验证数据展示
经过测试的应用
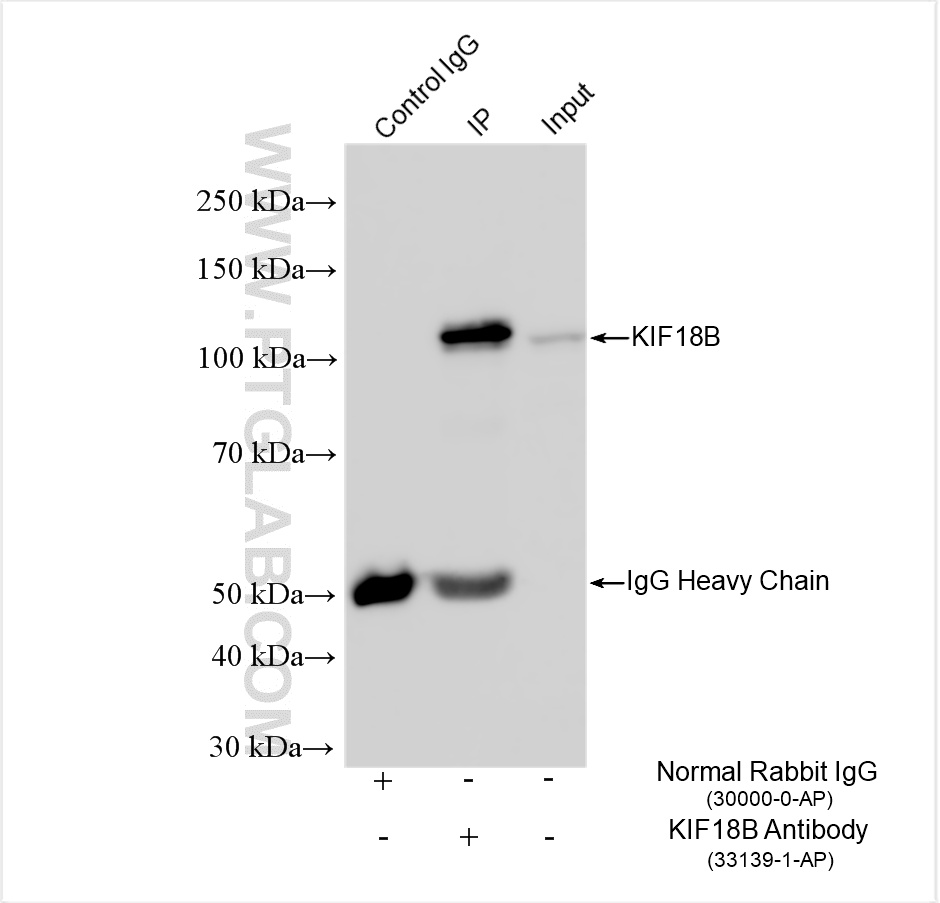
| Positive IP detected in | Jurkat cells |
| Positive IF/ICC detected in | U2OS cells, Jurkat cells |
推荐稀释比
| 应用 | 推荐稀释比 |
|---|---|
| Immunoprecipitation (IP) | IP : 0.5-4.0 ug for 1.0-3.0 mg of total protein lysate |
| Immunofluorescence (IF)/ICC | IF/ICC : 1:200-1:800 |
| It is recommended that this reagent should be titrated in each testing system to obtain optimal results. | |
| Sample-dependent, Check data in validation data gallery. | |
产品信息
33139-1-AP targets KIF18B in IF/ICC, IP, ELISA applications and shows reactivity with human samples.
| 经测试应用 | IF/ICC, IP, ELISA Application Description |
| 经测试反应性 | human |
| 免疫原 |
CatNo: Ag36663 Product name: Recombinant human KIF18B protein Source: e coli.-derived, PGEX-4T Tag: GST Domain: 1-110 aa of BC136590 Sequence: MAVEDSTLQVVVRVRPPTPRELDSQRRPVVQVVDERVLVFNPEEPDGGFPGLKWGGTHDGPKKKGKDLTFVFDRVFGEAATQQDVFQHTTHSVLDSFLQGYNCSVFAYGA 种属同源性预测 |
| 宿主/亚型 | Rabbit / IgG |
| 抗体类别 | Polyclonal |
| 产品类型 | Antibody |
| 全称 | kinesin family member 18B |
| 别名 | Kinesin-like protein KIF18B |
| 计算分子量 | 852 aa, 93 kDa/833 aa, 91 kDa |
| 观测分子量 | 100 kDa |
| GenBank蛋白编号 | BC136590 |
| 基因名称 | KIF18B |
| Gene ID (NCBI) | 146909 |
| 偶联类型 | Unconjugated |
| 形式 | Liquid |
| 纯化方式 | Antigen affinity Purification |
| UNIPROT ID | Q86Y91 |
| 储存缓冲液 | PBS with 0.02% sodium azide and 50% glycerol, pH 7.3. |
| 储存条件 | Store at -20°C. Stable for one year after shipment. Aliquoting is unnecessary for -20oC storage. |
背景介绍
KIF18B is a key member of the kinesin-8 family, involved in regulating various physiological processes such as microtubule length, spindle assembly, and chromosome alignment. This article briefly introduces the structure and physiological functions of KIF18B, examines its role in malignant tumors, and the associated carcinogenic signaling pathways such as PI3K/AKT, Wnt/β-catenin, and mTOR pathways. Research indicates that the upregulation of KIF18B enhances tumor malignancy and resistance to radiotherapy and chemotherapy. KIF18B could become a new target for anticancer drugs, offering significant potential for the treatment of malignant tumors and reducing chemotherapy resistance (PMID: 39259333).
实验方案
| Product Specific Protocols | |
|---|---|
| IF protocol for KIF18B antibody 33139-1-AP | Download protocol |
| IP protocol for KIF18B antibody 33139-1-AP | Download protocol |
| Standard Protocols | |
|---|---|
| Click here to view our Standard Protocols |


