验证数据展示
经过测试的应用
| Positive IP detected in | DU 145 cells |
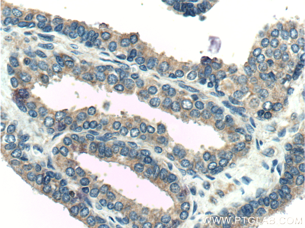
| Positive IHC detected in | human prostate hyperplasia tissue Note: suggested antigen retrieval with TE buffer pH 9.0; (*) Alternatively, antigen retrieval may be performed with citrate buffer pH 6.0 |
推荐稀释比
| 应用 | 推荐稀释比 |
|---|---|
| Immunoprecipitation (IP) | IP : 0.5-4.0 ug for 1.0-3.0 mg of total protein lysate |
| Immunohistochemistry (IHC) | IHC : 1:50-1:500 |
| It is recommended that this reagent should be titrated in each testing system to obtain optimal results. | |
| Sample-dependent, Check data in validation data gallery. | |
产品信息
26547-1-AP targets KLK4 in WB, IHC, IF, IP, ELISA applications and shows reactivity with human samples.
| 经测试应用 | IP, IHC, ELISA Application Description |
| 文献引用应用 | WB, IHC, IF |
| 经测试反应性 | human |
| 文献引用反应性 | human, mouse |
| 免疫原 |
CatNo: Ag24240 Product name: Recombinant human KLK4 protein Source: e coli.-derived, PGEX-4T Tag: GST Domain: 67-114 aa of BC069325 Sequence: LSAAHCFQNSYTIGLGLHSLEADQEPGSQMVEASLSVRHPEYNRPLLA 种属同源性预测 |
| 宿主/亚型 | Rabbit / IgG |
| 抗体类别 | Polyclonal |
| 产品类型 | Antibody |
| 全称 | kallikrein-related peptidase 4 |
| 别名 | ARM1, EMSP, EMSP1, Kallikrein 4, Kallikrein like protein 1, kallikrein related peptidase 4, KLK L1, KLK4, PROSTASE, PRSS17, PSTS, Serine protease 17 |
| 计算分子量 | 254 aa, 27 kDa |
| 观测分子量 | 30 kDa |
| GenBank蛋白编号 | BC069325 |
| 基因名称 | KLK4 |
| Gene ID (NCBI) | 9622 |
| RRID | AB_2880548 |
| 偶联类型 | Unconjugated |
| 形式 | Liquid |
| 纯化方式 | Antigen affinity purification |
| UNIPROT ID | Q9Y5K2 |
| 储存缓冲液 | PBS with 0.02% sodium azide and 50% glycerol, pH 7.3. |
| 储存条件 | Store at -20°C. Stable for one year after shipment. Aliquoting is unnecessary for -20oC storage. |
实验方案
| Product Specific Protocols | |
|---|---|
| IHC protocol for KLK4 antibody 26547-1-AP | Download protocol |
| IP protocol for KLK4 antibody 26547-1-AP | Download protocol |
| Standard Protocols | |
|---|---|
| Click here to view our Standard Protocols |
发表文章
| Species | Application | Title |
|---|---|---|
Am J Pathol Kallikrein-Related Peptidase 4 Promotes Proliferation, Migration, Invasion, and Pro-Angiogenesis of Endometrial Stromal Cells via Regulation of Brain-Derived Neurotrophic Factor Production in Endometriosis | ||
Mol Cell Biochem METTL16 promotes progression of clear cell renal cell carcinoma via up-regulating N6-methyladenosine modification of KLK4 mRNA |


