验证数据展示
经过测试的应用
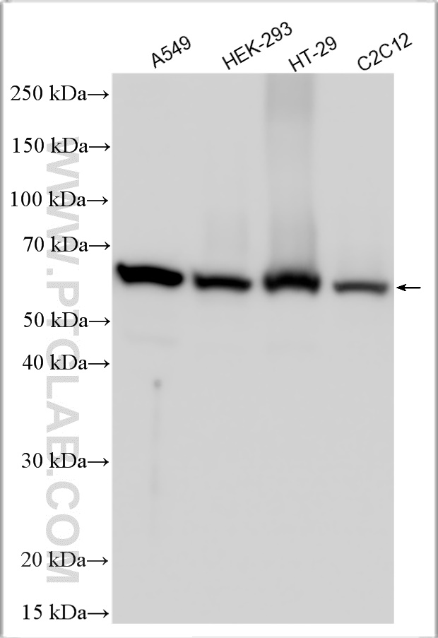
| Positive WB detected in | A431 cells, A549 cells, HUVEC cells, NCCIT cells, HEK-293 cells, HT-29 cells, C2C12 cells, HT-1080 cells, HeLa cells, mouse liver tissue, mouse lung tissue |
| Positive IP detected in | HeLa cells |
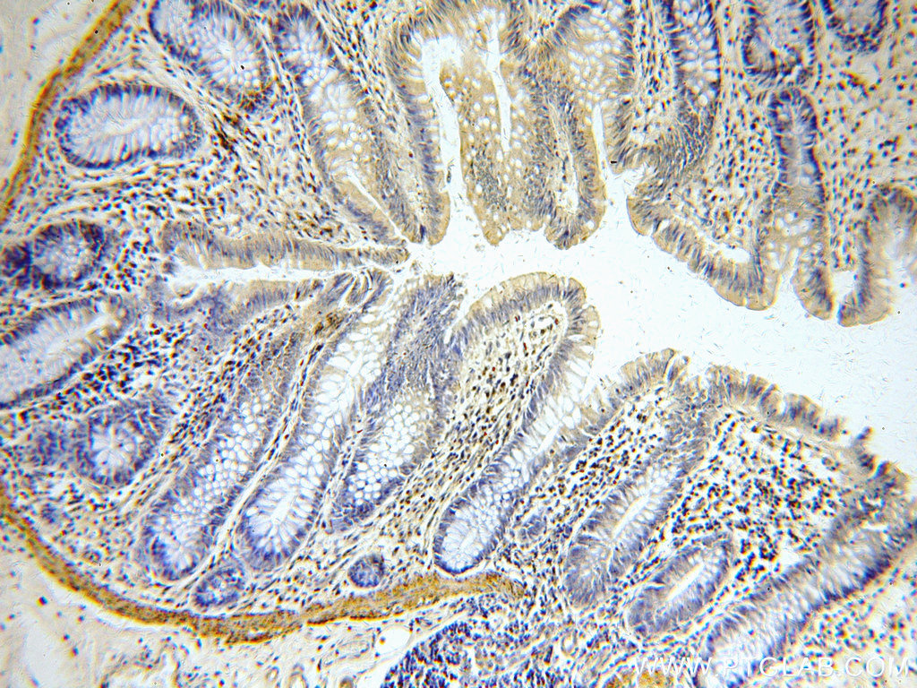
| Positive IHC detected in | mouse embryo tissue, human tonsil tissue, human spleen tissue, human colon tissue Note: suggested antigen retrieval with TE buffer pH 9.0; (*) Alternatively, antigen retrieval may be performed with citrate buffer pH 6.0 |
| Positive IF/ICC detected in | human embronic stem cells |
| Positive FC (Intra) detected in | HeLa cells |
推荐稀释比
| 应用 | 推荐稀释比 |
|---|---|
| Western Blot (WB) | WB : 1:1000-1:8000 |
| Immunoprecipitation (IP) | IP : 0.5-4.0 ug for 1.0-3.0 mg of total protein lysate |
| Immunohistochemistry (IHC) | IHC : 1:50-1:500 |
| Immunofluorescence (IF)/ICC | IF/ICC : 1:20-1:200 |
| Flow Cytometry (FC) (INTRA) | FC (INTRA) : 0.40 ug per 10^6 cells in a 100 µl suspension |
| It is recommended that this reagent should be titrated in each testing system to obtain optimal results. | |
| Sample-dependent, Check data in validation data gallery. | |
产品信息
11880-1-AP targets KLF4 in WB, IHC, IF/ICC, FC (Intra), IP, chIP, ELISA applications and shows reactivity with human, mouse, rat samples.
| 经测试应用 | WB, IHC, IF/ICC, FC (Intra), IP, ELISA Application Description |
| 文献引用应用 | WB, IHC, IF, IP, chIP |
| 经测试反应性 | human, mouse, rat |
| 文献引用反应性 | human, mouse, rat |
| 免疫原 |
CatNo: Ag2480 Product name: Recombinant human KLF4 protein Source: e coli.-derived, PGEX-4T Tag: GST Domain: 204-504 aa of BC030811 Sequence: IPPQQPQPPGGGLMGKFVLKASLSAPGSEYGSPSVISVSKGSPDGSHPVVVAPYNGGPPRTCPKIKQEAVSSCTHLGAGPPLSNGHRPAAHDFPLGRQLPSRTTPTLGLEEVLSSRDCHPALPLPPGFHPHPGPNYPSFLPDQMQPQVPPLHYQGQSRGFVARAGEPCVCWPHFGTHGMMLTPPSSPLELMPPGSCMPEEPKPKRGRRSWPRKRTATHTCDYAGCGKTYTKSSHLKAHLRTHTGEKPYHCDWDGCGWKFARSDELTRHYRKHTGHRPFQCQKCDRAFSRSDHLALHMKRHF 种属同源性预测 |
| 宿主/亚型 | Rabbit / IgG |
| 抗体类别 | Polyclonal |
| 产品类型 | Antibody |
| 全称 | Kruppel-like factor 4 (gut) |
| 别名 | Krueppel-like factor 4, Krueppel like factor 4, GKLF, EZF |
| 计算分子量 | 504 aa, 54 kDa |
| 观测分子量 | 50-60 kDa |
| GenBank蛋白编号 | BC030811 |
| 基因名称 | KLF4 |
| Gene ID (NCBI) | 9314 |
| RRID | AB_10640807 |
| 偶联类型 | Unconjugated |
| 形式 | Liquid |
| 纯化方式 | Antigen affinity purification |
| UNIPROT ID | O43474 |
| 储存缓冲液 | PBS with 0.02% sodium azide and 50% glycerol, pH 7.3. |
| 储存条件 | Store at -20°C. Stable for one year after shipment. Aliquoting is unnecessary for -20oC storage. |
背景介绍
The mammalian Krüppel-like transcription factor 4 (Klf4) is an evolutionarily conserved zinc finger-containing transcription factor with diverse regulatory functions in cell growth, proliferation, differentiation and embryogenesis. It also plays a significant role in the process of tumorigenesis. Klf4 is one of the key transcription factors that have been used to reprogram mouse and human fibroblasts to a pluripotent state also called induced pluripotent stem (iPS) cells. Affinity purified rabbit anti- Klf4 is for the detection of Klf4 transgene expression in the process of reprogramming. There are two isoforms of KLF4 (PMID: 15561714), with MW range from 50 to 60 kDa,and major band is 55 kDa. KLF4 protein can be ubiquitin modified.
实验方案
| Product Specific Protocols | |
|---|---|
| WB protocol for KLF4 antibody 11880-1-AP | Download protocol |
| IHC protocol for KLF4 antibody 11880-1-AP | Download protocol |
| IP protocol for KLF4 antibody 11880-1-AP | Download protocol |
| FC protocol for KLF4 antibody 11880-1-AP | Download protocol |
| Standard Protocols | |
|---|---|
| Click here to view our Standard Protocols |
发表文章
| Species | Application | Title |
|---|---|---|
Nat Metab Maternal exercise prevents metabolic disorders in offspring mice through SERPINA3C | ||
Nat Commun Klf4 glutamylation is required for cell reprogramming and early embryonic development in mice. | ||
Nat Commun LncBRM initiates YAP1 signalling activation to drive self-renewal of liver cancer stem cells. | ||
J Exp Clin Cancer Res FOLR2+ macrophage depletion from intestinal metaplasia to early gastric cancer: single-cell sequencing insight into gastric cancer progression | ||
J Hematol Oncol A novel lncRNA ROPM-mediated lipid metabolism governs breast cancer stem cell properties. | ||
Mater Today Bio Cellular reprogramming with multigene activation by the delivery of CRISPR/dCas9 ribonucleoproteins via magnetic peptide-imprinted chitosan nanoparticles. |
















