG2b |
| 抗体类别 | Monoclonal |
| 产品类型 | Antibody |
| 全称 | keratin 20 |
| 别名 | KRT20, CK 20, CK20, CK-20, Cytokeratin-20 |
| 计算分子量 | 424 aa, 48 kDa |
| 观测分子量 | 46 kDa |
| GenBank蛋白编号 | BC031559 |
| 基因名称 | Cytokeratin 20 |
| Gene ID (NCBI) | 54474 |
| RRID | AB_10858399 |
| 偶联类型 | Unconjugated |
| 形式 | Liquid |
| 纯化方式 | Protein A purification |
| UNIPROT ID | P35900 |
| 储存缓冲液 | PBS with 0.02% sodium azide and 50% glycerol, pH 7.3. |
| 储存条件 | Store at -20°C. Stable for one year after shipment. Aliquoting is unnecessary for -20oC storage. |
背景介绍
Keratins are a large family of proteins that form the intermediate filament cytoskeleton of epithelial cells. Keratin expression is highly regulated, tissue specific, and varies according to cell-state. Type I keratins consist of acidic, low molecular weight proteins with MW ranging from 40 kDa (KRT19) to 64 kDa (KRT9). Type 2 keratins consist of basic or neutral, high molecular weight proteins with MW from 52 kDa (KRT8) to 67 kDa (KRT18).Keratin 20 is a type I cytokeratin. It is a major cellular protein of mature enterocytes and goblet cells and is specifically found in the gastric and intestinal mucosa.
实验方案
| Product Specific Protocols | |
|---|---|
| IF protocol for Cytokeratin 20 antibody 60183-1-Ig | Download protocol |
| IHC protocol for Cytokeratin 20 antibody 60183-1-Ig | Download protocol |
| WB protocol for Cytokeratin 20 antibody 60183-1-Ig | Download protocol |
| Standard Protocols | |
|---|---|
| Click here to view our Standard Protocols |
发表文章
| Species | Application | Title |
|---|---|---|
Cell Mol Gastroenterol Hepatol Formation of Human Colonic Crypt Array by Application of Chemical Gradients Across a Shaped Epithelial Monolayer. | ||
Front Immunol Fusobacterium nucleatum Facilitates M2 Macrophage Polarization and Colorectal Carcinoma Progression by Activating TLR4/NF-κB/S100A9 Cascade. | ||
Biochem Biophys Res Commun Construction of artificial human peritoneal tissue by cell-accumulation technique and its application for visualizing morphological dynamics of cancer peritoneal metastasis. | ||
iScience Establishment of an ulcerative colitis model using colon organoids derived from human induced pluripotent stem cells | ||
ACS Biomater Sci Eng Three-Dimensional-Printed In Vitro Model of Colorectal Cancer with Immune Microenvironment and Reprogramming Capabilities. |














