验证数据展示
经过测试的应用
| Positive WB detected in | HeLa cells, U-87 MG cells |
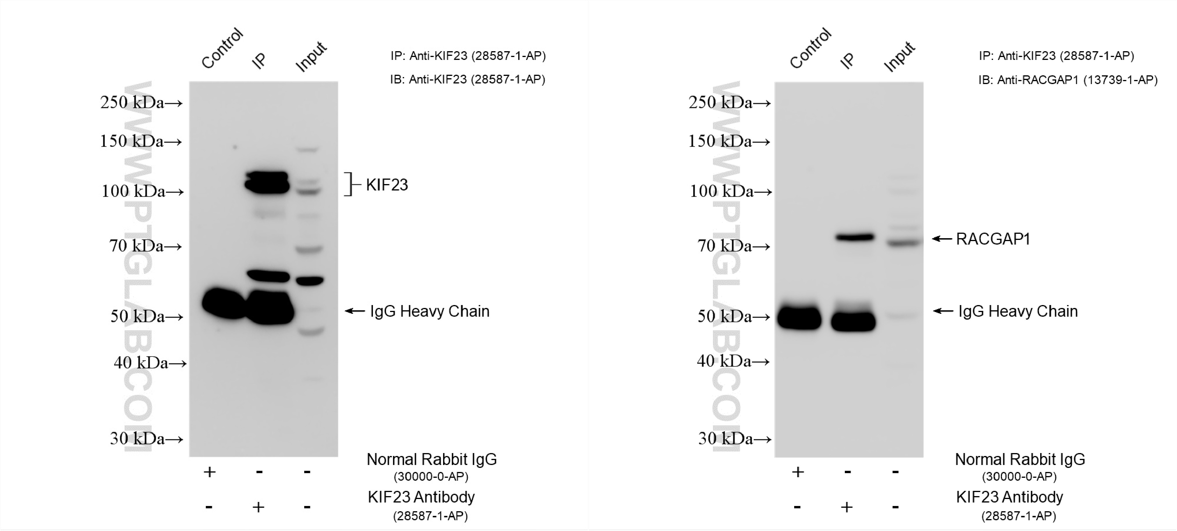
| Positive IP detected in | K-562 cells |
| Positive IHC detected in | human stomach cancer tissue, human liver cancer tissue Note: suggested antigen retrieval with TE buffer pH 9.0; (*) Alternatively, antigen retrieval may be performed with citrate buffer pH 6.0 |
| Positive IF/ICC detected in | HepG2 cells |
推荐稀释比
| 应用 | 推荐稀释比 |
|---|---|
| Western Blot (WB) | WB : 1:1000-1:5000 |
| Immunoprecipitation (IP) | IP : 0.5-4.0 ug for 1.0-3.0 mg of total protein lysate |
| Immunohistochemistry (IHC) | IHC : 1:50-1:500 |
| Immunofluorescence (IF)/ICC | IF/ICC : 1:200-1:800 |
| It is recommended that this reagent should be titrated in each testing system to obtain optimal results. | |
| Sample-dependent, Check data in validation data gallery. | |
产品信息
28587-1-AP targets KIF23 in WB, IHC, IF/ICC, IP, ELISA applications and shows reactivity with human samples.
| 经测试应用 | WB, IHC, IF/ICC, IP, ELISA Application Description |
| 文献引用应用 | WB, IHC, IF |
| 经测试反应性 | human |
| 文献引用反应性 | human, mouse |
| 免疫原 |
CatNo: Ag29346 Product name: Recombinant human KIF23 protein Source: e coli.-derived, PGEX-4T Tag: GST Domain: 486-683 aa of NM_138555 Sequence: LDINDEQTLPRLIEALEKRHNLRQMMIDEFNKQSNAFKALLQEFDNAVLSKENHMQGKLNEKEKMISGQKLEIERLEKKNKTLEYKIEILEKTTTIYEEDKRNLQQELETQNQKLQRQFSDKRRLEARLQGMVTETTMKWEKECERRVAAKQLEMQNKLWVKDEKLKQLKAIVTEPKTEKPERPSRERDREKVTQRSV 种属同源性预测 |
| 宿主/亚型 | Rabbit / IgG |
| 抗体类别 | Polyclonal |
| 产品类型 | Antibody |
| 全称 | kinesin family member 23 |
| 别名 | KNSL5, MKLP1 |
| 计算分子量 | 110 kDa |
| 观测分子量 | 110 kDa |
| GenBank蛋白编号 | NM_138555 |
| 基因名称 | KIF23 |
| Gene ID (NCBI) | 9493 |
| RRID | AB_2881176 |
| 偶联类型 | Unconjugated |
| 形式 | Liquid |
| 纯化方式 | Antigen affinity purification |
| UNIPROT ID | Q02241 |
| 储存缓冲液 | PBS with 0.02% sodium azide and 50% glycerol, pH 7.3. |
| 储存条件 | Store at -20°C. Stable for one year after shipment. Aliquoting is unnecessary for -20oC storage. |
背景介绍
KIF23, also known as KNSL5 and MKLP1, is a member of the kinesin-like protein family. It plays a crucial role in cytokinesis, the final stage of cell division. It is involved in the formation of the central spindle, which is essential for the proper separation of the cytoplasm and the formation of the cleavage furrow. KIF23 is also involved in the organization and transport of intracellular vesicles and organelles. Mutations in KIF23 have been associated with congenital dyserythropoietic anemia type III(PMID: 23570799).
实验方案
| Product Specific Protocols | |
|---|---|
| IF protocol for KIF23 antibody 28587-1-AP | Download protocol |
| IHC protocol for KIF23 antibody 28587-1-AP | Download protocol |
| IP protocol for KIF23 antibody 28587-1-AP | Download protocol |
| WB protocol for KIF23 antibody 28587-1-AP | Download protocol |
| Standard Protocols | |
|---|---|
| Click here to view our Standard Protocols |
发表文章
| Species | Application | Title |
|---|---|---|
Cell Biosci TPM2 attenuates progression of prostate cancer by blocking PDLIM7-mediated nuclear translocation of YAP1 | ||
PLoS Biol The ciliopathy protein CCDC66 controls mitotic progression and cytokinesis by promoting microtubule nucleation and organization. | ||
Front Cell Dev Biol Identification of KIF23 as a Prognostic Biomarker Associated With Progression of Clear Cell Renal Cell Carcinoma.
| ||
Front Immunol HBx Mediated Increase of DDX17 Contributes to HBV-Related Hepatocellular Carcinoma Tumorigenesis. | ||
Toxicol Appl Pharmacol Kinesin family member 23 exerts a protumor function in breast cancer via stimulation of the Wnt/β-catenin pathway.
| ||
Cell Rep Augmin-dependent microtubule self-organization drives kinetochore fiber maturation in mammals.
|




