验证数据展示
经过测试的应用
| Positive WB detected in | A431 cells, rat skin tissue |
| Positive IP detected in | A431 cells |
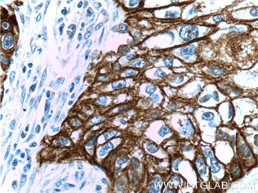
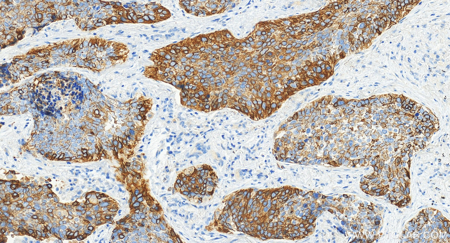
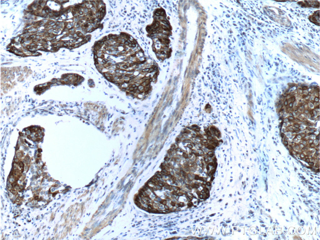
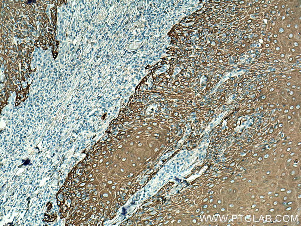
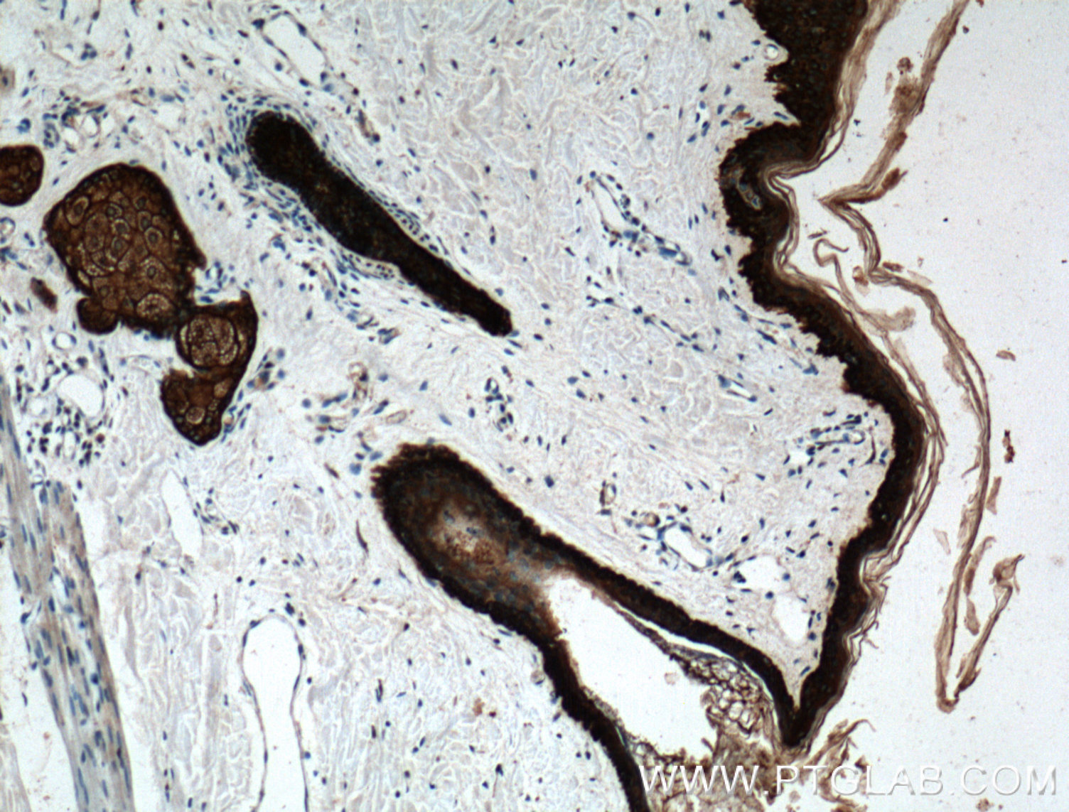
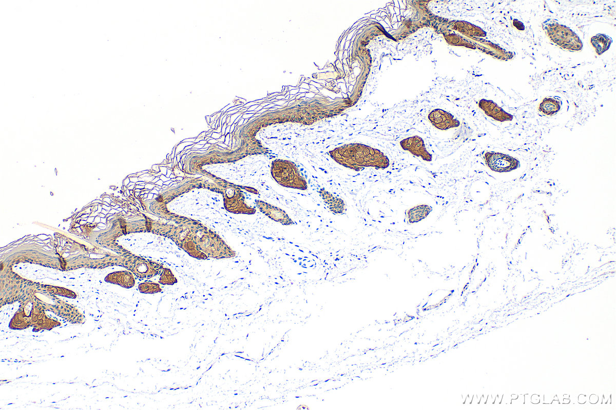
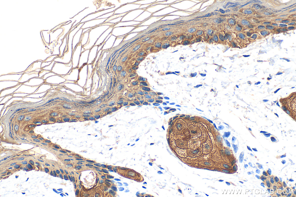
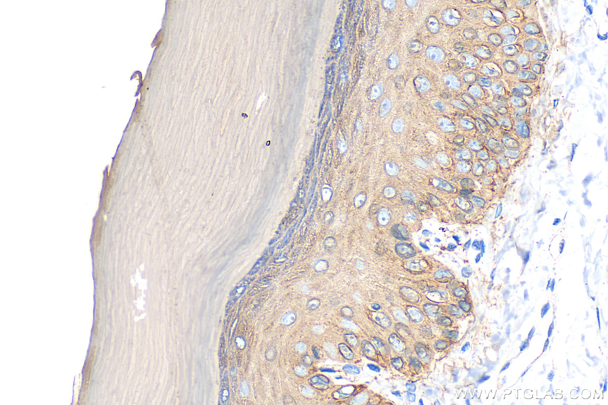
| Positive IHC detected in | human lung cancer tissue, human breast cancer tissue, human cervical cancer tissue, human lung squamous cell carcinoma tissue, human oesophagus cancer tissue, human skin tissue, human skin cancer tissue, mouse skin tissue, rat skin tissue Note: suggested antigen retrieval with TE buffer pH 9.0; (*) Alternatively, antigen retrieval may be performed with citrate buffer pH 6.0 |
| Positive IF/ICC detected in | HaCaT cells, HeLa cells, HepG2 cells, mouse olfactory epithelium tissue |
| Positive FC (Intra) detected in | A431 cells |
推荐稀释比
| 应用 | 推荐稀释比 |
|---|---|
| Western Blot (WB) | WB : 1:500-1:2000 |
| Immunoprecipitation (IP) | IP : 0.5-4.0 ug for 1.0-3.0 mg of total protein lysate |
| Immunohistochemistry (IHC) | IHC : 1:200-1:8000 |
| Immunofluorescence (IF)/ICC | IF/ICC : 1:200-1:800 |
| Flow Cytometry (FC) (INTRA) | FC (INTRA) : 0.40 ug per 10^6 cells in a 100 µl suspension |
| It is recommended that this reagent should be titrated in each testing system to obtain optimal results. | |
| Sample-dependent, Check data in validation data gallery. | |
产品信息
10143-1-AP targets Cytokeratin 14 in WB, IHC, IF/ICC, FC (Intra), IP, ELISA applications and shows reactivity with human, mouse, rat samples.
| 经测试应用 | WB, IHC, IF/ICC, FC (Intra), IP, ELISA Application Description |
| 文献引用应用 | WB, IHC, IF |
| 经测试反应性 | human, mouse, rat |
| 文献引用反应性 | human, mouse, rat |
| 免疫原 |
CatNo: Ag0188 Product name: Recombinant human KRT14 protein Source: e coli.-derived, PGEX-4T Tag: GST Domain: 262-472 aa of BC002690 Sequence: GQVGGDVNVEMDAAPGVDLSRILNEMRDQYEKMAEKNRKDAEEWFFTKTEELNREVATNSELVQSGKSEISELRRTMQNLEIELQSQLSMKASLENSLEETKGRYCMQLAQIQEMIGSVEEQLAQLRCEMEQQNQEYKILLDVKTRLEQEIATYRRLLEGEDAHLSSSQFSSGSQSSRDVTSSSRQIRTKVMDVHDGKVVSTHEQVLRTKN 种属同源性预测 |
| 宿主/亚型 | Rabbit / IgG |
| 抗体类别 | Polyclonal |
| 产品类型 | Antibody |
| 全称 | keratin 14 |
| 别名 | KRT14, CK 14, CK14, CK-14, Cytokeratin,Keratin |
| 计算分子量 | 472 aa, 52 kDa |
| 观测分子量 | 47-50 kDa |
| GenBank蛋白编号 | BC002690 |
| 基因名称 | Cytokeratin 14 |
| Gene ID (NCBI) | 3861 |
| RRID | AB_2134831 |
| 偶联类型 | Unconjugated |
| 形式 | Liquid |
| 纯化方式 | Antigen affinity purification |
| UNIPROT ID | P02533 |
| 储存缓冲液 | PBS with 0.02% sodium azide and 50% glycerol, pH 7.3. |
| 储存条件 | Store at -20°C. Stable for one year after shipment. Aliquoting is unnecessary for -20oC storage. |
背景介绍
Keratins are a large family of proteins that form the intermediate filament cytoskeleton of epithelial cells, which are classified into two major sequence types. Type I keratins are a group of acidic intermediate filament proteins, including K9-K23, and the hair keratins Ha1-Ha8. Type II keratins are the basic or neutral courterparts to the acidic type I keratins, including K1-K8, and the hair keratins, Hb1-Hb6. Keratin 14 is a type I cytokeratin. It is usually found as a heterotetramer with keratin 5. Keratins K14 and K5 have long been considered to be biochemical markers of the stratified squamous epithelia, including epidermis.
实验方案
| Product Specific Protocols | |
|---|---|
| FC protocol for Cytokeratin 14 antibody 10143-1-AP | Download protocol |
| IF protocol for Cytokeratin 14 antibody 10143-1-AP | Download protocol |
| IHC protocol for Cytokeratin 14 antibody 10143-1-AP | Download protocol |
| IP protocol for Cytokeratin 14 antibody 10143-1-AP | Download protocol |
| WB protocol for Cytokeratin 14 antibody 10143-1-AP | Download protocol |
| Standard Protocols | |
|---|---|
| Click here to view our Standard Protocols |
发表文章
| Species | Application | Title |
|---|---|---|
Cell Stem Cell Injury Induces Endogenous Reprogramming and Dedifferentiation of Neuronal Progenitors to Multipotency. | ||
Bioact Mater Biomimetic gender-specific human skin model based on gonads/epidermis-on-a-chip | ||
Adv Sci (Weinh) Photothermal-Responsive Soluble Microneedle Patches for Meibomian Gland Dysfunction Therapy | ||
Nat Commun Malfunction of airway basal stem cells plays a crucial role in pathophysiology of tracheobronchopathia osteoplastica. | ||
Nat Commun Human induced pluripotent stem cell-derived vocal fold mucosa mimics development and responses to smoke exposure. | ||
Biomaterials MSC-derived exosomes protect against oxidative stress-induced skin injury via adaptive regulation of the NRF2 defense system. |




























