验证数据展示
经过测试的应用
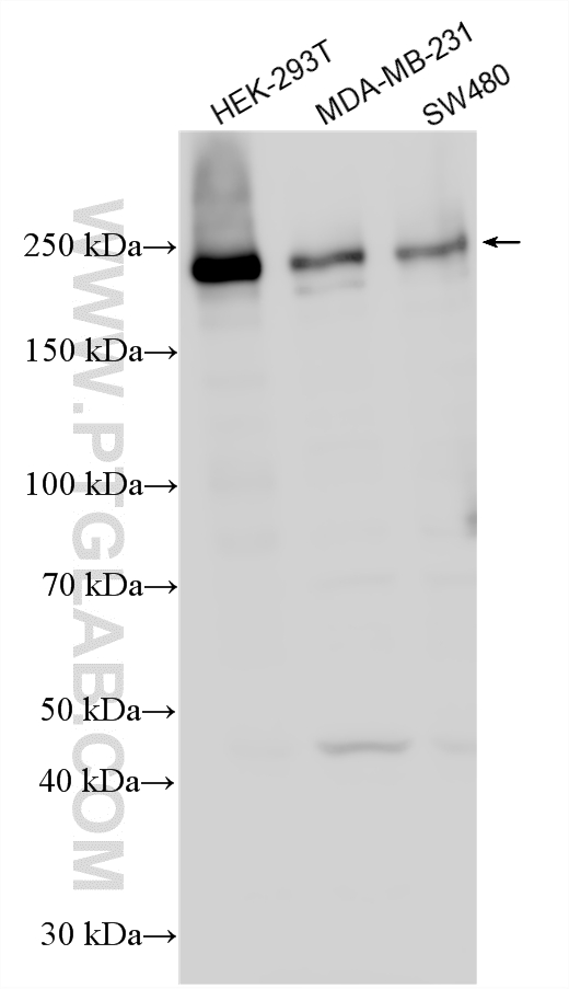
| Positive WB detected in | HEK-293T cells, MDA-MB-231 cells, SKOV-3 cells, SW480 cells, PC-3 cells |
| Positive IP detected in | MCF-7 cells |
| Positive IHC detected in | human breast cancer tissue, human liver cancer tissue, rat testis tissue Note: suggested antigen retrieval with TE buffer pH 9.0; (*) Alternatively, antigen retrieval may be performed with citrate buffer pH 6.0 |
| Positive IF/ICC detected in | SW480 cells |
推荐稀释比
| 应用 | 推荐稀释比 |
|---|---|
| Western Blot (WB) | WB : 1:2000-1:10000 |
| Immunoprecipitation (IP) | IP : 0.5-4.0 ug for 1.0-3.0 mg of total protein lysate |
| Immunohistochemistry (IHC) | IHC : 1:500-1:2000 |
| Immunofluorescence (IF)/ICC | IF/ICC : 1:200-1:800 |
| It is recommended that this reagent should be titrated in each testing system to obtain optimal results. | |
| Sample-dependent, Check data in validation data gallery. | |
产品信息
25712-1-AP targets VIRMA/KIAA1429 in WB, IHC, IF/ICC, IP, CoIP, RIP, ELISA applications and shows reactivity with human, rat samples.
| 经测试应用 | WB, IHC, IF/ICC, IP, ELISA Application Description |
| 文献引用应用 | WB, IHC, IF, IP, CoIP, RIP |
| 经测试反应性 | human, rat |
| 文献引用反应性 | human, mouse |
| 免疫原 |
CatNo: Ag22449 Product name: Recombinant human KIAA1429 protein Source: e coli.-derived, PET28a Tag: 6*His Domain: 1-350 aa of BC113380 Sequence: MAVDSAMELLFLDTFKHPSAEQSSHIDVVRFPCVVYINEVRVIPPGVRAHSSLPDNRAYGETSPHTFQLDLFFNNVSKPSAPVFDRLGSLEYDENTSIIFRPNSKVNTDGLVLRGWYNCLTLAIYGSVDRVISHDRDSPPPPPPPPPPPQPQPSLKRNPKHADGEKEDQFNGSPPRPQPRGPRTPPGPPPPDDDEDDPVPLPVSGDKEEDAPHREDYFEPISPDRNSVPQEGQYSDEGEVEEEQQEEGEEDEDDVDVEEEEDEDEDDRRTVDSIPEEEEEDEEEEGEEDEEGEGDDGYEQISSDEDGIADLERETFKYPNFDVEYTAEDLASVPPMTYDPYDRELVPLLY 种属同源性预测 |
| 宿主/亚型 | Rabbit / IgG |
| 抗体类别 | Polyclonal |
| 产品类型 | Antibody |
| 全称 | KIAA1429 |
| 别名 | KIAA1429, VIRMA, MSTP054, virilizer |
| 计算分子量 | 1812 aa, 202 kDa |
| 观测分子量 | 200-210 kDa |
| GenBank蛋白编号 | BC113380 |
| 基因名称 | KIAA1429 |
| Gene ID (NCBI) | 25962 |
| RRID | AB_2880204 |
| 偶联类型 | Unconjugated |
| 形式 | Liquid |
| 纯化方式 | Antigen affinity purification |
| UNIPROT ID | Q69YN4 |
| 储存缓冲液 | PBS with 0.02% sodium azide and 50% glycerol, pH 7.3. |
| 储存条件 | Store at -20°C. Stable for one year after shipment. Aliquoting is unnecessary for -20oC storage. |
背景介绍
VIRMA (KIAA1429) is a key component of m6A methyltransferase (writer) complex that include METTL3, METTL14, WTAP, VIRMA, HAKAI, ZC3H13, and RBM15. VIRMA mediates methylation in the 3'UTR and around the stop codon, thus affecting alternative polyadenylation. VIRMA has been reported to act as an oncogenic factor in breast cancer and liver cancer. KIAA1429 exhibits differential nuclear and cytoplasmic distribution in colorectal cancer samples, and high cytoplasmic expression of KIAA1429 is associated with poor response to chemotherapy. BRAF-mediated phosphorylation of KIAA1429 facilitates its aggregation in the cytoplasm. Furthermore, cytoplasmic KIAA1429 promotes WNT pathway activation by binding and stabilizing FZD7, thereby further enhancing cancer stemness and oxaliplatin resistance (PMID: 40611274).
实验方案
| Product Specific Protocols | |
|---|---|
| IF protocol for VIRMA/KIAA1429 antibody 25712-1-AP | Download protocol |
| IHC protocol for VIRMA/KIAA1429 antibody 25712-1-AP | Download protocol |
| IP protocol for VIRMA/KIAA1429 antibody 25712-1-AP | Download protocol |
| WB protocol for VIRMA/KIAA1429 antibody 25712-1-AP | Download protocol |
| Standard Protocols | |
|---|---|
| Click here to view our Standard Protocols |
发表文章
| Species | Application | Title |
|---|---|---|
Dev Cell PDGF signaling inhibits mitophagy in glioblastoma stem cells through N6-methyladenosine. | ||
Cell Mol Biol Lett KIAA1429-mediated m6A modification of CHST11 promotes progression of diffuse large B-cell lymphoma by regulating Hippo-YAP pathway
| ||
Cell Death Discov Acetylated KIAA1429 by TIP60 facilitates metastasis and immune evasion of hepatocellular carcinoma via N6-methyladenosine-KDM5B-mediated regulation of FoxO1
| ||
Cell Rep Pathological α-synuclein dysregulates epitranscriptomic writer METTL3 to drive neuroinflammation in microglia | ||
Aging (Albany NY) WTAP promotes myocardial ischemia/reperfusion injury by increasing endoplasmic reticulum stress via regulating m6A modification of ATF4 mRNA. | ||
Front Oncol m6A Methyltransferase METTL14-Mediated Upregulation of Cytidine Deaminase Promoting Gemcitabine Resistance in Pancreatic Cancer. |








