验证数据展示
经过测试的应用
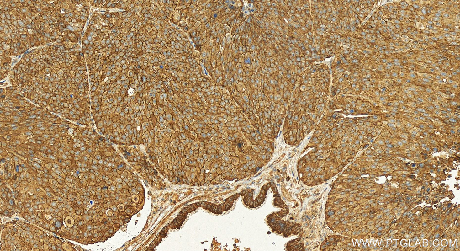
| Positive IHC detected in | human lung squamous cell carcinoma tissue Note: suggested antigen retrieval with TE buffer pH 9.0; (*) Alternatively, antigen retrieval may be performed with citrate buffer pH 6.0 |
推荐稀释比
| 应用 | 推荐稀释比 |
|---|---|
| Immunohistochemistry (IHC) | IHC : 1:50-1:500 |
| It is recommended that this reagent should be titrated in each testing system to obtain optimal results. | |
| Sample-dependent, Check data in validation data gallery. | |
产品信息
31198-1-AP targets KIAA1522 in IHC, ELISA applications and shows reactivity with human samples.
| 经测试应用 | IHC, ELISA Application Description |
| 经测试反应性 | human |
| 免疫原 |
CatNo: Ag35083 Product name: Recombinant human KIAA1522 protein Source: e coli.-derived, PGEX-4T Tag: GST Domain: 900-1035 aa of NM_001198972 Sequence: EPRPPQSPASTASFIFSKGSRKLQLERPVSPETQADLQRNLVAELRSISEQRPPQAPKKSPKAPPPVARKPSVGVPPPASPSYPRAEPLTAPPTNGLPHTQDRTKRELAENGGVLQLVGPEEKMGLPGSDSQKELA 种属同源性预测 |
| 宿主/亚型 | Rabbit / IgG |
| 抗体类别 | Polyclonal |
| 产品类型 | Antibody |
| 全称 | KIAA1522 |
| 别名 | NHSL3 |
| 计算分子量 | 107 kDa |
| GenBank蛋白编号 | NM_001198972 |
| 基因名称 | KIAA1522 |
| Gene ID (NCBI) | 57648 |
| RRID | AB_3669896 |
| 偶联类型 | Unconjugated |
| 形式 | Liquid |
| 纯化方式 | Antigen affinity Purification |
| UNIPROT ID | Q9P206 |
| 储存缓冲液 | PBS with 0.02% sodium azide and 50% glycerol, pH 7.3. |
| 储存条件 | Store at -20°C. Stable for one year after shipment. Aliquoting is unnecessary for -20oC storage. |
背景介绍
It is important to investigate the role of the big protein-coding gene KIAA1522. The mRNA expression of KIAA1522 was elevated in a number of malignancies, according to data from the Gene Expression Atlas and The European Bioinformatics Institute databases, which showed that abnormal KIAA1522 expression may have a role in the pathogenesis and growth of cancer. (PMID: 36761433)
实验方案
| Product Specific Protocols | |
|---|---|
| IHC protocol for KIAA1522 antibody 31198-1-AP | Download protocol |
| Standard Protocols | |
|---|---|
| Click here to view our Standard Protocols |

