验证数据展示
经过测试的应用
| Positive WB detected in | mouse testis tissue, mouse kidney tissue |
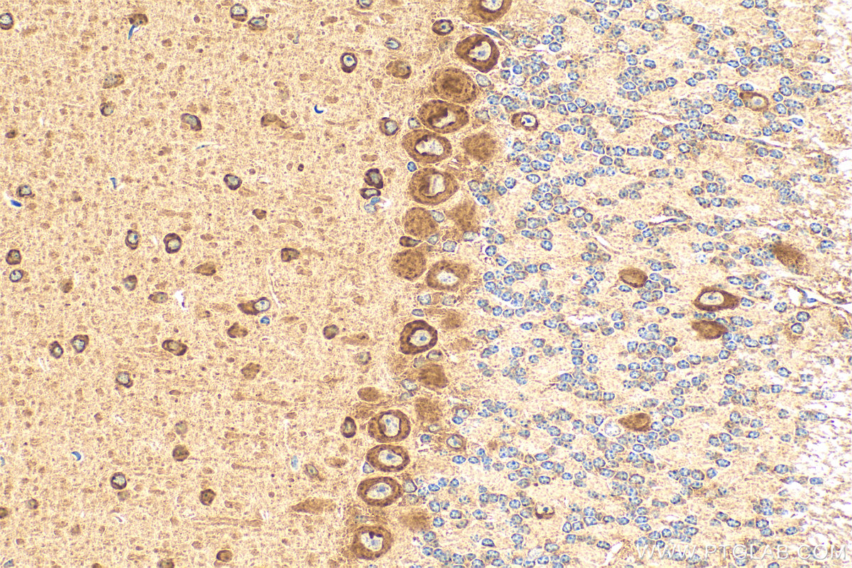
| Positive IHC detected in | mouse cerebellum tissue Note: suggested antigen retrieval with TE buffer pH 9.0; (*) Alternatively, antigen retrieval may be performed with citrate buffer pH 6.0 |
| Positive FC (Intra) detected in | U-251 cells |
推荐稀释比
| 应用 | 推荐稀释比 |
|---|---|
| Western Blot (WB) | WB : 1:5000-1:50000 |
| Immunohistochemistry (IHC) | IHC : 1:50-1:500 |
| Flow Cytometry (FC) (INTRA) | FC (INTRA) : 0.25 ug per 10^6 cells in a 100 µl suspension |
| It is recommended that this reagent should be titrated in each testing system to obtain optimal results. | |
| Sample-dependent, Check data in validation data gallery. | |
产品信息
83418-4-RR targets KIAA1715 in WB, IHC, FC (Intra), ELISA applications and shows reactivity with human, mouse samples.
| 经测试应用 | WB, IHC, FC (Intra), ELISA Application Description |
| 经测试反应性 | human, mouse |
| 免疫原 |
CatNo: Ag34669 Product name: Recombinant human KIAA1715 protein Source: e coli.-derived, PGEX-4T Tag: GST Domain: 236-428 aa of BC105132 Sequence: GLHPPGPPLARPILPRERGALDRIVEYLVGDGPQNRYALICQQCFSHNGMALKEEFEYIAFRCAYCFFLNPARKTRPQAPRLPEFSFEKRQVVEGSSSVGPLPSGSVLSSDNQFNEESLEHDVLDDNTEQTDDKIPATEQTNQVIEKASDSEEPEEKQETENEEASVIETNSTVPGADSIPDPELSGESLTAE 种属同源性预测 |
| 宿主/亚型 | Rabbit / IgG |
| 抗体类别 | Recombinant |
| 产品类型 | Antibody |
| 全称 | KIAA1715 |
| 别名 | LNP, 240211C7, ER junction formation factor lunapark, LNPK, Protein lunapark |
| 观测分子量 | 51 kDa |
| GenBank蛋白编号 | BC105132 |
| 基因名称 | KIAA1715 |
| Gene ID (NCBI) | 80856 |
| RRID | AB_3671066 |
| 偶联类型 | Unconjugated |
| 形式 | Liquid |
| 纯化方式 | Protein A purfication |
| UNIPROT ID | Q9C0E8 |
| 储存缓冲液 | PBS with 0.02% sodium azide and 50% glycerol, pH 7.3. |
| 储存条件 | Store at -20°C. Stable for one year after shipment. Aliquoting is unnecessary for -20oC storage. |
背景介绍
KIAA1715, also known as LNPK, is a member of the conserved Lunapark protein family. KIAA1715 is an endoplasmic reticulum (ER) membrane protein consisting of an N-terminal domain important for N-myristoylation and ER targeting, two transmembrane domains and a unique zinc finger domain. It has 4 isoforms produced by alternative splicing and acts mainly as a stabilizer of negative membrane curvature (PMID: 27619977).
实验方案
| Product Specific Protocols | |
|---|---|
| IHC protocol for KIAA1715 antibody 83418-4-RR | Download protocol |
| WB protocol for KIAA1715 antibody 83418-4-RR | Download protocol |
| Standard Protocols | |
|---|---|
| Click here to view our Standard Protocols |



