验证数据展示
经过测试的应用
| Positive WB detected in | HEK-293 cells, Jurkat cells |
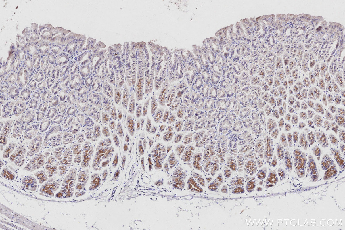
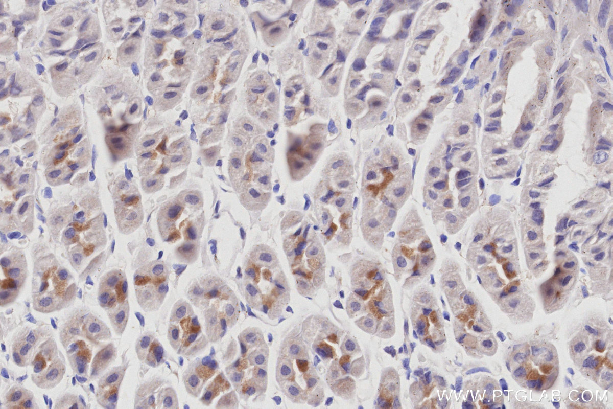
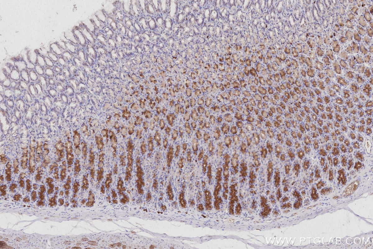
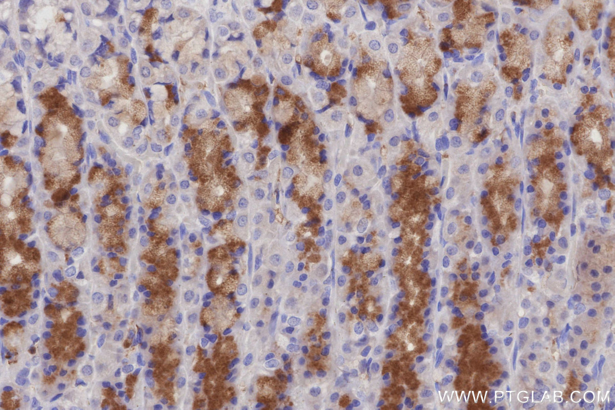
| Positive IHC detected in | mouse stomach tissue, rat stomach tissue Note: suggested antigen retrieval with TE buffer pH 9.0; (*) Alternatively, antigen retrieval may be performed with citrate buffer pH 6.0 |
推荐稀释比
| 应用 | 推荐稀释比 |
|---|---|
| Western Blot (WB) | WB : 1:1000-1:6000 |
| Immunohistochemistry (IHC) | IHC : 1:1000-1:4000 |
| It is recommended that this reagent should be titrated in each testing system to obtain optimal results. | |
| Sample-dependent, Check data in validation data gallery. | |
发表文章中的应用
| WB | See 1 publications below |
产品信息
66748-1-Ig targets KIDINS220 in WB, IHC, ELISA applications and shows reactivity with human, mouse, rat samples.
| 经测试应用 | WB, IHC, ELISA Application Description |
| 文献引用应用 | WB |
| 经测试反应性 | human, mouse, rat |
| 文献引用反应性 | human |
| 免疫原 |
CatNo: Ag17624 Product name: Recombinant human KIDINS220 protein Source: e coli.-derived, PET28a Tag: 6*His Domain: 1374-1672 aa of BC130610 Sequence: LDPITEEDEKSDQSGSKLLPGKKSSERSSLFQTDLKLKGSGLRYQKLPSDEDESGTEESDNTPLLKDDKDRKAEGKVERVPKSPEHSAEPIRTFIKAKEYLSDALLDKKDSSDSGVRSSESSPNHSLHNEVADDSQLEKANLIELEDDSHSGKRGIPHSLSGLQDPIIARMSICSEDKKSPSECSLIASSPEENWPACQKAYNLNRTPSTVTLNNNSAPANRANQNFDEMEGIRETSQVILRPSSSPNPTTIQNENLKSMTHKRSQRSSYTRLSKDPPELHAAASSESTGFGEERESIL 种属同源性预测 |
| 宿主/亚型 | Mouse / IgG2b |
| 抗体类别 | Monoclonal |
| 产品类型 | Antibody |
| 全称 | kinase D-interacting substrate, 220kDa |
| 别名 | 3G2D8, Ankyrin repeat-rich membrane-spanning protein, ARMS, KIDINS 220, Kinase D-interacting substrate of 220 kDa |
| 计算分子量 | 1672 aa, 187 kDa |
| 观测分子量 | 200 kDa |
| GenBank蛋白编号 | BC130610 |
| 基因名称 | KIDINS220 |
| Gene ID (NCBI) | 57498 |
| RRID | AB_2882095 |
| 偶联类型 | Unconjugated |
| 形式 | Liquid |
| 纯化方式 | Protein A purification |
| UNIPROT ID | Q9ULH0 |
| 储存缓冲液 | PBS with 0.02% sodium azide and 50% glycerol, pH 7.3. |
| 储存条件 | Store at -20°C. Stable for one year after shipment. Aliquoting is unnecessary for -20oC storage. |
背景介绍
Kidins220 (Kinase D-interacting substrate 220 kD) is a crucial mediator of signal transduction in neural tissues. Also it named ARMS(Ankyrin Repeat-Rich Membrane Spanning) due to the presence of ankyrin repeats and transmembrane domains together with other binding motifs. It is a multidomain transmembrane protein that not only transduces signaling mediated by the receptor tyrosine kinase (RTK), but also regulates the stability of cytoskeletal network through a number of cytoskeleton-associated proteins, including Septin5, MAPs , and stathmin family members. KIDINS220 exists some isoforms with MV 194 kDa, 185 kDa, 115 kDa, and 60 kDa.
实验方案
| Product Specific Protocols | |
|---|---|
| IHC protocol for KIDINS220 antibody 66748-1-Ig | Download protocol |
| WB protocol for KIDINS220 antibody 66748-1-Ig | Download protocol |
| Standard Protocols | |
|---|---|
| Click here to view our Standard Protocols |




