验证数据展示
经过测试的应用
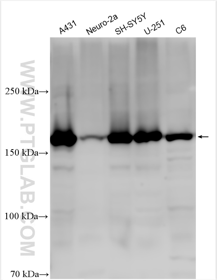
| Positive WB detected in | A431 cells, HeLa cells, Neuro-2a cells, SH-SY5Y cells, U-251 cells, C6 cells |
推荐稀释比
| 应用 | 推荐稀释比 |
|---|---|
| Western Blot (WB) | WB : 1:500-1:2000 |
| It is recommended that this reagent should be titrated in each testing system to obtain optimal results. | |
| Sample-dependent, Check data in validation data gallery. | |
产品信息
30140-1-AP targets KIAA1797 in WB, ELISA applications and shows reactivity with Human, mouse, rat samples.
| 经测试应用 | WB, ELISA Application Description |
| 经测试反应性 | Human, mouse, rat |
| 免疫原 |
CatNo: Ag31233 Product name: Recombinant human KIAA1797 protein Source: e coli.-derived, PET28a Tag: 6*His Domain: 230-502 aa of BC001246 Sequence: LLSEATGKIFDLLPNKIRRKDLELYISIAKCLLEMTDDDANRIAQVTKSNIEKAAFVKLYLVSQGRFPLVNLTDMLSVAVQHREKEVLAWMILHSLYQARIVSHANTGVLKRMEWLLELMGYIRNVAYQSTSFHNTALDEALDFFLLIFATAVVAWADHTAPLLLGLSASWLPWHQENGPAGPVPSFLGRSPMHRVTLQEVLTLLPNSMALLLQKEPWKEQTQKFIDWLFSIMESPKEALSAQSRDLLKATLLSLRVLPEFKKKAVWTRAYGW 种属同源性预测 |
| 宿主/亚型 | Rabbit / IgG |
| 抗体类别 | Polyclonal |
| 产品类型 | Antibody |
| 全称 | KIAA1797 |
| 别名 | FLJ20375, KIAA1797 |
| 观测分子量 | 160-170 kDa |
| GenBank蛋白编号 | BC001246 |
| 基因名称 | KIAA1797 |
| Gene ID (NCBI) | 54914 |
| RRID | AB_3086244 |
| 偶联类型 | Unconjugated |
| 形式 | Liquid |
| 纯化方式 | Antigen affinity purification |
| UNIPROT ID | Q5VW36 |
| 储存缓冲液 | PBS with 0.02% sodium azide and 50% glycerol, pH 7.3. |
| 储存条件 | Store at -20°C. Stable for one year after shipment. Aliquoting is unnecessary for -20oC storage. |
背景介绍
KIAA1797 is a novel component of the focal adhesion complex expressed in glial and neuronal cells with a tumour suppressor function in gliomas, which is also named 'focadhesin' (PMID: 22427331).
实验方案
| Product Specific Protocols | |
|---|---|
| IF protocol for KIAA1797 antibody 30140-1-AP | Download protocol |
| WB protocol for KIAA1797 antibody 30140-1-AP | Download protocol |
| Standard Protocols | |
|---|---|
| Click here to view our Standard Protocols |


