验证数据展示
经过测试的应用
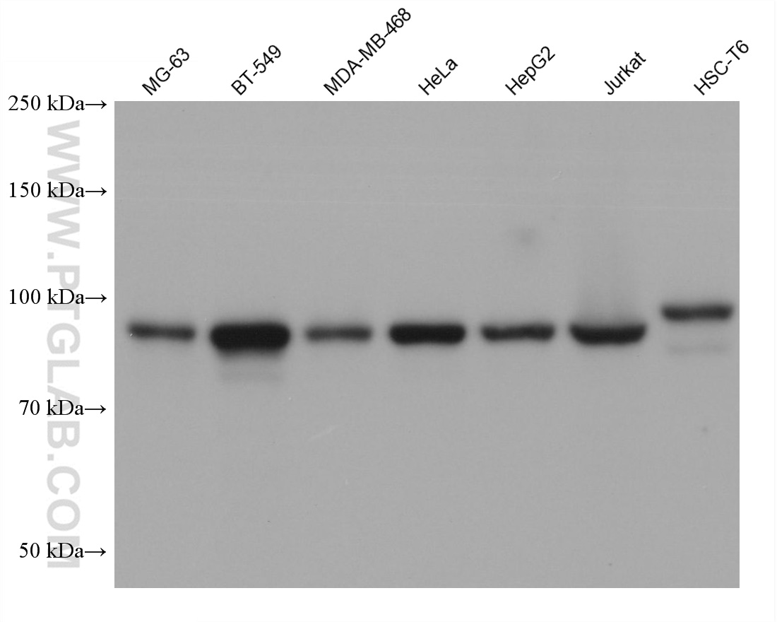
| Positive WB detected in | HepG2 cells, HeLa cells, MG-63 cells, HEK-293 cells, Jurkat cells, HL-60 cells, HSC-T6 cells, PC-12 cells, NIH/3T3 cells, BT-549 cells, MDA-MB-468 cells |
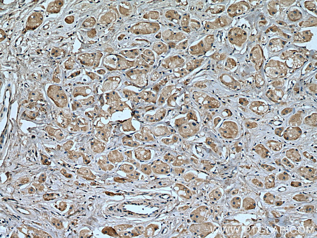
| Positive IHC detected in | human breast cancer tissue, human pancreas cancer tissue Note: suggested antigen retrieval with TE buffer pH 9.0; (*) Alternatively, antigen retrieval may be performed with citrate buffer pH 6.0 |
| Positive IF/ICC detected in | HeLa cells |
推荐稀释比
| 应用 | 推荐稀释比 |
|---|---|
| Western Blot (WB) | WB : 1:5000-1:50000 |
| Immunohistochemistry (IHC) | IHC : 1:200-1:800 |
| Immunofluorescence (IF)/ICC | IF/ICC : 1:200-1:800 |
| It is recommended that this reagent should be titrated in each testing system to obtain optimal results. | |
| Sample-dependent, Check data in validation data gallery. | |
产品信息
67190-1-Ig targets KIF20A in WB, IHC, IF/ICC, ELISA applications and shows reactivity with human, mouse, rat samples.
| 经测试应用 | WB, IHC, IF/ICC, ELISA Application Description |
| 文献引用应用 | WB, IHC, IF |
| 经测试反应性 | human, mouse, rat |
| 文献引用反应性 | human, mouse |
| 免疫原 |
CatNo: Ag8916 Product name: Recombinant human KIF20A protein Source: e coli.-derived, PET28a Tag: 6*His Domain: 1-351 aa of BC012999 Sequence: MSQGILSPPAGLLSDDDVVVSPMFESTAADLGSVVRKNLLSDCSVVSTSLEDKQQVPSEDSMEKVKVYLRVRPLLPSELERQEDQGCVRIENVETLVLQAPKDSFALKSNERGIGQATHRFTFSQIFGPEVGQASFFNLTVKEMVKDVLKGQNWLIYTYGVTNSGKTHTIQGTIKDGGILPRSLALIFNSLQGQLHPTPDLKPLLSNEVIWLDSKQIRQEEMKKLSLLNGGLQEEELSTSLKRSVYIESRIGTSTSFDSGIAGLSSISQCTSSSQLDETSHRWAQPDTAPLPVPANIRFSIWISFFEIYNELLYDLLEPPSQQRKRQTLRLCEDQNGNPYVKDLNWIHVQD 种属同源性预测 |
| 宿主/亚型 | Mouse / IgG1 |
| 抗体类别 | Monoclonal |
| 产品类型 | Antibody |
| 全称 | kinesin family member 20A |
| 别名 | 2A8E3, FLJ21151, GG10_2, Kinesin-like protein KIF20A, Mitotic kinesin-like protein 2 |
| 计算分子量 | 890 aa, 100 kDa |
| 观测分子量 | 100 kDa |
| GenBank蛋白编号 | BC012999 |
| 基因名称 | KIF20A |
| Gene ID (NCBI) | 10112 |
| RRID | AB_2882485 |
| 偶联类型 | Unconjugated |
| 形式 | Liquid |
| 纯化方式 | Protein G purification |
| UNIPROT ID | O95235 |
| 储存缓冲液 | PBS with 0.02% sodium azide and 50% glycerol, pH 7.3. |
| 储存条件 | Store at -20°C. Stable for one year after shipment. Aliquoting is unnecessary for -20oC storage. |
背景介绍
KIF20A, also known as RAB6KIFL or MKlp2, is a kinesin originally identified as a binding partner for the rab6 GTPase involved in protein transport at the Golgi apparatus. KIF20A belongs to a large family of motor proteins that accumulate in mitotic cells and is required for normal cell division. KIF20A is thought to be involved in carcinogenesis. In normal tissues KIF20A is almost undetectable while it is overexpressed in various cancers. KIF20A has been identified as a novel promising candidate for anticancer immunotherapy.
实验方案
| Product Specific Protocols | |
|---|---|
| IF protocol for KIF20A antibody 67190-1-Ig | Download protocol |
| IHC protocol for KIF20A antibody 67190-1-Ig | Download protocol |
| WB protocol for KIF20A antibody 67190-1-Ig | Download protocol |
| Standard Protocols | |
|---|---|
| Click here to view our Standard Protocols |
发表文章
| Species | Application | Title |
|---|---|---|
Dev Cell DDX20 is required for cell-cycle reentry of prospermatogonia and establishment of spermatogonial stem cell pool during testicular development in mice | ||
Proc Natl Acad Sci U S A Maternal genetic variants in kinesin motor domains prematurely increase egg aneuploidy | ||
Cancer Res Proteomic mapping and targeting of mitotic pericentriolar material in tumors bearing centrosome amplification. | ||
Genomics Upregulation of the key biomarker kinesin family member 20A (KIF20A) is associated with the pulmonary artery hypertension | ||
medRxiv Maternal genetic variants in kinesin motor domains prematurely increase egg aneuploidy | ||







