验证数据展示
经过测试的应用
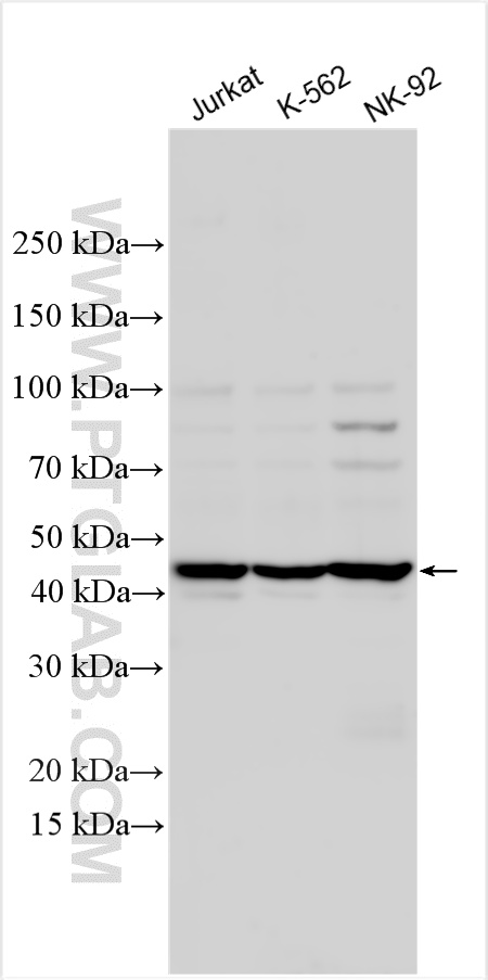
| Positive WB detected in | Jurkat cells, K-562 cells, NK-92 cells |
推荐稀释比
| 应用 | 推荐稀释比 |
|---|---|
| Western Blot (WB) | WB : 1:500-1:2000 |
| It is recommended that this reagent should be titrated in each testing system to obtain optimal results. | |
| Sample-dependent, Check data in validation data gallery. | |
产品信息
13332-1-AP targets CD94 in WB, ELISA applications and shows reactivity with human samples.
| 经测试应用 | WB, ELISA Application Description |
| 经测试反应性 | human |
| 免疫原 |
CatNo: Ag4142 Product name: Recombinant human KLRD1 protein Source: e coli.-derived, PGEX-4T Tag: GST Domain: 36-179 aa of BC028009 Sequence: TKLSIEPAFTPGPNIELQKDSDCCSCQEKWVGYRCNCYFISSEQKTWNESRHLCASQKSSLLQLQNTDELDFMSSSQQFYWIGLSYSEEHTAWLWENGSALSQYLFPSFETFNTKNCIAYNPNGNALDESCEDKNRYICKQQLI 种属同源性预测 |
| 宿主/亚型 | Rabbit / IgG |
| 抗体类别 | Polyclonal |
| 产品类型 | Antibody |
| 全称 | killer cell lectin-like receptor subfamily D, member 1 |
| 别名 | NK cell receptor, KP43, KLRD1, Killer cell lectin-like receptor subfamily D member 1 |
| 计算分子量 | 179 aa, 20 kDa |
| 观测分子量 | 43 kDa |
| GenBank蛋白编号 | BC028009 |
| 基因名称 | CD94 |
| Gene ID (NCBI) | 3824 |
| RRID | AB_10637852 |
| 偶联类型 | Unconjugated |
| 形式 | Liquid |
| 纯化方式 | Antigen affinity purification |
| UNIPROT ID | Q13241 |
| 储存缓冲液 | PBS with 0.02% sodium azide and 50% glycerol, pH 7.3. |
| 储存条件 | Store at -20°C. Stable for one year after shipment. Aliquoting is unnecessary for -20oC storage. |
背景介绍
CD94, also known as KLRD1, is a membrane protein that is preferentially expressed on NK cells. CD94 can form disulfide-bonded heterodimers with NKG2 family members. The CD94/NKG2A heterodimer constitutes an inhibitory receptor that recognizes HLA-E.
实验方案
| Product Specific Protocols | |
|---|---|
| WB protocol for CD94 antibody 13332-1-AP | Download protocol |
| Standard Protocols | |
|---|---|
| Click here to view our Standard Protocols |
